Сайт доктора медицинских наук, профессора

Гарбузенко Дмитрия Викторовича

& Garbuzenko Dmitry Victorovich, Doctor of Medicine, professor

Chirurgus mente prius et oculis agat, quam armata manu!
Змея
Главная
Resume
Список публикаций
Изобретения
Статьи
Лекции
Полезная информация
Врачебные советы





Кишечная непроходимость

"Среди острых хирургических заболеваний органов брюшной полости
острая кишечная непроходимость относится к наиболее трудным для диагностики,
отличается тяжёлым клиническим течением, даёт самую высокую летальность
среди  больных, оперированных по поводу "острого живота"
"
 В.П. Петров, И.А. Ерюхин
  • Историческая справка
  • Классификация кишечной непроходимости
  • Коды по МКБ-10
  • Этиология и патогенез механической кишечной непроходимости
  • Алгоритм диагностики и лечебной тактики при кишечной непроходимости
  • Отличия в клинике и лечебной тактике при разных видах кишечной непроходимости
  • Хирургическое лечение острой механической кишечной непроходимости
  • Стентирование опухоли при лечении толстокишечной непроходимости опухолевой этиологии
  • Сосудистая кишечная непроходимость
кишечник Группа патологических состояний, которые характеризуются нарушением пассажа содержимого по направлению от желудка к прямой кишке и объединённые понятием кишечная непроходимость, ассоциируются с весьма тяжёлым течением, трудностью диагностики и неблагоприятным исходом. Это актуальная проблема ургентной хирургии. Частота острой механической кишечной непроходимости составляет около 5 заболевших на 100 тыс. населения, обусловливая от 3 до 5 % поступлений в хирургические стационары. Среди всех её причин преобладает острая тонкокишечная непроходимость, которая отличается более серьёзным клиническим течением и худшим прогнозом. Острая обтурационная толстокишечная непроходимость, являясь одним из наиболее распространённых и опасных осложнений рака ободочной кишки, встречается в 15-75 % случаев. В неотложной абдоминальной хирургии операции по поводу острой механической кишечной непроходимости занимают второе место после аппендэктомии. Свойственная ей летальность составляет от 5,1 до 8,4 %, занимая одно из ведущих мест среди всех острых хирургических заболеваний.

Историческая справка
Симптоматика кишечной непроходимости была известна ещё целителям древности. Так, согласно представлениям Гиппократа и его последователей, основной причиной кишечной непроходимости является воспаление в кишке, и именно развитием воспалительного процесса объясняли нарушение проходимости кишечного канала. Гиппократ писал: "Кишка ссыхается и запирается вследствие воспаления так, что не пропускает ни пищи, ни газов. Происходит запор, живот делается твёрдым и наступает между тем рвота, вначале выпитым, а затем желчью, и, наконец, калом. Гиппократ предлагал лечить подобных больных клизмами и вдуванием воздуха в прямую кишку, предупреждая, что если после описанных процедур наступает испражнение из кишечника, то заболевший человек выздоравливает. В конце XVI - начале XVII столетия анатомы при вскрытии брюшной полости обнаружили анатомические изменения, позволившие признать существование механических причин, вызывающих непроходимость кишечника. Ж. Риолан в начале XVI в. впервые наблюдал и описал обтурационную и странгуляционную формы непроходимости кишечника на почве опухоли и вследствие перетяжки спайкой. При вскрытии трупа ребёнка он же обнаружил тонкокишечную инвагинацию, которую охарактеризовал следующим образом: "Подвздошная кишка была покрыта тощей наподобие того, как перчатки при стягивании с руки". Базельский анатом Т. Платтер в 1620 г. описал кишечный узел, выявленный им при вскрытии трупа мужчины, умершего после неудачного прыжка в ров.
Основным лечением кишечной непроходимости в те годы было консервативное: кровопускание, припарки на живот и его массаж, глотание дроби, мушкетных пуль, металлических (золотых и серебряных) шариков, вдувание воздуха в прямую кишку, клизмы, и лишь в единичных случаях больных пытались оперировать. Так в конце XVII столетия Нук произвёл первую лапаротомию по поводу инвагинации кишечника у 50-летней женщины.
К началу XIX в. энтузиазм хирургов стал постепенно увеличиваться, причём кроме вскрытия брюшной полости для устранения её причины уже производились энтеротомии и наложение свища на кишку. Однако подобные операции приводили к выздоровлению лишь единичных больных, в связи с чем подавляющее число врачей того времени довольно скептически относились к хирургическому методу лечения кишечной непроходимости, считая его неэффективным. Даже Французская академия наук при обсуждении вопроса о лечении данного заболевания в первой четверти XIX в.  пришла к неутешительному выводу: "Лучше предоставить такого больного его участи, чем ронять достоинство хирурга".
Оперативное лечение кишечной непроходимости стало быстро развиваться только со второй половины XIX в., что было неразрывно связано с общим прогрессом абдоминальной хирургии. Введение антисептики и асептики, применение наркоза, внедрение изобретённого Ламбертом кишечного шва, обеспечили серьёзный позитивный сдвиг в этом вопросе. Число выполняемых операций значительно возросло, однако послеоперационная летальность оставалась высокой.
Н.М. Амбодик-Максимович в 1781 г. опубликовал первую в России работу, посвящённую кишечной непроходимости, где он, описав кишечные сужения и инвагинации, рекомендовал вскрытие брюшины и смачивание пострадавшей кишки тёплыми припарками. В 1838 г. вышла монография В.П. Добровольского "О болезни, именуемой Ileus", в которой говорилось о различных формах кишечной непроходимости, а также подробно излагались представления того времени об её этиологии, клинической картине и лечении. Он впервые описал спастическую форму кишечной непроходимости на почве свинцового отравления, а при механической непроходимости рекомендовал "вскрытие брюха" и привёл результаты оперативного лечения (из 9 оперированных выздоровели лишь 2 больных).
Большой вклад в развитие учения о кишечной непроходимости внёс Н.И. Пирогов. В работе "Ileus" (1849), основанной на 50 клинических и патолого-анатомических наблюдениях, он изложил патологическую сущность процессов, происходящих при различных формах данного заболевания, подробно описал их этиологию и клиническое течение, предложил свою классификацию. При лечении механической формы болезни Н.И. Пирогов рекомендовал наложение противоестественного заднего прохода или резекцию нежизнеспособной кишки, а при динамической форме -  лечение опийной настойкой и гальваническим током.
Во второй половине XIX в. в России начался период активного изучения клинической картины и методов лечения кишечной непроходимости. В 1889 году профессор хирургии Дерптского университета Эдуард фон Валь в статье "Die Aetiologie und Therapie des Ileus", напечатанной в журнале "Archiv fur Chirurgie", дал классическое описание заворота тонкой кишки (см. ниже). Он также выдвинул достаточно радикальное по тому времени требование к хирургической тактике: "не следует брать в руки нож до определения места, вида и характера непроходимости", что характеризует его как блестящего хирурга.

Валь Эдуард фон Валь (1833-1890) - профессор хирургии Дерптского университета.

Ученик Э. Валя польский хирург Б. Кадер блестяще подтвердил законность его диагностического признака. Он "доказал, что при странгуляции кишечной петли, при которой прекращается венозный отток, ущемлённая петля очень быстро, уже через 4-8 часов парализуется, стенка её утолщается, сама петля резко раздувается. Этот метеоризм исключительно местный, локализованный самой ущемлённой петлёй и зависит исключительно от расстройства циркуляции. Метеоризм в приводящем отрезке петли, над местом препятствия, находится в зависимости от разложения и разжижения застоявшегося содержимого и не достигает значительной степени; только через несколько дней замечается и вздутие его, достигающее только сравнительно поздно больших размеров".
Большой заслугой профессора Э. Валя и его школы явилась также разработка классификации механической кишечной непроходимости, в основу которой легло подразделение её на странгуляционную и обтурационную формы, что имело огромное практическое значение.
В 1898 г. вышла обстоятельная монография Г.Ф. Цейдлера "Материалы к патологии и терапии острой непроходимости кишок" из Обуховской больницы. Несмотря на относительно небольшой объём (73 с.), работа настолько глубока по содержанию, что до сих пор вызывает большой интерес. В частности, обсуждая вопрос о показаниях к хирургическому лечению, автор высказывается за немедленную операцию при странгуляционной непроходимости, "при которой питание кишки подвергается большой опасности, где гангрена наступает иногда уже через часы". При обтурационном илеусе автор считал операцию показанной, "если терапевтические меры, скоро и целесообразно применённые, не ведут к цели в течение 1-2 сут", т. е. не позже первых 2 суток.

хирург Цейдлер Профессор Герман Федорович Цейдлер (1861-1940) - автор многочисленных трудов по неотложной абдоминальной хирургии.

На IV съезде российских хирургов (Санкт-Петербург, 1903), профессор хирургии Дерптского университета Вернер Германович Цеге-фон-Мантейфель сделал программный доклад "Об илеусе", в котором выделил две формы кишечной непроходимости - механическую и динамическую; описал клиническую картину, диагностику и лечебную тактику. Значительным достижением в развитии хирургии по данному вопросу следует считать выдвинутые им положения: характер оперативного вмешательства должен зависеть от формы непроходимости; во всех случаях механической непроходимости, прежде всего, должно быть ликвидировано препятствие.

Цеге-Монтейфель
Вернер Германович Цеге-фон-Мантейфель (1857-1926) - профессор хирургии Дерптского университета.

Касаясь же особых успехов В.Г. Цеге-фон-Мантейфеля в развитии знаний о диагностике и лечении кишечной непроходимости, следует также упомянуть его фундаментальный труд "Volvulus coecim", опубликованный на немецком языке в Лейпциге в 1899 г. Им же описана клиническая картина заворота сигмовидной кишки и выявлен особый симптом при этом заболевании (1913) (см. ниже). Развивая взгляды своего учителя профессора Э. Валя, В.Г. Цеге-фон-Мантейфель широко ввёл в практику его патогенетическую классификацию кишечной непроходимости, что имело большое значение  при выборе лечебной тактики. В 1913 г. на русском языке была опубликована капитальная монография 
В.Г. Цеге-фон-Мантейфеля "Непроходимость кишок (Ileus)", в которой он обобщил богатейший опыт Дерптской хирургической школы по этому вопросу и выступил убеждённым сторонником раннего оперативного вмешательства при илеусе. По его словам, интернисты и хирурги Дерптской школы в 1889 г. "отстояли этот основной принцип в Висбадене и Берлине против таких выдающихся хирургов, как Ф. Шеде и О. Маделунг.
К заслугам
В.Г. Цеге-фон-Мантейфеля можно также отнести то, что он первым успешно наложил артериальный шов при артериовенозной аневризме (1895), первым в мире начал оперировать в резиновых перчатках (1897), одним из первых произвёл успешную операцию по поводу огнестрельного ранения сердца (1903).
В 1919 г. Г. Клойбер, используя данные своих предшественников, опубликовал в журнале "Archiv klinischer Chirurgie" фундаментальную научную работу, в которой дал подробное описание рентгенологических симптомов кишечной непроходимости. Большая ценность исследований этого автора заключалась в том, что они были проведены без применения вспомогательных контрастных средств, позволив ему значительно расширить показания к применению рентгенологического метода при кишечной непроходимости.
Несмотря на значительные успехи в развитии хирургии кишечной непроходимости в первой половине XX века, результаты её лечения оставались неудовлетворительными. Это привело к необходимости более глубокого изучения патогенеза и причин смерти при данном заболевании. Существовавшие взгляды на возникновение и механизм развития кишечной непроходимости привели к появлению ряда теорий, объясняющих патогенез этого заболевания. Наиболее популярной из них, сразу же завоевавшей большое число сторонников, явилась теория токсемии или аутоинтоксикации.
С 50-х годов прошлого столетия стало понятно, что изучение патогенеза кишечной непроходимости должно быть основано на познании всех его звеньев для создания логичной и целостной картины. Наступил период перехода от накопления полученных в результате многолетнего опыта фактов и наблюдений к их анализу и синтезу. С этих позиций характерной является точка зрения К.С. Симоняна (1961): "Прежде всего, надо согласиться с тем, что как бы противоречивы ни были данные противоположных по идеям опытов, в основе их лежат реальные факты. Новейшие данные в пользу той или иной теории нисколько не умоляют значения других теорий." И далее: "примеров достаточно, чтобы отказаться от исключения одних данных в ущерб противоположным, а между тем на протяжении многих десятилетий эта ошибка существовала"; "и токсемический фактор, и бактериальное загрязнение, и нарушение рефлекторной деятельности, и вовлечение в патологический процесс нервной системы (в том числе и центральной), и гуморальные нарушения как следствие расстройств межуточного обмена имеют важнейшее значение в патогенезе острой кишечной непроходимости".

Классификация кишечной непроходимости
А. Врожденная
а) пороки развития кишечной трубки;
б) пороки развития стенки кишки;
в) нарушение вращения кишечника, например, синдром Ледда.
г) Пороки развития других органов брюшной полости.
Б. Приобретенная
I. По механизму возникновения:
I.1. Динамическая
а) спастическая (встречается крайне редко - при отравлении солями тяжелых металлов, уремии, порфирии);
б) паралитическая (как правило, развивается у больных, перенёсших лапаротомию, а также на фоне острых хирургических заболеваний органов брюшной полости, например, при перитоните).
I.2. Механическая
а) обтурационная непроходимость:
- вызванная внутрикишечными причинами (злокачественные и доброкачественные опухоли, инородные тела, например, фитобезоар, желчные камни, включая синдром Бувере, зубной протез, копролиты, а также интрамуральная гематома, вызванная лечением варфариномгигантский дивертикул тощей кишки, патологические изменения кишечника, в частности, абдоминальный кокон (abdominal "cocoon") - образование толстой плотной фиброзной мембраны вокруг тонкого кишечника, и т. д.);
- вызванная внекишечными причинами (спаечная болезнь, злокачественные и доброкачественные опухоли, дивертикул Меккеляэндометриоз кишечника и т. д.).
б) странгуляционная непроходимость (заворот, узлообразование, ущемление *);
Узлообразование
Узлообразование.
 

в) смешанная (инвагинация).

I.3. Сосудистая
а) артериальная (ишемия кишечника: шок, сердечная недостаточность, применение сосудосуживающих средств; эмболия брыжеечной артерии, тромбоз брыжеечной артерии, аортоартериит (болезнь Такаясу) с поражением брыжеечных артерий);
б) венозная (тромбоз брыжеечной вены);
в) смешанная.
II. По уровню непроходимости:
а) тонкокишечная: высокая (тощая кишка) и низкая (подвздошная кишка);
б) толстокишечная.
III. По срокам заболевания:
а) ранняя (< 24 часов);
б) поздняя (> 24 часов).
IV. По течению:
а) острая;
б) подострая;
в) хроническая.
V. По степени нарушения пассажа кишечного содержимого:
а) полная;
б) частичная.


Коды по МКБ-10
K56 Паралитический илеус и непроходимость кишечника без грыжи
K56.0 Паралитический илеус
K56.1 Инвагинация
K56.2 Заворот кишок
K56.3 Илеус, вызванный желчным камнем
K56.4 Другой вид закрытия просвета кишечника
K56.5 Кишечные сращения [спайки] с непроходимостью
K56.6 Другая и неуточненная кишечная непроходимость
С 18. Злокачественное новообразование ободочной кишки
С 19. Злокачественное новообразование ректосигмоидного соединения
С 20. Злокачественное новообразование прямой кишки
K56.7 Илеус неуточненный

Этиология и патогенез механической кишечной непроходимости
"Читатель, который вздумает составить представление о патогенезе острой кишечной непроходимости по литературным данным,
по мере ознакомления с материалом быстро придёт в разочарование. Число работ так велико, данные и суждения противоречивы,
а выводы настолько противоположны, что невольно возникает состояние мрачного оцепенения
как результат защитной реакции утомлённого мозга
"
К.С. Симонян

Острая тонкокишечная непроходимость чаще всего обусловлена спаечным процессом в брюшной полости (80-91 %), реже - заворотом (4-6 %), инвагинацией (3-5 %), безоарами (1,2-4 %), жёлчными камнями (0,5-6 %), инородными телами (0,2-1 %), прочими причинами (0,5-3 %). Ущемление возникает при наличии наружных или внутренних брюшных грыж, плотных фиброзных штрангов. Инвагинация чаще всего (90 % случаев) развивается у пациентов с врождёнными анатомическими особенностями строения кишки (например, наличие дивертикула Меккеля) или наличием органической патологии - эпителиальные или подслизистые образования, воспалительные изменения, наличие язв кишки. Образование инвагината происходит вследствие нарушения моторной функции и нарушения координации перистальтики различных отделов кишки на фоне провоцирующих факторов - погрешности в диете, травмы и т. д. По локализации различают илеоцекальную (45-68 %), тонкокишечную (10-18 %), толстокишечную (8-15 %) инвагинацию.
Предрасполагающим фактором развития заворота и узлообразования являются врожденные аномалии, длинная брыжейка кишки, наличие спаек брюшной полости. Из производящих причин наибольшее значение принадлежит погрешности в диете, перееданию, повышению внутрибрюшного давления. Выраженность нарушений и клинических проявлений напрямую зависит от степени заворота. Так, при ротации кишки на 180° заболевание в большей степени соответствует обтурационной непроходимости с минимальными признаками нарушения питания кишки. В то время как при завороте более 270° отмечается выраженная ишемия органа с бурным течением заболевания и ранним развитием некроза кишки. По локализации наиболее часто отмечают заворот сигмовидной (60-75 %), реже слепой (20-35 %), тонкой (7-18 %) и поперечной ободочной кишки (3-5 %). Наиболее тяжёло протекает узлообразование, которое встречается относительно редко - в 3-5 % случаев. Как правило, в процессе задействован большой участок тонкой кишки с выраженными некробиотическими изменениями и тяжёлыми гемодинамическими и системными нарушениями.
Острая обтурационная толстокишечная непроходимость в подавляющем большинстве случаев является осложнением колоректального рака, которое возникает у 15-20 % больных, может наблюдаться во всех возрастных группах, но чаще -  у пациентов, старше 50 лет.
В историческом аспекте к предрасполагающим причинам развития острой кишечной непроходимости можно отности нарушение функционального состояния кишечника в результате длительного голодания. В таких случаях прием грубой пищи может вызвать бурную перистальтику и кишечную непроходимость. С.И. Спасокукоцкий заметил эту особенность и назвал острую кишечную непроходимость "болезнью голодного человека"

Спасокукоцкий Профессор Сергей Иванович Спасокукоцкий (1870-1943) - выдающийся русский и советский учёный, хирург, создатель советской клинической школы.

Нарушения моторной и секреторно-резорбтивной функции кишечника
В раннюю стадию непроходимости перистальтика усиливается, при этом кишечник своими сокращениями как бы стремится преодолеть появившееся препятствие. На этом этапе перистальтические движения в приводящей петле укорачиваются по протяжённости, но становятся чаще. В дальнейшем, в результате гипертонуса симпатической нервной системы, перерастяжения кишечника, резкого угнетения тканевой перфузии, возникает фаза значительного угнетении моторной функции, а в поздних стадиях непроходимости развивается полный паралич кишечника. Расстройства метаболизма кишечных клеток усугубляет нарастающая эндогенная интоксикация, которая, в свою очередь, увеличивает тканевую гипоксию.
Водно-электролитные  нарушения
Водно-электролитные нарушения связаны с потерей большого количества воды, электролитов и белков. Жидкость теряется с рвотными массами, депонируется в приводящем отделе кишечника, скапливается в отёчной кишечной стенке, её брыжейке, а также в свободной брюшной полости. Потери жидкости в течение суток могут достигать 4,0 л и более. Происходит нарушение электролитного баланса, прежде всего, потеря калия. Наряду с жидкостью и электролитами теряется значительное количество белков (до 300 г/сут) за счёт голодания, рвоты, пропотевания в просвет кишки и брюшную полость. Особенно значимы потери альбумина плазмы. Белковые потери усугубляются превалированием процессов катаболизма.
Вышеуказанные изменения гуморального статуса обусловливают принципы предоперационной комплексной терапии, которая должна включать в себя переливание кристаллоидных, коллоидных растворов, препаратов белков.
Эндотоксикоз
Эндотоксикоз - важное звено патофизиологических процессов при кишечной непроходимости. В условиях циркуляторной гипоксии кишка утрачивает функцию биологического барьера, и значительная часть токсических продуктов поступает в общий кровоток, что способствует нарастанию интоксикации.
Затем нарушается нормальная микробиологическая экосистема за счёт застоя содержимого, что способствует бурному росту и размножению микроорганизмов. Происходит миграция микрофлоры, характерной для дистальных отделов кишечника, в проксимальные,
для которых она чужеродна. Выделение экзо- и эндотоксинов, нарушение барьерной функции кишечной стенки приводят к  транслокации бактерий в портальный кровоток, лимфу и перитонеальный экссудат. Эти процессы лежат в основе системной воспалительной реакции и абдоминального хирургического сепсиса, характерных для острой кишечной непроходимости. Некроз кишки и гнойный перитонит - второй источник эндотоксикоза. Исходом данного процесса является усугубление нарушений тканевого метаболизма  и возникновение полиорганной недостаточности.
В патогенезе кишечной непроходимости значительная роль отводится внутрибрюшной гипертензии - так называемому компартмент синдрому. Этот синдром представляет собой комплекс отрицательного эффекта стремительного повышения внутрибрюшного давления. При этом нарушается кровоснабжение внутренних органов, понижается жизнеспособность тканей, что приводит к развитию полиорганной недостаточности. Основными принципами лечения компартмент синдрома.

Некоторые аспекты патогенеза полиорганной недостаточности
при кишечной непроходимости

Синдром полиорганной недостаточности при кишечной непроходимости проявляется определенной клинической симптоматикой, характерной для нарушений функции различных жизненно важных органов. Причинные изменения лежат на клеточном уровне и обусловлены дефицитом кровоснабжения и нарушениями циркуляции в самих органах-мишенях. Это ведет к нарушению транспортной функции клеточных мембран, повышению их проницаемости и возрастанию энергетических потребностей клеток. Описанные изменения могут быть обратимыми, если применение интенсивных мероприятий позволяет своевременно разорвать порочный круг. В связи с этим главная цель проводимой терапии при кишечной непроходимости должна быть направлена на быструю стабилизацию органных функций за счет оптимизации доставки и потребления кислорода, обеспечения адекватного кровоснабжения органов и транспорта необходимых энергетических субстратов.
Главным фактором инициирования синдрома полиорганной недостаточностиявляется эндотоксин, представляющий собой липополисахаридную субстанцию, токсический эффект которой обусловлен входящим в ее состав липидом А.
Выделившийся эндотоксин активирует биологические системы (кининовую, систему коагуляции, контактную, комплемента), клетки периферической крови (нейтрофилы, эозинофилы, моноциты, макрофаги), а также эндотелиоциты с инициированием освобождения множества медиаторов. В результате наблюдаются повышение уровня лактата, общих липосахаридов, простациклинов, рост активности циклооксигеназы, коагулопатия, низкий уровень циркулирующих антител, что отражает избыточную неуправляемую активацию моноцит-макрофагальных цитокинов, бесконтрольность которой является основой формирования синдрома полиорганной недостаточности при критическом состоянии различной этиологии.  
Токсическое влияние липополисахаридной субстанции проявляется целым комплексом нарушений, обусловленных одновременным повреждением как циркулирующих клеток в кровотоке, так и эндотелиоцитов. Повреждение эндотелиальных клеток приобретает особое значение в развитии синдрома полиорганной недостаточности, поскольку в отличие от ранее существовавших взглядов на эндотелий как пассивный барьер теперь известна его важнейшая роль в регуляции микроциркуляции путем влияния на констрикцию, расслабление и сосудистую проницаемость.  
Среди множества "метаболических поломок" особого внимания заслуживает так называемый оксирадикальный  стресс, который формирует аутоповреждения при перитоните. Оксирадикальная активация фосфолипидов не только инициирует продукцию эйкозаноидов, но и ответственна за  альтерацию мембран клеток и внутриклеточных органелл. Усиление продукции оксирадикалов  способствует накоплению веществ, инактивирующих естественные продукты синтеза эндотелиальных клеток, нейронов, тромбоцитов, клеток эндокарда и миокарда, обеспечивая преобразование микроциркуляции.      
Под влиянием липида А эндотоксина нарушается целостность мембраны эритроцитов, эозинофилов, нейтрофилов, макрофагов полиморфноядерных лейкоцитов, следствием чего является выброс в кровоток ряда биологически активных веществ - цитокинов, таких как ТНФ-а, интерлейкинов (IL 1-6) и пр.   
ТНФ - фактор некроза опухолей - инициатор освобождения фосфолипаз, нарушения продукции N0, ингибирования ангиотензина II, что приводит к повреждению систолической и диастолической функции левого желудочка, угнетению сократительной способности миокарда и артериальной гипотензии.      
Избыточная системная активация моноцит-макрофагальных цитокинов является весьма вредной, так как стимулирует синтез дополнительных естественных медиаторов воспаления, таких как лейкотриены (LTC4, LTD4, LTE4), эйкозаноиды, интерлейкины, тромбоксан, брадикинин. Эти медиаторы воспаления в свою очередь приводят к нарушению микроциркуляции, изменению проницаемости капилляров и формированию отеков путем увеличения гидростатического капиллярного давления и активации вазодилатации.  
Одновременно с этим изменяется активность клеточного кальция и метаболизм белка в скелетных мышцах, усиливается распад глюкозы, нарастает ацидоз, повышается концентрация острофазовых протеинов. 
Большинство цитокинов - это эндогенные пирогены, ответственные за развитие гипертермического синдрома, типичного для
сепсиса и синдрома системной воспалительной  реакции.  Так, при активации моноцита в кровоток поступает IL-l, который, проникая через гематоэнцефалический барьер к нейронам преоптической области гипоталамуса, стимулирует теплопродукцию  и нарушает поведенческие процессы.
Таким образом, тяжесть нарушения микроциркуляции и формирования множественной недостаточности органов при кишечной непроходимости, осложненной развитием синдрома полиорганной недостаточности, зависит от сочетанного повреждения гомеостаза под воздействием цитокинов.

Нарушения коагуляции сопровождаются тромбоцитопенией, появлением продуктов деградации фибриногена, а также фибронектина - ключевого модулятора иммунного ответа, который обеспечивает бактериальную опсонизацию и активацию Т-лимфоцитов, активацию свертывания с истощением белков-антикоагулянтов. Прекалликреин и HMN - эти  важнейшие   компоненты коагуляции - являются как активаторами калликреинкининовой системы, так и стимуляторами хемотаксиса нейтрофилов, выделения эластазы, метаболитов кислорода, разрушающих сосудистый эндотелий. Это приводит к нарушению модуляции свертывания, потому что эндотелиальные клетки поддерживают тромборезистентность благодаря выработке антикоагулянтов, антитромбоцитарных и фибринолитических соединений. Нарушается синтез фактора Виллебранда и активатора плазминогена. Поврежденный  эндотелий способен вырабатывать фактор активации тромбоцитов - сильный стимулятор их агрегации, тромбоксан А2, серотонин, фибронектин.
Следовательно, в присутствии тромбопластина, поступающего в кровоток из поврежденных тканей и клеток, на фоне нарушенных функций эндотелиоцитов оба пути коагуляции формируют блокирование капиллярной циркуляции - основы синдрома полиорганной недостаточности.
Активация системы комплемента под влиянием эндотоксина сопровождается значительной инволюцией обоих его путей: С3а и С5а обеспечивают продукцию анафилотоксинов, интерлейкинов, простагландинов, фактора активации тромбоцитов - RAF, ТНФ, тромбоксана А2, а  также   активацию  полиморфноядерных  лейкоцитов с высвобождением лизосомальных ферментов, радикалов кислорода, продуктов арахидоновой кислоты. Таким образом, установлено, что массивная воспалительная реакция в результате высвобождения цитокинов приводит к полиорганной недостаточности. 
Описанные  структурно-метаболические  повреждения тканей отражают особенности морфогенеза и  патогенеза полиорганной недостаточности у больных перитонитом, в том числе и вызванным острой  кишечной непроходимостью. Патогенез полиорганной недостаточности при кишечной  непроходимости во многом обусловлен развитием эндотоксемии и морфофункциональными изменениями  микроциркуляторного русла жизненно важных органов. Очевидно, что без глубоких знаний характера и динамики морфофункциональных изменений, протекающих на уровне гемомикроциркуляции в органах-мишенях при эндотоксикозе и после его устранения, не может быть качественного улучшения патогенетической терапии больных с полиорганной недостаточностью, осложняющей течение кишечной непроходимости. Выяснение основных этапов формирования морфофункциональных изменений, а также морфометрических показателей перестройки внутриорганных сосудов в различных органах позволят также расширить представления о механизмах адаптации системы кровообращения, что имеет теоретическое и практическое значение для неотложной хирургии.

Алгоритм диагностики и лечебной тактики при кишечной непроходимости
Диагностика кишечной непроходимости представляет для врача трудную задачу, при этом она не терпит отлагательства. "Нет другой болезни, при которой так опасно было бы дожидаться полной клинической картины и только тогда принимать решение. Кто так поступает, тот, несмотря на самые лучшие намерения, приносит жизнь больного в жертву диагнозу. Пусть нас не упрекают, будто мы проповедуем медлительность при установке диагноза. Наоборот, необходимо тщательно наблюдать, основательно исследовать, не пренебрегать никаким симптомом, но всё это надо делать в кратчайший срок, чтобы как можно скорее приступить к неотложной операции" (Ф. де Кервен). Таким образом, скорость в постановке диагноза действительно необходима, но она не должна мешать основательному обследованию больного.
При встрече с больным для постановки правильного диагноза и определения лечебной тактики необходимо оценить ряд ключевых признаков: функциональных, физических и общих. Надёжнейшими из них являются боль в животе, рвота, всё усиливающийся метеоризм, задержка отхождения стула и газов, а также более или менее широкая зона резистентности при пальпации. Кроме того, аускультация живота позволяет выявить ряд клинически значимых феноменов.
Рентгенологическое исследование брюшной полости является основным инструментальным методом диагностики кишечной непроходимости. Оно основано, главным образом, на факте образования скоплений газа и жидкости в просвете кишечника. При обзорной рентгенографии (-скопии) скопление газа в кишечнике обусловливает появление просветлений на плёнке и на экране, а на фоне их отчётливо видна тень горизонтального уровня жидкости. Скопление газа и жидкости с горизонтальным уровнем, по форме напоминающее опрокинутую чашу ("чаша Клойбера"), являются типичными признаком кишечной непроходимости.

чаши Клойбера
Обзорная рентгенограмма брюшной полости.
Тонкокишечные уровни жидкости - чаши Клойбера (стрелки).


кишечные арки
Обзорная рентгенограмма брюшной полости.
Кишечные арки (стрелка).


Количество чаш Клойбера широко варьирует. В одном случае наблюдается всего лишь один газовый пузырь с горизонтальным уровнем; в других случаях количество чашек возрастает до 15 и более. Локализуются они в различных отделах брюшной полости, иногда в виде арок: то располагаются в центре брюшной полости, то распределены по её краям; могут находиться на одной линии или полукругом, ступенькообразно или же в несколько этажей. Нижние чашки содержат, как правило, больше жидкости, чем верхние; в верхних жидкость может совсем отсутствовать, и на рентгенограммах в таких случаях видны лишь газовые просветления. Размер чаш Клойбера весьма разнообразен и колеблется от мелких, величиной с напёрсток, до обширных, занимающих почти весь поперечник брюшной полости.
Помимо чаш Клойбера при кишечной непроходимости наблюдается вздутие отдельных петель кишечника газами, которые образуют дугу, направленную выпуклостью вверх, а в их нижних отделах иногда выступают горизонтальные уровни жидкости. Стенки таких "вздыбленных" петель нередко имеют перистый или ребристый рисунок вследствие наличия поперечных линий затемнения, обусловленных утолщёнными циркулярно расположенными складками слизистой оболочки тонкой кишки (складками Керкринга).

складки Керкринга
Обзорная рентгенограмма брюшной полости.
Тонкокишечная непроходимость: широкие, многочисленные,
центрально расположенные чаши Клойбера (белые стрелки),
складки Керкринга (чёрные стрелки), аркады (вздутые кишечные петли).

Для того, чтобы определить степень растяжения кишечных петель, рекомендуется сравнивать ширину просвета кишки с поперечником тел поясничных позвонков. При равных размерах просвета петли тонкой кишки и тела позвонка можно кишку считать растянутой в 1,5-2 раза. Если размер толстой кишки превышает двойной поперечник позвонка, то кишка является патологически растянутой.
Следует отметить, что различные виды кишечной непроходимости могут дать совершенно одинаковую рентгеновскую картину. В связи с чем, в ряде случаев, для определения наличия препятствия и его локализации, обзорная рентгенография брюшной полости дополняется рентгеноконтрастным исследованием: при подозрении на обтурационную тонкокишечную непроходимость посредством пассажа бария по кишечнику - проба Напалкова (в настоящее время при подостром течении применяют капсульную эндоскопию), либо при подозрении на обтурационную толстокишечную непроходимость - ирригоскопии.
Современным методами инструментальной диагностики кишечной непроходимости являются ультразвуковое исследование и компьютерная томография.

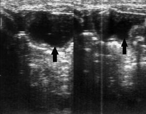
тонкокишечная непроходимость
Тонкокишечная непроходимость, признаки которой (см. ниже) были выявлены при УЗИ И КТ (А-В),
подтверждена во время операции: тощая кишка (белые стрелки) пережата спайкой (жёлтая стрелка) (Г).


портрет хирурга Мысль о возможной кишечной непроходимости - это лишь первый шаг в её диагностике, далее необходимо ответить на следующие вопросы:
  • какого характера эта непроходимость: динамического или механического?
  • при механической:
- каков её уровень (тонкокишечная или толстокишечная)?
- какова природа поражений (обтурация или странгуляция)?
  • надо ли оперировать?
Предельный срок пребывания пациента в приемном покое не должен превышать 2-х часов. В случаях, когда в течении этого времени не удаётся исключить острую кишечную непроходимость и отсутствуют показания к экстренной операции, пациент госпитализируется в хирургический стационар, где лечебно-диагностические мероприятия должны быть продолжены.

Отличия в клинике и лечебной тактике при разных видах кишечной непроходимости
Паралитическая кишечная непроходимость
Причины паралитической кишечной непроходимости
Заболевания брюшины и органов брюшной полости:
Заболевания органов забрюшинного пространства и малого таза:
  • Инфекции: пиелонефрит, паранефрит
  • Камень мочеточника, обструкция мочеточника
  • Забрюшинная гематома: травма, гемофилия, антикоагулянтная терапия
  • Опухоль: первичная (саркома, лимфома) или метастаз
  • Задержка мочи
  • Ущемление семенного канатика, перекрут яичка
  • Перелом таза
Другие заболевания:
  • Перелом позвоночника: поясничного или грудного отдела
  • Травма, опухоль головного или спинного мозга
  • Менингит
  • Заболевания легких и сердечно-сосудистой системы
  • Эмболия легочной артерии
  • Пневмония, особенно нижнедолевая
  • Эмпиема плевры
  • Эмфизема легких
  • Синдром Огилви
Интоксикации и метаболические нарушения:
  • Дефицит калия
  • Дефицит натрия
  • Лекарственные средства: ганглиоблокаторы, антихолинергические средства
  • Уремия
  • Диабетический кетоацидоз, диабетическая нейропатия
  • Отравление свинцом
  • Порфирия
Клиника, диагностика, лечебная тактика при паралитической непроходимости
боли в кишечнике Боли при паралитической кишечной непроходимости носят тупой, распирающий характер, не имеют четкой локализации и иррадиации. Они в большинстве случаев постоянные, схваткообразный компонент как бы уходит на второй план. Рвота обычно многократная, сочетается со срыгиванием застойного зловонного желудочного содержимого. Рвотные массы обильные, с большой примесью дуоденального и кишечного содержимого. Иногда рвота носит геморрагический характер вследствие диапедезного кровотечения из стенки желудка, а также из острых язв и эрозий. С самого начала заболевания наблюдается стойкая задержка отхождения стула и газов.
При осмотре имеет место равномерное "мячеобразное" вздутие живота с высоким тимпанитом и ригидностью брюшной стенки при пальпации (с-м Мондора). У худощавых больных удается пропальпировать растянутые в виде цилиндров петли тонкой кишки. Осуществляя лёгкое сотрясение брюшной стенки при наличии в брюшной полости перерастянутой, переполненной жидкостью и газами паретической кишки можно получить феномен, который известен в литературе как «шум плеска» (с-м Склярова), т.е. шум жидкости, взбалтываемой с воздухом. При аускультации перистальтика либо резко ослаблена, либо отсутствует (с-м "гробовой тишины" ), определяются различные звуковые признаки, как связанные, так и не связанные с перистальтикой кишок: с-м Спасокукоцкого – "шум падающей капли", с-м Лотейссена – выслушивание дыхательных и сердечных шумов через переднюю брюшную стенку.
Если паралитическая кишечная непроходимость не сочетается с развитием перитонита, в первые часы заболевания общее состояние больных страдает мало, но спустя 3–4 ч. быстро начинают нарастать гиповолемия, тяжелые расстройства обмена веществ, нарушения сердечной деятельности.
При обзорной рентгенографии живота для паралитической кишечной непроходимости характерно равномерное вздутие всех отделов кишечника, преобладание в раздутых кишках газообразного содержимого над жидким. Газ в просвете расширенной тонкой кишки визуализируется на фоне четко очерченных контуров расширенной ободочной кишки. Чаши Клойбера локализуются как в тонкой, так и в толстой кишке одновременно.

R паралитическая кишечная непроходимость
Обзорная рентгенограмма брюшной полости.
Признаки паралитической кишечной непроходимости у больного с перитонитом.

Лечение паралитической кишечной непроходимости, как правило, консервативное:
    * постоянная декомпрессия желудка через назогастральный зонд;
    * инфузия кристаллоидных растворов;
    * стимуляция перистальтики:
       - назначение препаратов, стимулирующих моторику кишечника;
       - очистительные клизмы;
       - лечебная физкультура;
       - при отсутствии противопоказаний - электростимуляция кишечника.
    * симптоматическая терапия (в том числе обезболивание).
Операция показана лишь в тех случаях, когда она является следствием заболеваний, требующих хирургического вмешательства, например, перитонита.

Механическая кишечная непроходимость

"...Что касается условий, благоприятствующих хорошему исходу операции, то их, не говоря о разных чисто технических оперативных мерах, как мы видели, два: раннее производство операции и точный диагноз - места, и, по возможности, анатомической формы непроходимости. ... Трудная выполнимость во многих случаях второго условия - точного диагноза - не должна удерживать от соблюдения первого - раннего производства операции. Хирургическое вмешательство, предпринятое на раннем периоде непроходимости, даже при отсутствии специального диагноза места и формы непроходимости всё-таки даёт больший шанс на выздоровление, чем без разбору применённое, слишком долго продолженное терапевтическое лечение"
 Г.Ф. Цейдлер, 1898

При диагностике механической кишечной непроходимости надо прежде всего постараться разобраться в характере патологии: затронут ли только один кишечник или также и его брыжейка. Легко понять разницу с точки зрения анатомии и физиологии: если сдавлены одновременно и брыжейка и кишечник, то гангрена кишечника обусловлена как сдавлением его стенки, так и сосудов. Кроме того, плотная странгуляция сосудов и нервов сильно сказывается на жизнедеятельности кишечника ещё до появления гангрены.
Следует отметить, что общие симптомы механической кишечной непроходимости, которые вначале могут ввести в заблуждение либо своим отсутствием, либо своей незначительностью, начинают вскоре обнаруживаться и с каждым часом делают картину заболевания всё более мрачной. Почти всегда, если помимо местных имеют место общие признаки (ускоренный пульс - 100'-120'; температура ниже нормальной; резко выраженная олигурия, одышка, падение артериального давления, общая слабость, бледность лица со свинцовым отливом, впавшие глаза, сухой обложенный язык), это означает, что непроходимость уже вышла из первой стадии. В дальнейшем появляются анемия, коллапс, обмороки, цианоз, прекращение болей, мелена, эйфория, лихорадка вследствие присоединившейся бронхопневмонии при перитоните, несосчитываемый пульс. Больной как будто бы больше не страдает, иногда он говорит, что выздоравливает, а в это время все признаки неминуемой смерти уже налицо.
Острая механическая кишечная непроходимость характеризуется внезапностью приступа, и вместе с тем необыкновенной быстротой его развития. Врач практически никогда не присутствует при его начале. "Болезнь мчится во весь опор. Нам, клиницистам, не следует плестись за ней черепашьим шагом" (Генри Мондор).

Острая обтурационная тонкокишечная непроходимость
В клиническом течении острой обтурационной тонкокишечной непроходимости принято различать три стадии:
  • Первая стадия – стадия острого нарушения кишечного пассажа ("илеусный крик") – в зависимости от вида и характера заболевания продолжается от 2 до 12 часов. Доминирующим признаком в этом периоде является боль, носящая схваткообразный характер.
  • Вторая стадия – стадия глубоких патологических изменений – характеризуется гемодинамическими сдвигами. Её продолжительность от 12 до 24 часов. Боль становится постоянной, живот ассиметричным, вздутым. Наступает полная задержка отхождения стула и газов. Больного беспокоит частая рвота. Перистальтика кишечника становится менее активной. Шумы в брюшной полости не так ярко выражены, как в начале заболевания. Нарастают признаки обезвоживания организма.
  • Третья стадия – стадия перитонита – наступает в более поздние сроки. Состояние больного крайне тяжёлое, лицо Гиппократа, сухой потрескавшийся язык, "фекалоидная" рвота. Отмечаются резкие гемодинамические нарушения. Температура тела высокая. Живот равномерно вздут (с-м Мондора). При аускультации перистальтика не определяется (с-м "гробовой тишины"), имеют место с-мы Спасокукоцкого и Лотейссена.
Сильная мучительная боль в животе является первым признаком заболевания. Она начинается внезапно, без каких-либо предвестников. Значительно реже она начинается почти незаметно и постепенно становится невозможно жестокой. Локализованная вначале боль так быстро распространяется по всему животу, что больной чаще всего не помнит откуда она началась. Обычно жестокие приступы чередуются с относительно спокойными промежутками. Боль обычно не иррадиирует, но иногда отдаётт в поясничную область и крестец. Но очень важно, что уменьшение или исчезновение болей при ухудшении общего состояния может свидетельствовать о параличе истончённых мышц кишечника, а затем о его гангрене. Развивающийся перитонит характеризуется постоянными болями в животе, резко усиливающимися при пальпации передней брюшной стенки.
Почти одновременно с первым приступом боли появляется и рвота остатками пищи, потом желчью, окрашенную в зеленоватый или желтовато-оранжевый цвет. Её частота и характер, как правило, зависят от уровня препятствия. Чем выше непроходимость, тем более выражена рвота. Облегчения она не приносит. В запущенных случаях и/или развитии перитонита рвота приобретает фекалоидный характер (именно фекалоидный, а не фекальный (каловый), как подчёркивал Г. Мондор). "Фекалоидная рвота - это симптом и поздний и опасный, которого не следует дожидаться - вернее, это симптом не болезни, а близкой смерти" (С. Гендли). 
Задержка стула и газов является существенным признаком механической кишечной непроходимости, однако, если препятствие находится в тонких кишках, нижний достаточно длинный отрезок кишечника может опорожняться одним или двумя испражнениями или кратковременным поносом; газы могут отойти 2-3 раза.
Осмотр живота должен быть внимательным и вдумчивым, ибо он даёт возможность установить два очень важных признака: метеоризм (вздутие) и перистальтику. Вздутие верхней половины живота, эпигастральной области, которое не исчезает и после аспирации желудочного содержимого через зонд, свидетельствует о непроходимости начального отдела тонкой кишки.
В 1889 г. профессор хирургии Дерптского университета Эдуард фон Валь дал знаменитое описание заворота тонкой кишки, которое можно применить к любому виду острой тонкокишечной непроходимости: "Зона, имеющая вид свода, ограниченная, резистентная и в особенности с заметной перистальтикой - это обычно расширенная кишечная петля, место и причина непроходимости". Вздутие живота появляется не сразу, но быстро нарастает. Тем не менее - это может быть не общее и значительное расширение живота кишечником, который находится в состоянии паралича и не пытается сократиться. Иногда это только некоторая выпуклость в надчревной области, вокруг пупка, род маленького шара, который иногда удлиняется, вытягивается. В ряде случаев он более значительных размеров - большой шар, выпячивающийся в середине живота или сбоку. Бывает, что вздутие, широко растянув кишечник, образует как бы раму вокруг всего живота. Посмотрев внимательно на больного сверху вниз или при рассеянном свете, мы можем увидеть сокращения закрытой препятствием кишки, ограниченное возвышение стенки живота в виде быстро понижающегося купола или более или менее продолжительной перистальтической волны. Иногда это возвышение возникает быстро и сильно и сопровождается испугом или побледнением лица, иногда оно появляется медленно, постепенно. Эту перистальтику кишки необходимо обнаружить. Её можно видеть, слышать и осязать (с-м Шланге). Учитывая, что во время болезненных приступов она видна лучше, надо попытаться её усилить пальпацией-поглаживанием или перкуссией. Если во время болезненных приступов, возникающих подобно маточным схваткам во время родов, под брюшной стенкой вырисовываются кишечные петли, то можно утверждать, что здесь имеет место механическая кишечная непроходимость.
Пальпацией определяется общая консистенция живота, локализованные боли, состояние брюшных стенок. При этом необходимо проявить мягкость и терпение. Грубое, резкое, причиняющее боль исследование одной рукой не даёт хорошего ответа; при мягком и медленном ощупывании двумя руками мы получим очень полезную информацию. На месте метеоризма имеется более или менее напряжённая и постоянная эластическая резистентность. Эта резистентность может быть перемещающаяся; если она постоянная, то волны перистальтики, которые до сих пор ускользали от нашего внимания, благодаря пальпации будут становиться всё более заметными. Там где вздутия нет брюшная стенка мягкая и податливая. Сокращения передней брюшной стенки нет нигде. Надо хорошо отличать резистентность от сокращения; это два совершенно различных признака: первый характеризует кишечную непроходимость, другой не имеет к ней никакого отношения. С-м Щёткина-Блюмберга также отрицательный. И наконец, при сотрясении передней брюшной стенки может быть выявлен "шум плеска" (с-м Склярова), который при некоторых случаях тонкокишечной непроходимости определяется достаточно рано. Наличие этого симптома либо на ограниченном участке, либо по всему животу свидетельствует о тяжёлых изменениях в кишечнике.
Живот, при перкуссии его вздувшейся части, даёт тимпанический звук. Полезно отыскать границы тимпанической зоны, определить её контуры, узнать находится ли она посередине или сбоку, распространена ли она по всему животу или локализована, правильной ли формы или ассиметрична. Иногда можно найти зону притупления, которая чаще ограничена наполненной содержимым кишечной петлёй.
При острой тонкокишечной непроходимости аускультация позволяет воспринимать звуки, имеющие большое диагностическое значение. В начале заболевания можно слышать усиленную перистальтику и своеобразное урчание после клизмы в месте препятствия. В дальнейшем она угасает, могут выслушиваться металлический звон высокой тональности, происходящий вследствие перемещения жидкости и газов в узком трубчатом пространстве (так называемый "шум падающей капли" - с-м Спасокукоцкого), а также дыхательные и сердечные шумы (с-м Лотейссена); и как финал заболевания - "абсолютное молчание последних часов, когда слышны лишь бияния аорты" (Дивер) - с-м "гробовой тишины". Учитывая, что перкуссия и аускультация в отдельности не всегда дают ясные и надёжные результаты, более целесообразно эти методы объединить.
В начальном периоде острой механической кишечной непроходимости не удаётся выявить характерных изменений крови. В более поздних стадиях имеет место эритроцитоз, лейкоцитоз со сдвигом влево. Значительно увеличивается СОЭ. Содержание гемоглобина может достигать 180-200 г/л. Повышается вязкость крови. При биохимическом исследовании отмечается диспротеинемия, нарушение обмена электролитов и, в частности, значительное снижение содержания хлоридов, изменение кислотно-основного состояния и т. д.
На обзорной рентгенограмме брюшной полости при острой тонкокишечной непроходимости обнаруживаются расширенные газом петли тонкой кишки (> 3 см), при этом в просвете ободочной кишки газ либо полностью отсутствует, либо содержится в незначительном количестве. Петли тонкой кишки, заполненные жидкостью, могут давать картину отсутствия газа в брюшной полости. Чаши Клойбера, принадлежащие тонкой кишке, располагаются преимущественно в центральных отделах брюшной полости. При этом часто высота газовых пузырей меньше длины горизонтальных уровней. В случаях, если препятствие локализуется в начальном отделе тонкой кишки чаш мало и находятся они в левом верхнем отделе брюшной полости. В случае низкой непроходимости тонкой кишки их значительно больше и обнаруживаются они в правом нижнем отделе брюшной полости. Значительное увеличение расстояния между отдельными складками Керкринга и их утолщение при механической кишечной непроходимости всегда указывает на значительное растяжение тонкой кишки и на срочность операции. При растяжении толстой кишки также наблюдается и типичная для неё гаустрация. 
Время появления первых рентгенологических симптомов колеблется в зависимости от локализации и характера непроходимости. При полной тонкокишечной непроходимости образование уровней наблюдается уже в первые два часа после начала заболевания.

газ в кишке
Тонкокишечная непроходимость.     
А - высокая: возможно наличие единичных горизонтальных уровней жидкости и газа;
наличие газа в толстой кишке не характерно. Б - низкая: обычно видны множественные горизонтальные уровни жидкости и газа (чаши Клойбера); наличие газа в толстой кишке не характерно.

                                                                                                  
                                                
Тонкокишечная непроходимость
Обзорная рентгенограмма брюшной полости при острой спаечной обтурационной тонкокишечной непроходимости. Хорошо видны горизонтальные уровни жидкости и газа - чаши Клойбера (стрелки).

При острой обтурационной тонкокишечной непроходимости выполняется динамическое рентгенологическое наблюдение за продвижением бариевой взвеси, принятой через рот (проба Напалкова). У здорового человека контрастное вещество достигает слепой кишки через 2-3 часа. Задержка его до 4 часов и более даёт основание заподозрить кишечную непроходимость.

проба Напалкова проба Напалкова
Проба Напалкова при острой спаечной обтурационной тонкокишечной непроходимости.
Рентгенологическая картина: а - через 3 часа после дачи бария; б - через 5 часов после дачи бария.
 
                                  
                              
Ультразвуковыми признаками острой обтурационной тонкокишечной непроходимости являются:
  • расширение просвета тонкой кишки более 2 см с наличием феномена "секвестрации жидкости" в просвет кишки;
  • утолщение стенки тонкой кишки более 4 мм;
  • наличие маятникообразной перистальтики;
  • увеличение высоты керкринговых складок более 5 мм, увеличение расстояния между ними более 5 мм;
  • гиперпневматизация кишечника в приводящем отделе;
  • наличие свободной жидкости в брюшной полости.

КТ кишечная непроходимость
УЗ-признаки острой спаечной обтурационной тонкокишечной непроходимости.
Ширина просвета тонкой кишки достигает 32 мм, трехслойная структура стенки сохранена,
внутреннее содержимое практически
анэхогенное (стрелки).


Компьютерная томография способна подтвердить диагноз острой обтурационной тонкокишечной непроходимости более чем в 90 % случаев. Ей, как правило, отводится роль уточняющего метода дообследования в случаях, когда на обзорных рентгенограммах не было выявлено никакой патологии, а у пациента наблюдается клиническая картина кишечной непроходимости.
Её признаками по данным компьютерной томографии являются:
  • расширенные петли кишечника проксимальнее транзиторной зоны;
  • под транзиторной зоной надо понимать зону кишки с очевидной разностью в диаметре просвета между расширенным проксимальным сегментом и местом сужения/обструкции. Визуализация этой зоны зависит от причины и механизма обструкции, а также от проекции расположения петли (аксиально, фронтально и т.д.). При спаечном механизме описан признак "птичьего клюва”. При обструкции в результате алиментарного болюса транзиторная зона будет выглядеть как гетерогенное образование в просвете кишки, без признаков контрастного усиления;
  • спавшиеся петли кишечника дистальнее уровня обструкции;
  • смешанный характер стаза содержимого кишечника в расширенных петлях;
  • нормальные неутолщенные стенки кишечника с гомогенным одинаковым контрастным усилением;
  • в тощей кишке рисунок ворсинок слизистой (valvulae conniventes) тонкий, и они одинаково выглядят на всем протяжении;
  • отсутствие воспалительных изменений в брыжейке и внутрибрюшинном жире;
  • нормальная васкуляризация сосудов брыжейки;
  • отсутствие свободной жидкости в брюшной полости.
При декомпенсированной форме кишечной непроходимости на компьютерной томограмме выявляются следующие признаки:
  • определяются все признаки, описанные при простой форме, дополнительно появляются патологические изменения в брюшной полости;
  • свободная жидкость между расширенными петлями кишечника, описанная как признак “танга” (tanga sign);
  • свободная жидкость в брыжеечных карманах;
  • свободная жидкость в брюшной полости.
Лечебная тактика при острой обтурационной тонкокишечной непроходимости определяется индивидуально. При отсутствии признаков перитонита, выраженных водно-электролитных нарушений и небольших (до 36 часов) сроках заболевания назначается консервативное лечение, которое включает:
  • аспирацию желудочного содержимого; 
  • адекватное обезболивание (ненаркотические анальгетики, спазмолитики);
  • инфузию кристаллоидных растворов, глюкозы с обязательным включением препаратов калия, устранение водно-электролитных нарушений (при их наличии) в течение 2-4 часов;
  • сифонную клизму;
  • дыхательную гимнастику с участием передней брюшной стенки, смена положения тела, коленно-локтевое положение и т. д.;
  • декомпрессию проксимальных отделов желудочно-кишечного тракта (после первого контроля пассажа бария). Назогастральной интубации бывает достаточно для ликвидации перерастяжения петель. Более перспективной в этом плане является эндоскопическая назоинтестинальная декомпрессия, которая повышает эффективность консервативной терапии до 60,5-100 % и уменьшает сроки проведения консервативной терапии, ускоряя принятие тактических решений.
  • медикаментозная стимуляция перистальтики противопоказана!
Положительным клиническим эффектом от консервативной терапии и подтверждением правомерности продолжения консервативных мероприятий следует считать достижение совокупности следующих критериев:
  • общая положительная динамика при отсутствии перитонеальной симптоматики;
  • прекращение рвоты и отделения застойного содержимого по назогастральному зонду;
  • восстановление ритмичной непатологической перистальтики кишечника при аускультации живота;
  • уменьшение вздутия живота;
  • восстановление отхождения газов;
  • купирование болевого синдрома;
  • восстановление естественного опорожнения кишечника.
По данным рентгенологических методов исследования:
  • уменьшение диаметра участка кишки, расположенного проксимальнее опухоли;
  • исчезновение поперечной исчерченности стенки супрастенотического участка кишки;
  • уменьшение количества и исчезновение "арок" и уровней жидкости (чаш Клойбера);
  • продвижение контраста в дистальные отделы кишки;
  • исчезновение уровней жидкости (чаш Клойбера) на повторной рентгенографии брюшной полости после проведения пробного консервативного лечения.
Срочная операция у больных с острой обтурационной кишечной непроходимости выполняется когда проводимая в течение 12-24 часов консервативная терапия неэффективна; экстренная - при наличии перитонита, либо в случае выраженной (запущенной) кишечной непроходимости с тяжёлыми водно-электролитными нарушениями, зондовыми потерями более 1000 мл, значительной дилатацией тонкой кишки, после кратковременной предоперационной подготовки.

тонкокишечная непроходимость
Острая обтурационная тонкокишечная непроходимость.

Странгуляционная тонкокишечная непроходимость
В развитии странгуляционной кишечной непроходимости выделяют три этапа:
  • Острое начало, которое больше свойственно завороту тонкой кишки, при этом характерна постоянная интенсивная боль в животе, рефлекторная рвота. Выраженных нарушений водно-электролитного баланса пока нет, но признаки интоксикации появляются рано.
  • Ишемия кишечной стенки. Сохраняется преимущественно постоянная боль в животе. Появляется локальная болезненность, ассиметрия передней брюшной стенки, слабовыраженные симптомы раздражения брюшины и интоксикации. Перистальтика может быть сохранена. После формирования некроза кишки болевой синдром значительно уменьшается, могут быть единичные схватки вследствие раздутия вышележащих отделов, рвота застойным содержимым, выраженные явления эндотоксикоза и нарушения водно-электролитного обмена.
  • Инфекционно-воспалительные осложнения (перитонит).
ЗаворотЗаворот тонкой кишки характеризуется внезапным, бурным началом. Иногда кажется, что приступ был вызван физическим усилием, переполнением желудка, приёмом слабительных. Первым симптомом является жестокая, приступообразная боль в животе. Начальная локализация её даёт нам очень ценные сведения: эта боль, ощущаемая в глубине живота, превертебрально, - "точно что-то отрывается изнутри" (Генри Мондор). Она одинаково мучительна как спереди у эпигастрия, так и сзади в спине или в пояснице. Также характерна рвота желчью, иногда фекалоидная, которая появляется очень рано и повторяется очень часто. Другим типичным признаком заболевания является полная и окончательная задержка отхождения стула и газов.
Общее состояние быстро ухудшается. Довольно часто имеет место температура ниже нормальных значений. Артериальное давление может повышаться.
Вздутие живота в начале заболевания локализовано. Положительный с-м Валя. Ещё раз позволю себе напомнить знаменитое описание заворота тонкой кишки, которое дал в 1889 году профессор хирургии Дерптского университета Эдуард фон Валь в статье "Die Aetiologie und Therapie des Ileus", напечатанной в журнале "Archiv fur Chirurgie": "Зона, имеющая вид свода, ограниченная, резистентная и в особенности с заметной перистальтикой - это обычно расширенная кишечная петля, место и причина непроходимости". Он тут же прибавляет совершенно правильное и полезное при завороте тонкой кишки указание, но которое не может помочь при завороте сигмовидной кишки: "Кишечник выше препятствия пуст, особенно при частой рвоте". Указанное вздутие наблюдается либо в правой подвздошной области, либо в подпупочной, но обычно оно быстро перемещается к пупку, т. е. это центральное вздутие. Наличие при этом перистальтики может быть благоприятным признаком.
Пальпаторно локализацию боли в животе удаётся установить не всегда. Вместе с тем, Тевенар, опираясь на личные наблюдения, писал: "Я прошу больную точно указать место, где она чувствует самую острую боль, и она, не колеблясь, прикасается рукой к точке, находящейся на два поперечных пальца выше пупка на той же вертикали. В этом месте надавливание вызывает боль максимальной интенсивности. Я остановился на диагнозе заворота тонких кишок ... главным образом, основываясь на болевой надпупочной точке ... Диагнозе, оказавшимся, как показала операция, правильным". Надо заметить, что эта точка, соответствующая началу брыжеечной артерии, всегда вовлечена в перекручивание при завороте более или менее значительной, растянутой кишечной петли, и тем более при завороте всех тонких кишок.
Рентгенологические признаки заворота тонкой кишки аналогичны острой обтурационной тонкокишечной непроходимости, при этом рентгеноконтрастное исследование не проводится.
По данным УЗИ, помимо признаков кишечной непроходимости, при завороте тонкой кишки может отмечаться выпот в брюшной полости.
При компьютерной томографии для странгуляционной кишечной непроходимости характерны утолщение стенок кишечника, васкулярные нарушения и выраженные патологические изменения в брыжейке и в брюшной полости. Диагностические на ходки включают в себя:
  • расширенные петли тонкой кишки, проксимальнее транзиторной зоны (зоны обструкции);
  • спавшиеся петли кишечника дистальнее уровня обструкции;
  • транзиторная зона;
  • смешанный характер стаза содержимого кишечника в расширенных петлях с преобладанием жидкостного компонента;
  • утолщение стенки кишки циркулярного типа;
  • нарушение нормального контрастного усиления стенок кишки. Изменения варьируют от гиперконтрастирования до полного отсутствия контрастного усиления. Различные варианты этих изменений между описанными выше крайностями могут наблюдаться одновременно в разных сегментах тонкой кишки. Полное отсутствие усиления означает артериальный рефлекторный спазм и свидетельствует в пользу тяжести поражения;
  • петля с утолщенными стенками теряет свою эластичность и становится ригидной, вытянутой;
  • пристеночный пневматоз тонкой кишки, в особо тяжелых случаях появляются интрамуральные пузырьки газа;
  • появление патологических плотностей в брыжейке в виде распространяющихся матовых инфильтратов и тяжистости за счет кровоизлияний в жировые ткани;
  • застойные изменения сосудов брыжейки. Сначала диаметр сосудов увеличивается, но со временем наступает рефлекторный артериальный спазм, брыжейка будет выглядеть с обедненной васкуляризацией. Сосуды сужены или с полностью коллабированным просветом;
  • газ в просвете верхней брыжеечной вены;
  • газ в просвете портальной вены;
  • при заворотах нарушается нормальная сосудистая анатомия брыжейки; сосуды как бы закручиваются вокруг оси заворота и тянут за собой измененный брыжеечный жир по типу раковины улитки или торнадо. Для большей наглядности представьте себе кусок расправленной ткани на столе, которую вы прижали пальцем и начали закручивать, не отрывая ваш палец от стола. На КТ сканах часто можно увидеть характерный признак конусовидной спирали (whirl sign);
  • свободная жидкость в карманах брыжейки и в брюшной полости. Иногда жидкость может быть повышенной плотности за счет геморрагического компонента.
КТ кишечная непроходимость
Компьютерная томография.
Признаки острой тонкокишечной непроходимости.
Стрелками указано место наибольшего расширения тонкой кишки.  

Странгуляционная тонкокишечная непроходимость, как правило, имеет быстро прогрессирующее течение, приводящее к гангрене вовлечённого в процесс кишечника, и перитониту, в связи с чем является абсолютным показанием к оперативному лечению.

Заворот тонкой кишки
Заворот тонкой кишки.

Заворот тонкой кишки с некрозом
Заворот тонкой кишки с её некрозом.

Острая обтурационная толстокишечная непроходимость опухолевой этиологии
По уровню толстокишечной непроходимости различают высокую (характерна для локализации опухолей в правых отделах ободочной кишки) и низкую (характерна для локализации новообразований в левых отделах ободочной кишки и в прямой кишке).
По степени компенсации острая обтурационная толстокишечная непроходимость опухолевой этиологии бывает: 
  • Компенсированная кишечная непроходимость: периодически возникающие запоры, сопровождающиеся задержкой стула и затруднением отхождения газов; на обзорной рентгенограмме брюшной полости может выявляться пневматизация ободочной кишки с единичными уровнями жидкости в ней. 
  • Субкомпенсированная кишечная непроходимость: задержка стула и газов менее 3-х суток, на обзорной рентгенограмме определяются тонкокишечные арки, пневматоз и чаши  Клойбера  в  правой  половине  живота;  отсутствуют  признаки  полиогранных дисфункций; эффективна консервативная терапия.
  • Декомпенсированная кишечная непроходимость: задержка стула и газов более 3-х суток; рентгенологические признаки как толсто-, так и тонкокишечной непроходимости с локализацией тонкокишечных уровней и арок во всех отделах брюшной полости; рвота застойным содержимым; наличие органных дисфункций.  
Боли при острой обтурационной толстокишечной непроходимости, развившейся на фоне рака ободочной кишки, редко бывают схваткообразными, чаще постоянные, с периодическими обострениями. Рвота может отсутствовать или встречаться один-два раза в самом начале заболевания. Затем она прекращается и дальнейшее появление фекалоидной рвоты говорит о запущенности процесса. Нарушение отхождения стула и газов является ранним признаком. Более того, при раке левой половины ободочной кишки непроходимость обычно развивается на фоне хронических запоров. 
При острой обтурационной толстокишечной непроходимости метеоризм обычно появляется через несколько часов после возникновения болей и задержки отхождения стула и газов. В первые часы имеет место локальное вздутие живота, вызывающее его ассиметрию.
Живот, при перкуссии его вздувшейся части, даёт тимпанический звук, повышающийся иногда до металлического тембра (с-м Кивуля). Полезно отыскать границы тимпанической зоны, определить её контуры, узнать находится ли она посередине или сбоку, распространена ли она по всему животу или локализована, правильной ли формы или ассиметрична. Иногда можно найти зону притупления, которая чаще ограничена наполненной содержимым кишечной петлёй.
Пальцевое исследование прямой кишки является классическим приёмом при подозрении на кишечную непроходимость. Оно проводится не только для того, чтобы убедиться, что причина её кроется в прямой кишке, также "поражает удивительный контраст между пустой прямой кишкой, тесно облегающей ваш палец, и ощущением давления, значительного внутрибрюшного напряжения, выше неё" (Кодман). При препятствии на уровне сигмовидной кишки в ряде случаев отмечается расширение и запустение ампулы прямой кишки (с-м Обуховской больницы), а также имеет место ограниченная заполняемость кишечника при проведении клизмы с-м Цеге-Мантейфеля.
Пациентам с подозрением на острую обтурационную толстокишечную непроходимость при отсутствии противопоказаний рекомендуется выполнять компьютерную томографию органов грудной клетки, брюшной полости и малого таза в качестве метода выбора. Это позволяет заподозрить опухолевую природу непроходимости, установить стадию онкологического процесса, наличие отдаленных метастазов, протяженность патологического процесса в толстой кишке, исключить свободный газ в брюшной полости и выявить наличие пузырьков газа в периколической клетчатке как ранний рентгенологический симптом перфорации опухолью стенки кишки и другие осложнения острой кишечной непроходимости. Ограничениями для метода являются наличие у пациента противопоказаний к использованию рентгенконтрастных средств, содержащих йод (лекарственная непереносимость, повышение уровня мочевины и креатенина крови), невозможность транспортировки пациента в отделение лучевой диагностики. В таком случае предпочтение в диагностике отдается ультразвуковому и/или рентгенологическому исследованию органов брюшной полости.
При рентгенологической диагностике
острой толстокишечной непроходимости следует помнить, что срок образования чаш Клойбера больше, чем при тонкокишечной непроходимости. Они располагаются по ходу ободочной кишки, их немного, а высота содержащихся в них газовых пузырей превалирует над горизонтальным уровнем. Газ довольно часто может проникать в тонкую кишку. В норме в правых отделах ободочной кишки жидкость всасывается настолько интенсивно, что выявление скопления жидкости проксимальнее печеночного изгиба ободочной кишки позволяет с высокой степенью вероятности предполагать наличие препятствия в её левых отделах. 
По рентгенологическим признакам выделяют:

  • компенсированную толстокишечную непроходимость: на обзорной рентгенограмме брюшной полости выявляют пневматизацию ободочной кишки с уровнями жидкости в ней при отсутствии гастростаза.
  • субкомпенсированную толстокишечную непроходимость: определяются рентгенологические признаки низкой тонкокишечной непроходимости (тонкокишечные арки и чаши Клойбера в правой половине живота).
  • декомпенсированную толстокишечную непроходимость: выявляется гастростаз и рентгенологические признаки как толсто-, так и тонкокишечной непроходимости с локализацией тонкокишечных уровней и арок во всех отделах брюшной полости.
 Толстокишечная непроходимость
Обзорная рентгенограмма брюшной полости при компенсированной
острой обтурационной толстокишечной непроходимости на фоне рака сигмовидной кишки.
Выраженная пневматизация ободочной кишки (стрелки).

толстокишечная непроходимость
Обзорная рентгенограмма брюшной полости при субкомпенсированной
острой обтурационной толстокишечной непроходимости.
Небольшое число чаш Клойбера располагается по ходу ободочной кишки (стрелки).
Высота содержащихся в них газовых пузырей превалирует над горизонтальным уровнем.
Присутствует газ в тонкой кишке.


При острой толстокишечной непроходимости пассах бария по кишечнику, как правило, не проводится, а выполняется ирригоскопия.
ирригоскопияОна показана при наличии у больного клинической картины толстокишечной непроходимости и увеличении диаметра слепой кишки при обзорной рентгенографии брюшной полости до 15 см. Ирригоскопия позволяет выявить специфические рентгенологические признаки непроходимости опухолевой природы:
  • дефект наполнения в толстой кишке;
  • циркулярный дефект наполнения на уровне стенозирующей просвет кишки опухоли, проксимальнее которой поступление контрастного вещества не происходит.

ирригоскопия ирригоскопия ирригоскопия   
а                                          б                                       в
Ирригограммы.
а - нормальное изображение ободочной кишки; б -
рак печеночного изгиба ободочной кишки без признаков кишечной непроходимости (стрелка);  в - обрыв контрастирования на уровне печеночного изгиба ободочной кишки (стрелка), резко раздутая приводящая петля - рак печеночного изгиба ободочной кишки, вызывающий острую обтурационную толстокишечную непроходимость.

Применение ирригографии имеет ограничения, связанные с невозможностью выполнения исследования у "лежачих" больных и у пациентов с нарушенной функцией держания анального сфинктера. Кроме того, это исследование не позволяет оценить состояние приводящего отдела кишки, степень первичного опухолевого поражения, и наличие отдалённых метастазов. В этом случае хорошим подспорьем является компьютерная томография с контрастным усилением, которая кроме диагностики кишечной непроходимости при опухолевой этиологии заболевания даёт возможность определить точную её локализацию и распространённость, выявить отдалённые метастазы.
Эндоскопические методы: ректороманоскопия, колоноскопия позволяют верифицировать диагноз новообразования прямой или ободочной кишки при острой обтурационной толстокишечной непроходимости, определить уровень поражения, выраженность стеноза просвета кишки на уровне опухоли. Колоноскопия может быть использована для выявления уровня обструкции и верификации диагноза путём выполнения биопсии опухоли. В некоторых случаях во время колоноскопии удается провести зонд через стенозирующую опухоль с целью декомпрессии проксимальных отделов кишки. Противопоказанием к проведению колоноскопии является декомпенсированная кишечная непроходимость, сопровождающаяся диастатической перфорацией кишки, перитонитом, крайне тяжелым общим состоянием больного.

рак ободочной кишки
Колоноскопия.
Обтурирующая опухоль левой половины ободочной кишки.


Инфекционно-воспалительными осложнениями острой толстокишечной непроходимости опухолевой этиологии, как следствие перфорации (микроперфорации) опухоли или приводящих отделов толстой кишки могут быть:

•    Инфильтрат брюшной полости.
•    Межпетлевой абсцесс.
•    Абсцесс брыжейки кишки.
•    Абсцесс или флегмона забрюшинного пространства.
•    Местный неотграниченный или распространенный перитонит.

Лечебная тактика при острой обтурационной толстокишечной непроходимости опухолевой этиологии определяется индивидуально. Декомпенсированная форма острой толстокишечной непроходимости подлежит оперативному  лечению после короткой предоперационной подготовки. Характер и объём инфузионной терапии определяется совместно с анестезиологом-реаниматологом.
Консервативная терапия при субкомпенсированной форме острой толстокишечной непроходимости  считается эффективной при достижении положительной динамики в течение  первых  6-12  часов лечения. При явной положительной динамике, отсутствии перитонеальной симптоматики консервативное лечение может быть продолжено.
Компенсированная форма острой толстокишечной непроходимости подлежит оперативному лечению в плановом порядке.

Консервативное лечение включает коррекцию водно-электролитных нарушений, эндогенной интоксикации, при инфекционно-септических осложнениях начинается антибактериальная терапия. Если кишечная непроходимость не разрешается, проведённое консервативное лечение будет являться предоперационной подготовкой.
Элементами консервативного лечения являются:
  • Обеспечение декомпрессии проксимальных отделов желудочно-кишечного тракта путём аспирации содержимого через назогастральный или назоинтестинальный зонд.
  • Очистительные и сифонные клизмы. Постановка клизм в ряде случаев позволяет добиться  опорожнения отделов толстой кишки, расположенных выше препятствия. Постановка сифонных клизм при острой кишечной непроходимости является исключительно врачебной процедурой.
  • Инфузия кристаллоидных растворов с целью коррекции водно-электролитных нарушений, ликвидации гиповолемии. Объём инфузионной терапии следует проводить под контролем ЦВД, что требует постановки центрального венозного катетера.
  • Коррекция белкового баланса путём переливания белковых препаратов.
  • При компенсированной форме кишечной непроходимости лечение целесообразно дополнить назначением сбалансированных питательных смесей.
Положительным клиническим эффектом от консервативной терапии и подтверждением правомерности продолжения консервативных мероприятий следует считать достижение совокупности следующих критериев:
  • общая положительная динамика при отсутствии перитонеальной симптоматики;
  • прекращение рвоты и отделения застойного содержимого по назогастральному зонду;
  • восстановление ритмичной непатологической перистальтики кишечника при аускультации
  • живота;
  • уменьшение вздутия живота;
  • восстановление отхождения газов;
  • купирование болевого синдрома;
  • восстановление естественного опорожнения кишечника.
По данным рентгенологических методов исследования:
  • уменьшение диаметра участка кишки, расположенного проксимальнее опухоли;
  • исчезновение поперечной исчерченности стенки супрастенотического участка кишки;
  • уменьшение количества и исчезновение "арок" и уровней жидкости (чаш Клойбера).
В случае опухолевой этиологии кишечной непроходимости отсроченное оперативное вмешательство выполняется на фоне указанной консервативной терапии в течение не более 10 суток после постановки диагноза без выписки на амбулаторное лечение во  избежание рецидива непроходимости, либо после перевода в специализированное онкологическое или колопроктологическое отделение.
При отсутствии положительного эффекта от пробного консервативного лечения, нарастании или сохранении симптомов кишечной непроходимости, показано хирургическое лечение по  срочным показаниям.
Пациенты, которым выполняется оперативное вмешательство по поводу колоректального рака, относятся к группе высокого риска возникновения тромбоэмболических осложнений. При наличии кишечной непроходимости риск подобных осложнений расценивается как крайне высокий. Применение низкомолекулярных гепаринов может существенно снизить вероятность возникновения тромбоэмболии легочной артерии и тромбоза глубоких вен нижних конечностей. Использование обычных гепаринов не отличается по эффективности, однако сопряжено с большим числом геморрагических осложнений. Дополнительно используются компрессионные чулки разной степени плотности, а также приборы прерывистой пневматической компрессии. В тоже время, раннее прекращение постельного режима является одним из условий успешной профилактики венозного тромбоза и практикуется во всех случаях, когда это возможно. У больных, перенесших крупные оперативные вмешательства по поводу онкологических операций целесообразно проводить профилактические мероприятия, сочетающиеся с введением низкомолекулярных гепаринов, как минимум, в течение 4 недель.
Назначение антибактериальных препаратов может снижать частоту развития осложнений, укорачивать пребывание больного в стационаре, снижать затраты на лечение инфекционных осложнений после хирургических операций. Приемлемым считается профилактическое интраоперационное внутривенное введение цефалоспоринов или фторхинолонов в сочетании с метронидазолом.  Эффективность профилактики нагноения послеоперационной раны при однократном внутривенном введении цефалоспоринов в сочетании с метронидазолом не уступает таковой при трёхкратном их применении после операции.
Необходимость подготовки кишечника к оперативному вмешательству зависит от степени нарушения пассажа кишечного содержимого (полной или частичной), уровня кишечной непроходимости, клинического течения (острое или хроническое). При хроническом течении кишечной непроходимости, частичном нарушении пассажа назначается бесшлаковая диета в сочетании с приёмом вазелинового масла и механической очисткой толстой кишки.

Странгуляционная толстокишечная непроходимость

Заворот сигмовидной кишки (volvulus sigmatis), впервые описанный в в 1836 году австрийским патологоанатомом Карлом фон Рокитанским, представляет собой наиболее частую причину странгуляционной кишечной непроходимости.

заворот сигмыЗаболевание преимущественно встречается у лиц пожилого возраста, чаще мужчин. Причины заворота сигмовидной кишки те же, что и при заворотах других отделов кишечника. Из анамнестических данных, как правило, выясняется наличие в прошлом кишечных расстройств, характерных для мегасигмы и мегаколона: упорные запоры, чередующиеся с поносами, вздутие живота, и что предыдущие приступы были успешно ликвидированы консервативными мероприятиями.
Кишечная непроходимость на фоне заворота сигмовидной кишки может развиваться бурно с явлениями шока (острая форма) после 3-4 дней недомогания, сопровождающегося коликами, поносом, тошнотой. Но чаще клинические проявления заболевания прогрессируют постепенно, что приводит к диагностическим ошибкам.
Общие функциональные симптомы могут быть крайне незначительными. Даже боли не всегда мучительны. Вначале они локализуются в левой подвздошной, левой фланковой областях, затем, усиливаясь, распространяются по всему животу, переходят с одной стороны на другую. Этот вид кишечной непроходимости в отличие почти от всех других не сопровождается рвотой и если она появляется, то очень поздно. Рвота либо пищевая, либо желчью, но почти никогда не бывает фекалоидной. Отмечается стойкая задержка отхождения стула и газов.
В начале заболевания общее состояние страдает мало: температура нормальная, тахикардия не выражена. Отмечается некоторая сухость языка, олигурия, страдальческое и безнадёжное выражение лица.
Главным признаком острой кишечной непроходимости в это время будет быстро прогрессирующий метеоризм, который выявляется при осмотре больного. Разобраться в нём легче вначале заболевания, до наступления полного общего перерастяжения "огромного" живота газами, когда, несмотря на большие размеры это ещё местный метеоризм. Максимум вздутия может находиться в разных местах: по середине живота, над пупком, в надчревной и подвздошной области, в виде песочных часов,  в левой подвздошной области и т. д. Самое главное, что живот деформирован, неравномерно вздут, т.е характерен с-м "косого живота", описанный Буайе, когда вздутие, приводящее к его ассиметрии, располагается по направлению от правого подреберья через пупок к левой подвздошной ости.

вздутие живота
Метеоризм при завороте сигмовидной кишки.

Перкуторно отмечается усиленный тимпанический звук с металлическим оттенком над растянутой петлёй кишки (с-м Кивуля). При аускультации выслушивается "шум плеска" (с-м Склярова).
При ректальном исследовании стенки прямой кишки кажутся подтянутыми кверху и выпрямленными. Задний проход утолщён, мягок и имеет вид валика, как при венозном застое. Положительный с-м Цеге-Мантейфеля.
Спустя короткое время клиническая картина резко изменяется: отмечается выраженная тахикардия, снижение артериального давления, гипертермия, одышка, facies  hippocratica, рвота чёрными массами, анурия, больной либо страдает от болей, либо наблюдается эйфория. Живот резко вдут, ассиметричен. То есть имеют место все признаки перитонита, либо вследствие гангрены вовлечённого в процесс кишечника, либо его перфорации.
В настоящее время оптимальная стратегия ведения больных с заворотом сигмовидной кишки заключается в следующем. Для пациентов, имеющих признаки перитонита необходимо предпринять экстренную операцию. Напротив, для клинически стабильных пациентов сифонные клизмы и лечебная колоноскопия являются первым вариантом выбора для оказания неотложной помощи. Следует отметить, что из-за частого рецидива заболевания, после эндоскопической редукции рекомендуется плановая операция, которая заключается в сигмопексии или резекции сигмовидной кишки. 

заворот сигмы
Заворот сигмовидной кишки.

заворот сигмы с некрозом
Заворот сигмовидной кишки с её некрозом.

Инвагинация кишечника
Инвагинация кишечника является основной причиной смешанной механической кишечной непроходимости, во время которой происходит внедрение одного отдела кишки в другой. При развитии инвагинации наряду с обтурацией кишки возникают некротические изменения в инвагинированной кишечной петле в результате сдавления и тромбоза сосудов её брыжейки (т. е. имеет место странгуляция).
По данным различных авторов, инвагинация составляет от 4,9 до 13,4 % различных видов кишечной непроходимости. Особенно часто (до 80 %) она является причиной острой кишечной непроходимости у детей 1-го года жизни. Летальность продолжает оставаться высокой (около 15 %), что объясняется несвоевременным оказанием радикальной помощи. Если лечение начато вовремя частота неблагоприятных исходов снижается до 1 %.
У детей грудного возраста причиной инвагинации кишечника чаще всего является функциональное нарушение координации кишечной моторики с преобладанием сокращений циркулярного мышечного слоя кишечной стенки. К некоординированному сокращению мышечных  слоев могут привести изменения режима питания, введение прикорма, воспалительные заболевания кишечника. У детей старше года сравнительно часто наблюдаются механические  причины инвагинации (полипы, дивертикулы, опухоли кишечной стенки).
Нарушение координации сокращения гладкой мускулатуры кишки приводят к внедрению ее участка в нижележащий по ходу перистальтики и формированию "инвагината" (обтурация  кишечника). Поскольку за кишечной трубкой внедряется и соответствующая часть брыжейки, возникает странгуляция кишечника (нарушение кровообращения в кишке). Дальнейшее изоперистальтическое продвижение инвагината усугубляет циркуляторные нарушения в кишке. Развивается венозный застой и отек кишечной стенки, сопровождающийся отложением фибрина  с адгезией брюшинных поверхностей цилиндров инвагината. Дальнейшие циркуляторные нарушения ведут к некрозу кишечной стенки и развитию перитонита. При тонкокишечных  инвагинациях некроз кишки можно ожидать через 12–24 часа, при подвздошно-ободочном варианте инвагинации – через 6–12 часов, при слепо-ободочном и толстокишечном вариантах  – через 36–48 часов. 
У взрослых инвагинация кишечника обусловлена в большинстве случаев органическими причинами, к которым относятся: новообразования, например, липома подвздошной кишки, гиперплазия лимфоидной ткани, рубцовые сужения, дивертикул Меккеля, глистная инвазия и пр.
По характеру внедрения различают инвагинацию изоперистальтическую, или нисходящую, при которой внедрение происходит по ходу перистальтики и реже антиперистальтическую, или восходящую. В большинстве случаев наблюдается простая инвагинация, при которой образуются 3 цилиндра: наружный и 2 внутренних. Вершину инвагината называют "головкой". В области головки внутренний цилиндр переходит в средний, но могут встречаться и более сложные (двойные и тройные) инвагинаты.

инвагинация_1
Схема инвагинации кишечника.

Наиболее часто встречается подвздошно-толстокишечная инвагинация, при которой терминальный отдел подвздошной кишки внедряется сначала в слепую, а затем далее в восходящую и поперечную ободочную кишку. Второе место по частоте занимает тонко-тонкокишечная и третье - толсто-толстокишечная инвагинация. Описаны случаи инвагинации червеобразного отростка в слепую кишку.

Инвагинация
Инвагинация подвздошной кишки в толстую.

Клиническая картина инвагинации кишечника зависит от формы инвагинации и срока заболевания. Далее будет описана подвздошно-толстокишечная инвагинация. Заболевание начинается внезапно, среди полного здоровья. Если инвагинация случается у до этой минуты совершенно здорового ребёнка, то он начинает пронзительно кричать, прямо вопить от боли.  Ребенок становится беспокойным, сучит ножками (симптом обезьянки), отказывается от еды. Лицо его сразу меняется, на нём появляется выражение страха, мучительного страдания. Его всего передёргивает, он извивается, ложится на бок, сворачивается комком, ползает на четвереньках на кроватке, его рвёт принятым недавно молоком или желчью. Рвота имеет рефлекторный характер и связана с ущемлением брыжейки инвагинированного участка кишки. В более поздние сроки заболевания рвота обусловлена непроходимостью кишечника. Спустя несколько минут ребёнок успокаивается, не чувствуя, по-видимому, больше боли, и начинает дремать. Но это только короткая передышка. Снова появляются боли, и крики становятся всё пронзительнее. Каждые четверть часа - новый приступ. В промежутках между ними ребёнок настолько спокоен, что это могло бы ввести врача в заблуждение, если бы припадки не были так бесконечно мучительны. И вот, наконец, появляется главный симптом, симптом тревоги, тотчас указывающий врачу и диагноз, и лечебную тактику. Симптом этот чрезвычайно легко заметить - в пелёнках оказывается небольшое количество крови или окрашенной кровью слизи (с-м Крювелье). Эта слизь не имеет никакого запаха или же пахнет рыбой. Она появляется либо в нескольких испражнениях, либо в одном. Иногда её совсем не бывает, а иногда это подлинное кровотечение, и кровь, свернувшись походит на малинового желе. Гризель считал это показателем внедрения тонкой кишки в толстую. По его мнению, кровянистая слизь - признак ободочного внедрения, кровянистая серозная жидкость - илеоцекального. Чаще всего кровянистых выделений очень мало и отходят они маленькими струйками во время приступов. Кровь вначале чёрного цвета, но скоро становится красной. Если на пелёнках нет следов крови, а бурно начавшиеся приступы заставляют врача предполагать инвагинацию кишечника, он должен тотчас провести ректальное исследование.
Задержки отхождения стула и газов в начале заболевания нет. Может быть понос. Температура тела, как правило, остается нормальной. Имеет место тахикардия.
Живот не вздут, при его пальпации определяется малоболезненное опухолевидное образование в виде валика. Следует подчеркнуть, что пальпировать живот надо очень терпеливо, добиваясь полной неподвижности ребёнка. Для этого необходимо дождаться окончания приступа и успокоения маленького пациента. Опухоль может локализоваться в надчревной области, под печенью, позади пупка. Реже она встречается в подвздошных впадинах. Для её определения наиболее целесообразна бимануальная, пояснично-брюшная пальпация, как при исследовании почек.
В ряде случаев может быть положительным симптом, описанный Дансом:  ощущение пустоты, возникающее при пальпации в правой подвздошной области; признак илеоцекальной инвагинации, обусловленный перемещением инвагинированного участка кишки в правое подреберье (Прим. - в отечественной литературе он обозначается как с-м Шимана-Данса, поскольку Шиман описал аналогичный симптом, считая его характерным для заворота слепой кишки).
Основным методом инструментальной диагностики инвагинации кишечника является УЗИ органов брюшной полости. Этот метод обладает 100-процентной диагностической достоверностью и  специфичностью в отношение инвагинации кишечника.
При УЗИ инвагинаты визуализируются как эхогенные неоднородные образования, акустическое отображение которых определяется особенностями анатомической структуры и плоскостью сканирования.

УЗИ инвагинация
УЗ-признаки подвздошно-толстокишечного инвагината (продольное сканирование).
Симптом “клешни”. А – эхограмма; Б – схема.


Для дополнительной диагностики инвагинации кишечника, особенно при невозможности выполнения УЗИ, применяют рентгенологические методы исследования. При этом, на обзорных рентгенограммах  органов брюшной полости, выполненных в вертикальном положении может отмечаться малое газонаполнение правого нижнего квадранта живота и признаки кишечной непроходимоти –  расширенные петли кишечника с уровнями жидкости. В случае перфорации стенки ущемленной  кишки и развитии перитонита – определяется свободный газ в брюшной полости (серповидная  полоска просветления над печенью). Однако подобная рентгенологическая картина неспецифична для инвагинации кишечника. Более полные сведения при подозрении на инвагинацию кишечника дает ирригография, при которой определяется дефект наполнения с ровными вогнутыми контурами и видимое изображение "двузубца", "трезубца" или "кокарды", а сам инвагинат обнаруживается в виде серии колец или гофрированной трубки.

инвагинация
Ирригограмма. Толсто-толстокишечная инвагинация.

В качестве контраста в случае  подозрения на инвагинацию кишечника целесообразно использование воздуха (пневмоирригография). При выполнении пневмоирригографии ребенка укладывают на стол рентгенологического аппарата в горизонтальном положении. Нагнетание воздуха в ампулу  прямой кишки производят баллоном Ричардсона через катетер. Воздух в кишку нагнетают  медленно и осторожно. По мере заполнения воздухом толстой кишки головка инвагината определяется в виде гомогенной тени с четкими контурами. Расположение тени зависит от  анатомического типа внедрения. Равномерное заполнение толстой кишки воздухом и  проникновение его в начальный отдел подвздошной кишки позволяет исключить наличие  инвагината в этом отделе кишечника, но не снимает диагноза тонкокишечного внедрения. 
Дифференцировать инвагинацию кишечника необходимо с заболеваниями, сопровождающимися приступами боли в животе, рвотой, кровянистыми выделениями из прямой кишки, наличием опухолевидного образования в брюшной полости. 
Для дизентерии не характерно столь острое начало заболевания с приступами боли в животе и "светлыми" промежутками, что типично для инвагинации. Для дизентерии характерно наличие слизи в каловых массах с примесью комочков гноя и сгустков крови. В отличие от  этого при инвагинации из заднего прохода выделяется тёмная кровь, смешанная со слизью. Пальпируемое в брюшной полости колбасовидное образование подтверждает диагноз  инвагинации. Ректальное исследование при инвагинации кишечника позволяет определить головку инвагината, пустую ампулу прямой кишки, сниженный тонус сфинктера. В отличие от этого при дизентерии выявляют спазм анального сфинктера. В любом случае следует учитывать нередкое сочетание инфекционной патологии с инвагинацией кишечника.
Абдоминальный синдром при болезни Шейнлейна-Геноха может иметь сходные с инвагинацией проявления: внезапные приступы боли в животе, рвоту и стул с примесью крови. Для  абдоминального синдрома при болезни Шейнлейна-Геноха характерно непостоянство и  нестойкость симптомов, тогда, как при инвагинации они держаться стойко и нарастают.
У детей может быть рвота с примесью крови, что нехарактерно для инвагинации. Кишечное кровотечение при болезни Шейнлейна-Геноха бывает вместе с каловым стулом, а при инвагинации присутствует кровь со слизью.  
У старших детей инвагинацию приходиться дифференцировать с острым аппендицитом. Симптомы инвагинации кишечника у детей старшего возраста выражены обычно менее ярко, чем у грудных детей. В отличие от аппендицита при инвагинации боль в животе носит  схваткообразный характер со светлыми промежутками. Признаки непроходимости кишечника  также нехарактерны для острого аппендицита. При инвагинации кишечника живот долгое время остается мягким, в отличие от острого аппендицита, при котором напряжение мышц живота – один из основных признаков заболевания.  
При пептической язве дивертикула Меккеля кишечное кровотечение является первым и основным симптомом. В отличие от инвагинации кровотечению не предшествуют болевые  приступы, ребенок остается спокойным. Выделяемая кровь при язве дивертикула Меккеля не содержит слизи, что характерно для инвагинации кишечника. Пальпаторно не выявляется опухолевидное образование.  
Полипоз толстой кишки часто сопровождается массивным кровотечением. Однако болевой  синдром у таких детей не наблюдается, стул остается каловым с примесью алой или более  темной крови со сгустками. Выражена анемия. 
В зависимости от причины инвагинации (которая, как правило, существенно различается для разных возрастных групп) её лечение может быть консервативным или оперативным. У детей грудного возраста инвагинация в большинстве случаев разрешается при помощи консервативных мероприятий.
Показанием к экстренному хирургическому лечению является во-первых, перитонит, как  результат осложнения инвагинации в виде некроза ущемленной кишки, во-вторых, –  безуспешность консервативной дезинвагинации.
В качестве консервативного лечения следует применять метод пневматической или гидростатической дезинвагинации. В прямую кишку вводят воздух или 10 мл физ. р-ра и за счёт повышения внутрипросветного давления пытаются вытолкнуть инвагинированную подвздошную кишку обратно через Баугиниеву заслонку. Этот метод применим у детей любого возраста, но, очевидно, что его следует использовать, если инвагинация не осложнилась развитием некроза  кишки и перитонитом. Манипуляция во всех случаях выполняется под ингаляционным наркозом в операционной с  условием хорошей релаксации мышц передней брюшной стенки. Предварительно необходимо  провести пальпацию живота для обнаружение инвагината. Хирург, выполняющий  дезинвагинацию должен располагаться справа от операционного стола, помощник слева. При пневматической дезинвагинации в прямую кишку вводится ректоскоп с подсоединенным баллоном Ричардсона. Помощник  должен сжать ягодицы ребенка, обеспечив, тем самым, определенный герметизм. Хирург должен нагнетать воздух в прямую кишку  баллоном  Ричардсона,  визуально  отслеживая  продвижение воздуха по толстой кишке. Когда воздух встретит препятствие в виде головки инвагината возникнет момент некоторой асимметрии живота. При дальнейшем нагнетании  воздуха должно произойти расправление инвагината, что сопровождается характерным  толчкообразным и симметричным вздутием живота в результате проникновения воздуха в тонкую кишку. После чего хирург должен повторно пальпировать брюшную полость и убедиться в исчезновении пальпируемого инвагината. После этого процедура пневматической  дезинвагинации считается завершенной. При необходимости пневматическую дезинвагинацию следует повторить до 2-3 раз. Если инвагинация кишечника сохраняется проводится хирургическая (лапароскопическая) дезинвагинация, а при её безуспешности выполняют резекцию инвагината. 
Лечение инвагинации у взрослых только хирургическое. Объём операции зависит от длительности непроходимости, состояния кишечника и его брыжейки.
 

Хирургическое лечение механической кишечной непроходимости
После ревизии брюшной полости и установления уровня и причины кишечной непроходимости оперативное пособие сводится к последовательному решению следующего ряда задач:
  • ликвидация механического препятствия;
  • устранение (по возможности) основного заболевания, вызвавшего острую кишечную непроходимость, а также ликвидация причин рецидива непроходимости;
  • оценка жизнеспособности кишки в зоне препятствия, определение показаний к резекции изменённых отрезков кишечника и выбор наиболее оптимальных границ его резекции;
  • декомпрессивная интубация и дренирование кишечника;
  • санация и дренирование брюшной полости (при наличии перитонита);
  • ушивание раны передней брюшной стенки.
Объём операции при механической кишечной непроходимости зависит от причины и заключается в её устранении (например, рассечение спаек, резекция кишки и т. д.).

Нюансы хирургической техники
при острой спаечной обтурационной тонкокишечной непроходимости


Особую сложность представляют операции по поводу острой спаечной обтурационной тонкокишечной непроходимости. Выйти с честью из такой ситуации можно, лишь неукоснительно соблюдая тактические установки и технические приемы, разработанные за многие годы врачами, занимающимися неотложной абдоминальной хирургией.
Хирургический доступ. Несмотря на достижения лапароскопической хирургии, в большинстве случаев при острой спаечной обтурационной тонкокишечной непроходимости операцию выполняют через широкий разрез передней брюшной стенки. Оптимальным хирургическим доступом является средне-срединная лапаротомия, которую при необходимости расширяют вверх или вниз. Если больной ранее перенёс срединную лапаротомию, начать операцию целесообразно разрезом выше или ниже рубца. В любом случае окаймляющими разрезами его иссекают, часто обнаруживаемые здесь инкапсулированные лигатуры из нерассасывающего шовного материала вместе с окружающей их грануляционной тканью удаляют, а ложе обрабатывают раствором антисептика.
Париетальная брюшина в области послеоперационного рубца передней брюшной стенки всегда имеет грубые сращения с апоневрозом белой линии живота. Более того, к ней, как правило, фиксированы спайками внутренние органы. В связи с чем, брюшину вскрывают очень осторожно под визуальным контролем, приподняв её пинцетом и хорошо изолировав, поскольку растянутые петли кишок могут быть легко травмированы. Для лучшего обзора операционное поле необходимо держать сухим, а диатермией лучше не пользоваться. Достигнув даже небольшого проникновения в брюшную полость, прилежащую со стороны живота область аккуратно обследуют пальцем. Далее, приподняв брюшную стенку крючком или наложенным на край апоневроза зажимом Микулича, тупым и острым путём отделяют подпаянные к ней органы, постепенно освобождая место для рассечения апоневроза с париетальной брюшиной на всём протяжении лапаротомной раны. После вскрытия брюшной полости раздутые петли тонкой кишки, как правило, выскальзывают наружу. В связи с чем, их следует удерживать смоченными антисептиками салфетками, которые желательно фиксировать, чтобы случайно не оставить в животе.
рассечение спаек
Манипуляции при спаечной кишечной непроходимости.

Ревизия брюшной полости. Иногда причина кишечной непроходимости обнаруживается сразу, но чаще требуется ревизия брюшной полости. Прежде всего, полезно провести её пальпаторное исследование. Если оно не даёт результатов, то, не продолжая поисков наугад, следует оттеснив кишечник влево, постараться выделить и осмотреть слепую кишку. Очевидно, что при тонкокишечной непроходимости она будет спавшаяся, при толстокишечной – раздута. После определения уровня кишечной непроходимости, приступают к поиску места препятствия. Чтобы выявить спайки, непосредственно вызвавшие обтурацию тонкой кишки, необходимо провести её ревизию в оральном направлении от слепой кишки. Причинным местом будет переход спавшегося участка тонкой кишки в перераздутый.
Подобные манипуляции возможны только при умеренном вздутии кишечника и незначительном спаечном процессе. Если это не так, приходится последовательно перебирать кишечные петли, что без предварительного их опорожнения посредством назоинтестинального зонда-интубатора сделать достаточно трудно.
Техника разделения спаечных сращений. Установив место непроходимости, приступают к разделению спаек. Пересечение «рыхлых» спаек, которые чаще встречаются при ранней спаечной кишечной непроходимости, не представляет технических сложностей. Их можно разрушить пальцем, не прилагая при этом излишних усилий, приводящих к повреждению серозного покрова кишечника, или рассечь ножницами. В последнем случае используют прием «обратной работы» режущих частей инструмента. Для этого кончики сомкнутых браншей ножниц вводят между спаянными органами, после чего их разводят в стороны. Это позволяет обозначить «слой» между фиксированными петлями кишки. Обычно имеющие большую протяжённость шнуровидные спайки также рассекают ножницами.

спайки спайки
     А                                        Б 
А: спайки в животе; Б: рассечение спаек ножницами.

Наибольшие технические сложности возникают в ситуациях, когда кишечные петли на значительном протяжении интимно фиксированы друг к другу и/или к париетальной брюшине. Образующийся единый конгломерат иногда настолько плотный, что идентифицировать границу между органами практически невозможно. В таких случаях самым безопасным является отделение кишки за счет иссечения прилежащей к ней брюшины.
Для ликвидации плотных плоскостных межкишечных сращений, в месте их наименьшей выраженности создают канал в сторону задней брюшной стенки. В образовавшееся пространство вводят указательный палец правой руки и маятникообразными движениями без приложения излишних усилий разделяют спаечные сращения по задней поверхности кишечного конгломерата. Как правило, их плотность в этой области не столь значительна, за счет чего появляется шанс частично освободить расположенные здесь кишечные петли. После достижения некоторой мобильности их ротируют кпереди и в таком положении завершают рассечение спаек. Если разделить вызывающий непроходимость конгломерат кишок не представляется возможным, то при отсутствии признаков их нежизнеспособности накладывают обходной межкишечный анастомоз, в противном случае - выполняют резекцию патологически изменённого участка тонкой кишки в пределах здоровых тканей.
В процессе разделения спаек можно непреднамеренно повредить стенку кишки, чаще её перераздутой приводящей петли. В этом случае поверхностные щелевидные дефекты серозного покрова ушивать не следует, так как после опорожнения кишечника их края, как правило, сопоставляются самостоятельно. Если рана затрагивает не только серозный, но и мышечный слой, необходимо наложить серозно-мышечные швы рассасывающимся шовным материалом на атравматической игле 4/0 или 5/0. При случайном вскрытии просвета кишки для предотвращения выделения содержимого перфорированный участок тотчас тампонируют. Следует помнить, что строгое соблюдение асептики является чрезвычайно важным, поскольку находящаяся в приводящей петле микрофлора всегда высоковирулентна и в случае контаминации брюшной полости имеется реальная угроза возникновения инфекционных послеоперационных осложнений. Перед ушиванием повреждённый фрагмент кишки на всём протяжении обязательно выделяют из окружающих спаек и изолируют от брюшной полости марлевыми салфетками. Выше и ниже раны на кишку накладывают мягкие кишечные жомы, удаляют ограничивающие её тампоны, отсосом аспирируют остатки кишечного содержимого и обрабатывают зону перфорации, а также прилежащие ткани раствором антисептика. Рану ушивают в поперечном направлении двухрядным узловым швом рассасывающимся шовным материалом на атравматической игле 4/0-5/0.
После устранения непроходимости необходимо оценить жизнеспособность вовлечённого в патологический процесс участка тонкой кишки. Абсолютными признаками её некроза служат изменение окраски в тёмно-багровый или чёрный цвет, отсутствие после опорожнения тонуса, перистальтики, пульсации сосудов брыжейки и прямых артерий кишечной стенки, а также специфический гнилостный запах.
В сомнительных случаях проблемную петлю кишки погружают в брюшную полость и через 15-20 мин проверяют её жизнеспособность. В течение этого времени осуществляют гемостаз, производят назоинтестинальную интубацию и аспирируют кишечное содержимое. Более агрессивным способом является согревание сомнительного участка марлевыми тампонами, смоченными горячим физиологическим раствором. При безуспешности указанных мероприятий, кишку признают нежизнеспособной, что служит показанием к ее резекции.
Резекция некротизированной тонкой кишки. Резекция некротизированной тонкой кишки должна быть выполнена в пределах здоровых тканей так, чтобы нарушения кровообращения в месте её пересечения были минимальными. Для достижения этого и с учётом более выраженных микроциркуляторных изменений в приводящей петле, следует отступать выше места видимого некроза на 30-40 см и ниже – на 15-20 см. После резекции наиболее целесообразным является наложение межкишечных анастомозов «бок в бок» двухрядным узловым швом рассасывающимся шовным материалом на атравматической игле 4/0-5/0.
Назоинтестинальная интубация. Основными показаниями к назоинтестинальной интубации при острой спаечной кишечной непроходимости являются расширение просвета тонкой кишки более 5 см и необходимость её резекции. В установке зонда-интубатора обычно помогает находящийся в операционной врач-анестезиолог, который вводит его через нос в желудок. После этого хирург левой рукой фиксирует привратник, а правой - через его просвет проводит направляющую оливу зонда в луковицу двенадцатиперстной кишки. Далее зонд продвигают через двенадцатиперстную кишку за счет смещения его через стенку желудка. При нормальной анатомии всех отделов двенадцатиперстной кишки это удается сделать достаточно просто и быстро. В случае её значительных изгибов левой рукой оливу медленно из луковицы смещают в вертикальную часть двенадцатиперстной кишки, откуда правой рукой, расположенной под брыжейкой поперечной ободочной кишки, направляют в нижнегоризонтальную часть двенадцатиперстной кишки. Проведенный сюда зонд, как правило, легко выходит за связку Трейтца в тощую кишку. Это может не получиться из-за деформации дуоденоеюнального перехода, которую необходимо устранить. Форсированное продвижение зонда недопустимо ввиду опасности перфорации стенки кишки.
После прохождения направляющей оливы за связку Трейтца начинается наиболее легкий этап интубации - проведение зонда по тонкой кишке. Оперирующий хирург двумя руками перемещает зонд в её начальном отделе, а ассистент, расправляя кишечные петли, направляет оливу в нужном направлении до илеоцекального перехода. В это время необходимо избегать образования избыточных петель зонда в желудке, что возникает при отсутствии синхронных действий хирурга и продвигающего зонд в желудок анестезиолога. Заводить зонд в слепую кишку не следует. Разрушение губ Баугиниевой заслонки может вызвать заброс толстокишечного содержимого в тонкую кишку и колонизацию её фекальной микрофлорой.

установка зонда-интубатораинтубация тонкой кишки
А                                Б
Назогастроинтестинальная интубация кишечника.
А - во время операции; Б - схема.

Если была выполнена резекция тонкой кишки, зонд устанавливают на 30-50 см дистальнее межкишечного анастомоза.
Аспирацию кишечного содержимого осуществляют после завершения интубации. Далее необходимо проконтролировать правильность расположение зонда, поскольку наличие петель, перегибов, деформаций сделает декомпрессию неэффективной. Очень важно определить локализацию последнего бокового отверстия зонда, которое должно находиться в средней части желудка. Категорически недопустимо смещение его в пищевод, что может привести к аспирации желудочного содержимого в дыхательные пути в послеоперационном периоде. Менее опасная ошибка - оставление последнего бокового отверстия в двенадцатиперстной кишке. В этом случае у больных может возникать рвота, поскольку полость желудка оказывается недренированной. Для облегчения определения локализации последнего бокового отверстия, рядом с ним делают на зонде метку в виде колечка из узкой полоски пластыря, пальпация которой позволяет точно ориентироваться в правильности его расположения.
В конце операции осуществляют контроль гемостаза, удаляют патологическое содержимое из брюшной полости, которая дренируется через контрапертуру трубкой, установленной в полости малого таза. Лапаротомную рану ушивают послойно наглухо с использованием рассасывающегося шовного материала.

Основные принципы выполнения оперативных вмешательств
при механической кишечной непроходимости разной этиологии

При желчнокаменной тонкокишечной непроходимости для её устранения проводят энтеротомию с извлечением камня.

желчнокаменная непроходимость
Обзорная рентгенограмма брюшной полости при желчнокаменной непроходимости.
Триада Риглера: наличие воздуха в желчном пузыре (чёрная стрелка),
желчный камень в подвздошной кишке (белая стрелка)
и признаки кишечной непроходимости (звездочка).


Энтеротомию следует выполнять на участке кишки, который не имеет выраженных изменений стенок, - дистальнее препятствия. Разрез и ушивание энтеротомной раны должны проводиться в поперечном направлении. От раздавливания и низведения желчных камней в слепую кишку целесообразно воздержаться ввиду травматичности такой манипуляции. Не рекомендуются разделение конгломерата и одновременные вмешательства на желчном пузыре и области свища между желчным пузырём и кишечником.

ЖКБ непроходимость
А: энтеротомия и извлечение желчного камня из тонкой кишки;
Б: извлеченный желчный камень длиной 5,5 см.


При обтурации тонкой кишки безоарами проводят их фрагментацию и низведение в слепую кишку. При невозможности - энтеротомию с извлечением этих образований.
Устранять заворот сигмовидной кишки следует положив правую руку плашмя на одну сторону клубка перекрученных петель, а левую на другую, и, осторожно поворачивая всю кишку справа налево. В конце операции следует ввести в задний проход насколько возможно высоко (на 30-40 см) толстую трубку, что позволит освободить кишку от газов и легко вправить её в брюшную полость. Затем выполняют мезосигмопексию. При некрозе сигмовидной кишки производят её резекцию по типу Гартмана с выведением одноствольной сигмостомы.
При завороте слепой кишки без некроза выполняют:
• резекцию кишки с анастомозом;
• деторзию заворота и цекопексию.
При некрозе слепой кишки выполняют:
• резекцию с илеотрансверзоанастомозом;
• резекцию с илео- и трансверзостомией при выраженной непроходимости или перитоните.
При завороте поперечно-ободочной кишки независимо от наличия или отсутствия некроза целесообразно провести её сегментарную резекцию.
При завороте тонкой кишки без некроза выполняют деторзию заворота, пликацию брыжейки тонкой кишки на длинном назоинтестинальном зонде. При завороте с некрозом тонкой кишки производят её резекцию с наложением анастомоза "бок в бок".
При узлообразовании кишечника расправление узла производят в исключительных случаях - при небольшом сроке от начала заболевания (до 4 ч) и явной жизнеспособности органа. В противном случае подобное вмешательство опасно разрывом кишки, а также резорбцией токсичного кишечного содержимого с развитием выраженного эндотоксикоза, что сопровождается более высокой летальностью, чем после резекции конгломерата. В этой связи в подавляющем большинстве случаев выполняют резекцию кишки. Её начинают с пережатия сосудов, питающих конгломерат, и только после этого пересекают приводящую и отводящую петли кишки.
При инвагинации, как только внедрившийся участок кишки обнаружен, необходимо приступить к дезинвагинации.
дезинвагинацияКишечную петлю в месте инвагинации осторожно по всей окружности сдавливают и не спеша, без насилия выдавливают её из шейки; сразу этого не произойдёт, нужно подождать, когда она спадётся и тогда можно пальцами придать ей любую форму. Во время выдавливания другой конец слегка подтягивают, но только после того как кишечная стенка расправится и шейка, расширяясь, поднимается кверху. Затем остаётся только закончить начатое и придать кишке нормальное положение.
Если дезинвагинация не удалась выполняют резекцию вовлечённого в процесс кишечника.   

инвагинация
Подвздошно-толстокишечная инвагинация.
А - вид во время операции; Б - препарат резецированного фрагмента проксимальной части слепой кишки
и
дистальных 30 см подвздошной кишки (стрелка указывает на инвагинат).

У детей инвагинация может быть устранена лапароскопическим путём. При этом хирург должен располагаться слева от операционного стола. Диаметр используемых троакаров зависит от возраста ребенка. Предпочтение следует отдавать  минилапароскопическому  инструментарию. Введение первого троакара следует проводить "открыто" трансумбиликально. После формирования пневмоперитонеума и установки двух рабочих троакаров необходимо  выполнить первичную ревизию органов брюшной полости. Задачи первичной ревизии: обнаружение инвагината, оценка вида кишечной инвагинации, оценка выпота в брюшной  полости, определение выраженности циркуляторных изменений в ущемленной кишке, выявление сопутствующей патологии органов брюшной полости. После обнаружения инвагината необходимо выполнить дезинвагинацию. Для этого необходимо одним из зажимов захватить наружный  цилиндр инвагината, вторым зажимом – внедренную кишку за противобрыжеечный край и  осторожно осуществить тракцию внедренной кишки по продолной оси в противоположных  направлениях. После дезинвагинации необходимо выполнть повторную ревизию брюшной полости. Задачи повторной ревизии: оценить степень циркуляторные нарушения в кишечных  петлях, находившихся в инвагинате, оценить полноту дезинвагинации, осмотр подвздошной  кишки для поиска тонкокишечной инвагинации, выявление анатомических предпосылок для инвагинации кишечника, эвакуация выпота из брюшной полости. Если интраоперационная ситуация не позволяет закончить вмешательство лапароскопически необходимо перейти к открытой операции.  

инвагинация лапароскопия
Устранение подвздошно-толстокишечной инвагинации
у 5-месячного ребёнка лапароскопическим путём.
A - размещение троакаров (5 и 10 мм); B - подвздошно-толстокишечная инвагинация;
C - устранение инвагинации аккуратным надавливанием на поперечную ободочную кишку и одновременным потягиванием подвздошной кишки; D - аппендэктомия. 

При всех видах механической кишечной непроходимости в случае некроза кишки выполняют её резекцию. Вопрос о жизнеспособности кишки в ряде случаев может оказаться непростым. Тем не менее, резко раздутая (а после опорожнения дряблая), потерявшая тонус, цианотичная, тёмно багрового или чёрного цвета, неперистальтирующая, с тусклой серозной оболочкой и непульсирующими сосудами брыжейки кишка считается нежизнеспособной. 

нежизнеспособная кишка
Нежизнеспособная тонкая кишка (стрелка).

Резекция кишки производится в пределах несомненно здоровых тканей. Обычно приводящий конец кишки отсекают в 30-40 см от определяемой визуально границы некроза, а отводящий – в 15-20 см. Такой объём резекции связан с протяжённостью некроза слизистой оболочки, которая примерно на это расстояние превышает омертвение серозы. С практической точки зрения следует отметить, что из-за существенной растяжимости тонкой кишки точно определить указанные размеры нельзя и при выполнении резекции следует обязательно визуально оценивать состояние слизистой оболочки остающихся участков (цвет, кровоточивость и т.д.).   
При резекции небольшого участка кишки брыжейку пересекают вблизи кишечной стенки в области прохождения прямых сосудов, идущих от аркад, расположенных наиболее близко к кишке. Для этого кровоостанавливающими зажимами захватывают небольшие участки брыжейки, которые рассекают и перевязывают. При более обширной резекции кишки брыжейку иссекают в виде клина, уделяя особое внимание сохранению кровоснабжения остающихся участков кишки.
Петлю кишки расправляют и осторожно рассекают в виде клина брюшинный листок брыжейки. Затем его тупо сдвигают в стороны от разреза и отпрепаровывают сосуды, которые изолированно перевязывают и пересекают между кровоостанавливающими зажимами. Предварительно временным пережатием сосудов убеждаются в сохранении кровоснабжения остающихся отделов кишки.
После перевязки сосудов брыжейку пересекают и на резецируемый участок кишки накладывают зажимы, а остающийся участок прошивают аппаратом УКЛ (УО). Кишку пересекают между наложенными зажимом и скрепочными швами с одной и другой стороны от резецируемого участка и препарат удаляют. Скрепочные швы погружают в кисетный и Z-образный шов. Соединение концов кишки в ургентной хирургии лучше произвести "бок в бок". После наложения анастомоза необходимо ушить образовавшееся окно брыжейки тонкой кишки.
Рассечение брюшины брыжейки тонкой кишкиРезекция тонкой кишки2резекция тонкой кишки   
Резекция тонкой кишки с анастомозом "бок в бок" (схема).

а рассечение брюшины брыжейки б пересечение брыжейки в прошивание сосудов брыжейки
г перевязка сосудов брыжейки д аппарат УО-40 е аппарат УО-40
ж кисет з межкишечный анастомоз и ушивание окна в брыжейке   
Резекция тонкой кишки.
а - рассечение брюшинного листка брыжейки; б - пересечение брыжейки на зажимах; в - прошивание сосудов брыжейки; г - перевязка сосудов брыжейки; д, е - пересечение тонкой кишки при помощи сшивающего аппарата УО-40; ж - наложение кисетного шва для погружения скрепочного; з - наложение межкишечного анастомоза "бок в бок"; и - ушивание окна брыжейки тонкой кишки. 


Основные принципы выполнения оперативных вмешательств
при толстокишечной непроходимости опухолевой этиологии
При неэффективности консервативных мероприятий, нарастании явлений толстокишечной непроходимости объем хирургического вмешательства может быть минимизирован до дренирующей операции. Формирование проксимальной разгрузочной илео- или колостомы показано при отсутствии таких осложнений со стороны первичной опухоли, как перфорация, абсцедирование, кровотечение, а также диастатических разрывов и перфорации отделов ободочной кишки, расположенных проксимальнее злокачественного новообразования.
Наличие таких осложнений диктует крайнюю необходимость выполнения первичной резекции без формирования анастомоза. После стабилизации состояния больного, в условиях специализированного стационара показано выполнение резекции толстой кишки с соблюдением онкологических принципов. При этом возможно сохранение ранее наложенной стомы в качестве превентивной для протекции сформированного межкишечного анастомоза. 
Отсутствие эффекта от предоперационного консервативного лечения у больных с толстокишечной непроходимостью и другими жизненно опасными осложнениями со стороны опухоли, такими, как перфорация, абсцедирование, кровотечение, диастатические разрывы и перфорация проксимально расположенных отделов является показанием к резекции толстой кишки. При расположении новообразований в правых отделах ободочной кишки выполняется операция по типу Лахея, при левосторонней локализации – резекция толстой кишки по типу операции Гартмана. При наличии ишемических и некротических изменений кишечной стенки, перфорации проксимально расположенных отделов ободочной кишки, должна производиться ее резекция в пределах неизмененных тканей.
При эффективности консервативного лечения, стабилизации состояния пациента и наличии  благоприятных условий (резектабельность, отсутствие диссеминированных форм канцероматоза, перитонита, переносимость операции, наличие хирурга соответствующей квалификации) следует стремиться к удалению первичной опухоли, независимо от стадии заболевания. 
Принципы абластичности:
  • одномоментное удаление лимфатических коллекторов резецированных отделов толстой кишки, путём высокой перевязки соответствующих сосудов;
  • расширенная лимфаденэктомия с удалением парааортальных лимфоузлов при их метастатическом поражении;
  • при местном распространении опухоли на прилежащие органы и ткани - их резекция или удаление.
Метастазы в печень и легкие не являются противопоказанием к удалению первичной опухоли.  Однако, наличие кишечной непроходимости является абслоютным противопоказанием к одномоментным резекциям печени или лёгких. Вторым этапом лечение этих пациентов должно быть продолжено в специализированных хирургических стационарах.
Предпочтительным способом завершения резекции толстой кишки, предпринимаемой по поводу опухолевой непроходимости, является формирование одноствольной коло- или илеостомы. Одномоментное восстановление кишечной трубки допустимо лишь при формировании тонко-толстокишечного анастомоза в условиях специализированного стационара при наличии хирурга соответствующей квалификации и особо благоприятной клинической ситуации, когда кишечная  непроходимость расценивается как компенсированная.
Завершить операцию целесообразно дренированием брюшной полости. Наиболее частый вариант дренирования брюшной полости после резекции толстой кишки по поводу острой кишечной непроходимости - малый таз, правое подпеченочное пространство, левый латеральный канал.
При радикальных операциях для гистологического исследования в обязательном порядке отправляется весь препарат, удалённый во время хирургического вмешательства.
При паллиативных резекциях необходима биопсия остающихся метастазов из доступных очагов с учетом риска осложнений (кровотечение, травма органа и сосудов), для верификации очаговых изменений и стадирования заболевания.


Типовые объемы оперативных вмешательств
при толстокишечной непроходимости опухолевой этиологии

Толстокишечная непроходимость без инфекционно-воспалительных осложнений
Опухоли правых отделов ободочной кишки (слепая, восходящая ободочная кишка, правый изгиб, проксимальная часть поперечной ободочной кишки):
  • петлевая илеостомия лапароскопическим или минилапаротомным доступом;
  • правосторонняя гемиколэктомия по типу Лахея;
  • при наличии отдаленных метастазов и (или) тяжелом состоянии пациента - петлевая стома (илеостома, асцендостома, трансверзостома).
правосторонняя гемиколэктомия
Схема правосторонней гемиколэктомии.

Опухоль средней трети поперечной ободочной кишки
:
  • лапароскопическая петлевая илеостомия;
  • расширенная правосторонняя гемиколэктомия по типу операции Лахея;
  • резекция поперечной ободочной кишки по типу операции Гартмана;
  • субтотальная резекция ободочной кишки (по типу операции Гартмана или с формированием илеосигмоидного анастомоза опытным колоректальным хирургом);
  • при наличии отдаленных метастазов и (или) тяжелом состоянии пациента - петлевая стома (илеостома, асцендостома).
резекция поперечной ободочной кишки
Схема резекции поперечной ободочной кишки.

Опухоли левых отделов ободочной кишки
(дистальная часть поперечной ободочной кишки, левый изгиб, нисходящая ободочная кишка, сигмовидная кишка):
  • петлевая колостомия (сигмостомия, десцендостомия, трансверзостомия - в зависимости от локализации опухоли) – предпочтительно лапароскопическая или из минилапаротомного доступа;
  • левосторонняя гемиколэктомия по типу операции Гартмана;
  • резекция левых отделов ободочной кишки по типу операции Гартмана;
  • резекция сигмовидной кишки по типу операции Гартмана;
  • при наличии неудалимых отдаленных метастазов в качестве окончательной операции, наряду со стентированием, может выполняется петлевая колостомия.
  левосторонняя гемиколэктомия арезекция сигмовидной кишки б
а - схема левосторонней гемиколэктомии; б - схема дистальной резекции сигмовидной кишки.

Субтотальная резекция ободочной кишки может быть рекомендована
:
  • в общей сети стационаров - в исключительных случаях при выраженных ишемических и некротических изменениях обширных отделов ободочной кишки;
  • в условиях специализированного стационара при соответствующем анестезиологическом обеспечении, наличии квалифицированных хирургов и отсутствии технических трудностей - для сокращения этапов хирургического лечения, а также при синхронных опухолях ободочной кишки.
субтотальная колэктомия
Схема субтотальной колэктомии: а - проксимальная; б - дистальная.

Тактика лечения осложненного рака прямой кишки зависит, прежде всего, от уровня лечебного учреждения и квалификации оперирующих хирургов.
В хирургических стационарах общего профиля при локализации опухоли в прямой кишке рекомендуется формирование проксимальной сигмостомы. В дальнейшем после стабилизации состояния больного необходимо его направление в специализированное учреждение. В онкологических и колопроктологических специализированных клиниках при раке прямой кишки, осложненном кишечной непроходимостью, в зависимости от расположения опухоли в прямой кишке возможно выполнение различных оперативных вмешательств: операции Гартмана, брюшно-анальной резекции прямой кишки с формированием одноствольной колостомы, брюшно-промежностной экстирпации прямой кишки. При купировании явлений кишечной непроходимости возможно формирование межкишечных анастомозов с выведением превентивной проксимальной стомы.

Толстокишечная непроходимость c инфекционно-воспалительными осложнениями
Основным принципом лечения данной категории больных является ликвидация непроходимости, санация и дренирование очагов гнойного воспаления.
Абсцесс брыжейки
При локализации абсцесса в брыжейке ободочной кишки у больных с кишечной непроходимостью и резектабельной опухолью выполняется резекция ободочной кишки с абсцессом. При локализации опухоли в правых отделах выполняется правосторонняя гемиколэктомия по типу операции Лахея. При локализации опухоли в средней трети поперечной ободочной кишки производится её резекция по типу операции Гартмана. При локализации опухоли в левых отделах и возможности удаления абсцесса без его вскрытия выполняется резекция ободочной кишки по типу Гартмана.
При отсутствии возможности удаления опухоли и (или) наличии отдаленных метастазов выполняется пункция полости абсцесса, или его вскрытие и дренирование (желательно экстраперитонеально), затем формирование петлевой стомы проксимальнее основного процесса.
Абсцесс забрюшинного пространства
Наличие абсцесса забрюшинного пространства в сочетании с кишечной непроходимостью опухолевого генеза ставит перед хирургами две задачи: вскрытие и дренирование абсцесса (предпочтительно пункционным методом) и ликвидация непроходимости.
При локализации опухоли в правых отделах ободочной кишки производится пункция абсцесса или его вскрытие и дренирование. При резектабельных новообразованиях выполняется правосторонняя гемиколэктомия по типу операции Лахея. При невозможности удаления опухоли и (или) наличии отдаленных метастазов производится экстраперитонеальное вскрытие и дренирование абсцесса с формированием проксимальной стомы. При локализации опухоли в средней трети поперечной ободочной кишки производится её резекция по типу операции Гартмана. При локализации опухоли в левых отделах ободочной кишки выполняется пункция или вскрытие и дренирование абсцесса, по возможности, экстраперитонеально, резекция по типу Гартмана. При невозможности удаления опухоли и / или наличии отдаленных метастазов производится экстраперитонеально вскрытие и дренирование абсцесса с наложением петлевой колостомы.
При локализации опухоли в прямой кишке выполняют пункцию абсцесса или его экстраперитонеальное вскрытие и дренирование с формированием проксимальной петлевой колостомы.
Перитонит
Кишечная непроходимость в сочетании с перитонитом является абсолютным показанием к экстренному хирургическому лечению. В такой ситуации необходимо проведение предоперационной подготовки в максимально допустимом объёме в сжатые сроки. Основной задачей лечения этой категории больных является ликвидация кишечной непроходимости и устранение причины перитонита, санация и дренирование брюшной полости.
Основными причинами развития перитонита при кишечной непроходимости опухолевого генеза являются перфорация опухоли, перфорация супрастенотического отдела толстой кишки, вскрытие абсцесса брыжейки или забрюшинного пространства в свободную брюшную полость.
При перфорации опухоли наиболее предпочтительной является резекция толстой кишки с формированием проксимальной одноствольной стомы, санация и дренирование брюшной полости. При невозможности удаления первичной опухоли необходимо выведение проксимальной стомы и дренирование брюшной полости.
При перфорации супрастенотического отдела толстой кишки оптимальным методом хирургического лечения является резекция кишки с опухолью и местом перфорации. При этом необходимо формирование проксимальной одноствольной стомы. При неудалимой первичной опухоли возможно выведение места перфорации кишки в качестве стомы, санация и дренирование брюшной полости.
В случае вскрытия абсцесса брыжейки кишки или забрюшинного пространства при резектабельной опухоли следует выполнить её удаление, произвести санацию и дренирование брюшной полости, операцию завершить формированием одноствольной стомы. При невозможности удаления первичной опухоли необходимо провести санацию и дренирование брюшной полости и вывести проксимальную петлевую илео или колостому.
Комплексное лечение перитонита, при наличии явлений тяжелого абдоминального сепсиса и септического шока, должно проводиться по стандартам лечения этих осложнений.

Кишечная непроходимость при раке толстой кишки с канцероматозом брюшины
У больных раком ободочной кишки с канцероматозом брюшины явления кишечной непроходимости могут быть обусловлены не только первичной опухолью, но и имплантационными метастазами, которые деформируют и перекрывают просвет кишечника на том или ином уровне. Выбор хирургической тактики у этих пациентов представляет значительные трудности.
В хирургическом отделении общего профиля оперативное лечение этой категории пациентов носит исключительно симптоматический характер. В зависимости от локализации в тонкой кишке канцероматозного узла, вызвавшего кишечную непроходимость, могут быть выполнены следующие операции: проксимальная илеостомия (при расположении препятствия в дистальных отделах подвздошной кишки); формирование обходного энтеро-энтеро-анастомоза (при высоком уровне непроходимости).
В специализированном стационаре, при наличии хирургов-онкологов высокой квалификации, обладающих опытом выполнения мультивисцеральных резекций и перитонэктомии при колоректальном раке с канцероматозом брюшины, объем операции зависит от различных факторов:
  • Распространенность канцероматоза по брюшине.
  • Локализация и степень местного распространения первичной опухоли.
  • Наличие других отдаленных метастазов и их распространенность.
  • Выраженность явлений кишечной непроходимости.
  • Осложнения со стороны первичной опухоли (перифокальное воспаление, абсцедирование).
  • Тяжесть состояния больного и выраженность сопутствующих заболеваний.
В зависимости от вышеперечисленных показателей, объем хирургического пособия может варьировать от симптоматических операций до выполнения обширных циторедуктивных комбинированных мультивисцеральных резекций, включающих перитонэктомию, оментэктомию, в сочетании с проведение интраоперационной внутрибрюшной химиотерапией. При данном типе операций производится удаление первичной опухоли толстой кишки, всех, по возможности, имплантационных метастазов, а хирургическое лечение дополняется внутрибрюшной химиотерапией для воздействия на свободные опухолевые комплексы. В настоящее время такая лечебная тактика является единственным методом, позволяющим увеличить продолжительность жизни этих больных и надеяться на их выздоровление.

Дифференцированный подход к выбору объема и характера оперативного вмешательства
при толстокишечной непроходимости опухолевой этиологии
Мнения хирургов о выборе метода и объема оперативного вмешательства у больных с толстокишечной непроходимостью опухолевой этиологии расходятся. Дискуссии по этому вопросу не утихают уже более ста лет.
В этом аспекте интерес представляет обсуждение данной проблемы на CXLIII заседании Московского Хирургического Общества (21 апреля 1893 г.), опубликованного в еженедельной газете "Врачъ" (1893 г., стр. 499) Р. Жирмунским.
Д-р И.М. Чупров сообщил "о двух случаях иссечения слепой кишки", произведенных в клинике проф. Н.Б. Склифосовского: 1) Больной, 28 л., жалуется на боль в животе и на опухоль в правой подвздошной области. Больной малокровен, исхудал и слаб. На уровне передневерхней ости подвздошной кости покровы живота слегка приподняты яйце­видной опухолью, движущейся при дыхании при ощупывании она оказывается с крымское яблоко, плотна и бугровата (бугры с вишневую косточку). Опухоль удается сместить вниз почти до Poupart'oвой связки, а вверх почти до края ребер; вправо и влево опухоль менее подвижна и не доходит до средней линии сантиметра на 11/2. При ощупывании она болезненна. Над внутренним и нижним краями барабанный звук, а над верхне- и нижненаружными притупленный, на всем остальном пространстве чистый барабанный. Микроскопическое исследование каловых масс показало мышечные волокна, несколько красных, кровяных и гнойных клеточек. Расстройства в отправлениях кишечника появились лет с 18-и (запоры сменялись поносами); на 23-м году был кровавый понос, продолжавшийся недели 2; на 25-м впервые стали появляться беспричинные боли в правой подвздошной области; постепенно боли учащались и в последний год бывали почти ежедневно. Особенно они усиливались, когда не было испражнений. Испражнения имели вид столбиков, в мизинец. Сделано предположение о злокачественном новообразовании в слепой кишке. 11/III 1893 г.: операция. Разрез параллельно Роupart'овой связке, над самой опухолью. После вскрытия брюшины об­наружилась слепая кишка, увеличенная, с блестящею поверхностью; у верхней и нижней границ опухоли под кишку подведены шелковые держалки; кишка отделена от брыжейки, и вся пораженная часть иссечена; концы отрезков кишки зашиты наглухо, как слепые мешки. Затем по оси кишки, как толстой, так и тонкой, сбоку были про­ведены линейные разрезы, отступя сантиметра на 11/2 от зашитых концов, длиною в 3-4 см.; образованные отверстия, приложенные одно к другому, были сшиты 3 ярусным швом. Струнный шов на брюшину; скорняжный шел­ковый на апонёйроз и кожу. Безгнилостная повязка. Темпе­ратура все время после операции нормальна. В верхнем и нижнем отделах раны получилось нагноение; на остальном же пространстве первое натяжение. Через месяц после операции вся рана зажила. Аппетит больного хорош; испражнения правильны, через день. Болей нигде нет. Удаленная часть слепой кишки была кольцеобразно пораже­на новообразованием. Bauhini'ева заслонка плотна и бугровата; просвет кишки пропускает мизинец. Червеобразный отросток не тронут. Удаленная часть кишки длиною в 8 см. Микроскопическое иcследование показало, что новообразование было раковое (aclenocarcinoma).
2) Врач, 43 л., худ и бледен, жалуется на опухоль в правой подвздошной области и на боли, бывающие в этой области после езды, погрешностей в диете, а иногда и без видимых причин. В правой подвздошной области прощупывается плотная бугристая опухоль, длиною около 11 см., с поперечником сантиметров в 6. Положение опухоли - несколько косвенное, снизу вверх и кнаружи. От верхнего конца опухоли, составляя как бы ее продолжение, идет плотный, толщиною в палец, тяж, который можно проследить на 3-4 см.; далее очертание его теряется. С наружной стороны опухоли, на 2 см. ниже передне-верхней ости подвздошной кости, прощупывается отдельный яйцевидный узел, с грецкий орех, плотный, болезненный при давлении, подвижный и, по-видимому, не связанный с остальною опухолью. Сама опухоль несколько подвижна сверху вниз, менее справа налево; с наружной стороны,  по-видимому, связана с подвздошной впадиной. При надавливании постоянно слышится шум урчания. Над опухолью притупленный барабанный звук. В прямой кишке, на передней стенке, на 8 см. от наружного отверстия, прощупываются неровности в виде поперечных перемычек. В верхушках легких удлиненный выдох. Отец и мать больного умерли от чахотки. На 31 году больной заметил однажды у себя припухлость в подвздошной области и боли в ней; через неделю все прошло. С 1891 г. стали часто появляться вздутие живота, урчание и боли в области слепой кишки. В 1892 г. опять появились припухлость и боли; последние вскоре стихли под влиянием  лечения; припухлость же нарастала до последнего времени. По временам обострялись боли и являлась лихорадка. Узел в брюшной стенке явился недавно. Предположено злокачественное новообразование в слепой кишке, давшее перенос в брюшную стенку. 14/IV 1893 г.: операция. Разрез, как и в первом случае. Внутренняя косая мышца оказалась  пропитанною; на месте узелка находился темно-серый распад; отсюда шел тяж к слепой кишке. Стенки последней оказались оплотневшими. Разорваны сращения с соседними тканями (мочевым пузырем); пораженная  часть отделена от брыжейки и иссечена. Толстая кишка зашита наглухо; затем в ней сделано отверстие (как и в первом случае), к которому прилажена своим поперечным разрезом подвздошная кишка. Швы. Йодоформная повязка. Иссеченная слепая кишка была сужена - не пропускала мизинца; на слизистой оболочке нарушение целости.  Червеобразный отросток припаян к слепой кишке. Под микроскопом найден был бугорок - гигантские клетки с разросшеюся фиброзною соединительной тканью. В ране получилось нагноение с каловым запахом. Приведя затем литературные данные о новообразованиях слепой кишки, докладчик пришел к заключению, что можно указать на 3 признака, пригодные для распознавания: 1) подвижность опухоли, 2) тупой барабанный звук над опухолью и 3) расстройства отправлений кишечника. Что же касается до техники, то докладчик высказывает, что наиболее удобный способ - зашить отрезок толстой кишки наглухо и, сделав в нем отверстие, сбоку вшивать отрезок тонкой.
Проф. А.А. Бобров спросил, какое преимущество имеет способ операции, употребленный в первом случае перед употребленным во втором.
Проф. Н.В. Склифосовский на это ответил, что при удалении злокачественных новообразований он старается не подвергать раздражению ближайшее место; поэтому сшивает дальше. Относительно же второго случая профессор заметил, что он дает указание для отличительного распознавания между бугорчатым поражением и злокачественным новообразованием: в первом случае поражение как бы расплывается, получаются сращения с соседними тканями и вследствие этого малая подвижность; при раковых же новообразованиях сывороточная оболочка кишки не затрагивается, сращений нет и подвижность опухоли весьма значительна.

В настоящее время некоторые авторы предпочитают у больных с толстокишечной непроходимостью опухолевой этиологии её консервативное разрешение, а операцию выполняют в отсроченном порядке при более благоприятных условиях с меньшим риском. По мнению этих авторов, отсроченные операции после консервативного разрешения непроходимости позволяют значительно увеличить число радикальных операций и снизить летальность. Другие хирурги, учитывая тяжесть состояния большинства больных, обусловленную интоксикацией, вызванной опухолевым процессом и кишечной непроходимостью, опасность возникновения грозных осложнений после радикальных и первично-восстановительных операций (несостоятельность швов кишечного анастомоза, перитонит и т. п.), считают целесообразным выполнение паллиативных вмешательств на высоте острой обтурании ободочной кишки, мотивируя их объем необходимостью спасения жизни больного. Эти хирурги предлагают много (двух, трёх)- этапные операции. Хирургическое лечение начинают с формирования декомпрессионных колостом, а опухоль рекомендуют удалять после улучшения состояния больного и соответствующей подготовки. Сейчас большинство хирургов отдают предпочтение выполнению двухэтапных первично-радикальных операций, предусматривающих ликвидацию кишечной непроходимости с одномоментным радикальным удалением опухоли без первичного восстановления кишечной непрерывности. Эти авторы, учитывая опасность оставления опухоли (прогрессирование ракового процесса, метастазирование. нарастание интоксикации и т. п.), рекомендуют производить резекцию сегмента кишки вместе с опухолью и наложение разгрузочной колостомы на первом этапе лечения, восстановление кишечной непрерывности - на втором.
Также существует тенденция расширения показаний к выполнению радикальных и первично-восстановительных операций - одномоментной резекции опухоли и наложению межкишечного анастомоза на высоте острой обтурации ободочной кишки. Такая разноречивость, порой и противоречивость высказываний хирургов относительно объема оперативного вмешательства обусловлена локализацией опухоли и характером ее роста, стадией заболевания, наличием осложнений (местное распространение злокачественного процесса, перитонит и т. п.), общим состоянием, возрастом больного и другими факторами.
Локализация опухоли в том или ином сегменте ободочной кишки диктует необходимость дифференцированного выбора объема и характера операции как в тактическом, так и в техническом отношении. Вопрос выбора оперативного лечения при правосторонней локализации обтурируюшей опухоли в настоящее время считается практически решенным. В таких ситуациях при наличии резектабельной опухоли большинство хирургов являются сторонниками первично-радикальной операции - правосторонней гемиколэктомии, которая предусматривает одномоментное устранение кишечной непроходимости, резекцию кишки вместе с опухолью и восстановление кишечной непрерывности путем наложения илеогрансверзоанастомоза. По мнению ряда хирургов, при правосторонней локализации опухоли гемиколэктомия служит операцией выбора.

Гемиколэктомия
Правосторонняя гемиколэктомия. Пересечение подвздошной кишки.

Правосторонняя гемиколэктомия 2
Правосторонняя гемиколэктомия. Анастомоз по типу "бок в бок" между подвздошной
и поперечной ободочной кишкой.


Для выполнения правосторонней гемиколэктомии у больных с обтурационной непроходимостью непременным условием является наличие резектабельной опухоли и отсутствие перитонита, в противном случае такая операция сопряжена с большим риском развития несостоятельности швов анастомоза, поэтому некоторые авторы при правосторонней локализации обтурирующей опухоли все еще рекомендуют применять многоэтапные вмешательства в различных модификациях. В качестве первого этапа выполняют декомпрессионную операцию, которой может быть наложение цеко(илео)стомы или обходного анастомоза, а вторым этапом — правостороннюю гемиколэктомию. Р.Т. Панченков и соавт. считают, что правосторонняя гемиколэктомия у этих больных оправлана лишь при отсутствии у них тяжелых сопутствующих заболеваний. Другие хирурги при тяжелом общем состоянии больного, наличии перитонита, при персрастянутых петлях тонкой кишки считают целесообразным выполнение операции в два этапа: сначала гемиколэктомия с терминальной илеостомией, затем ликвидация илеостомы с наложением илеогрансверзоанастомоза. Некоторые авторы рекомендуют операцию Лахея: выведение обоих концов кишки по типу двуствольной илеоколостомы, затем формирование впутрибрюшинного иивагинационного илеотрансверзоанастомоза конец в конец. По мнению ряда авторов, у крайне тяжелобольных с перерастянутой газом и жидким содержимым тонкой кишкой на первом этапе целесообразно формирование илеостомы. При поражении правой половины ободочной кишки с дистальной локализацией опухоли, а также при невозможности выполнения радикального оперативного вмешательства на первом этапе рекомендуют наложение плоской цекостомы.
Выбор рациональной хирургической тактики является сложным и дискутабельным в экстренной хирургии осложненного рака левой половины ободочной кишки. До настоящего времени среди хирургов нет единого мнения о хирургической тактике при раке левой половины ободочной кишки, осложненном непроходимостью. По-видимому, такое положение обусловлено большими возможностями для выбора. Диапазон оперативных вмешательств при обтурирующей опухоли данной локализации довольно широк. Применяются первичные радикальные вмешательства с одновременным восстановлением кишечной проходимости:
  • первичные радикальные операции без формирования анастомоза, с выведением одноствольной проксимальной колостомы и ушиванием дистального сегмента;
  • первичные радикальные операции без формирования анастомоза и выведением двуствольной колостомы;
  • первичные радикальные операции с формированием анастомоза и наложением проксимальной коло- или цекостомы;
  • многоэтапные радикальные операции с предварительным формированием коло- или цекостомы;
  • паллиативные резекции ободочной кишки;
  • симптоматические операции.
Продолжающаяся на протяжении многих десятилетий дискуссия относительно выбора метода операции при левосторонней локализации обтурирующей опухоли далека от завершения. Анализ литературы свидетельствует о том, что в последнее время заметна тенденция к большему радикализму и в ряде наблюдений к отказу от паллиативных и многоэтапных операций у больных с обтурационной непроходимостью при опухолевом поражении левой половины ободочной кишки. Подчеркивается целесообразность расширения показаний к одномоментным радикальным и первично-восстановительным оперативным вмешательствам при этом виде кишечной непроходимости.
Однако ряд хирургов при стенозирующей опухоли левой половины ободочной кишки, учитывая низкую послеоперационную летальность, считают целесообразным выполнение многоэтапных оперативных вмешательств, в первую очередь наложение декомпрессиоиных цеко- или колостом с последующим удалением опухоли и восстановлением естественного кишечного пассажа. Такой тактики придерживаются у больных с повышенным операционным риском, обусловленным тяжелым состоянием, выраженной интоксикацией, наличием декомпенсированных сопутствующих заболеваний, в пожилом и старческом возрасте.  
Суждения о показаниях к декомпрессионным вмешательствам также противоречивы. Одни хирурги считают, что цекостома, наложенная на высоте острой непроходимости, не всегда обеспечивает адекватную декомпрессию желудочно-кишечного тракта, поэтому ее применение нецелесообразно. Другие полагают, что цекостомия является достаточно эффективным вмешательством при острой кишечной непроходимости. Основной недостаток многоэтапных операций - оставление в брюшной полости опухоли, которая представляет собой потенциальный источник интоксикации, серьезных осложнений и удлиняет сроки лечения. Сторонники трехэтапной операции подчеркивают, что наложение проксимальной декомпрессионной колостомы в качестве первого этапа вмешательства относительно легко выполнимо и менее травматично. Эти мотивы служат по сути дела единственным и далеко не всегда обоснованным оправданием для ее выполнения. Как показали многочисленные исследования, расчленение операции на несколько этапов при левосторонней локализации обтурируюшей опухоли приводит не только к ближайшим неудовлетворительным результатам, но и существенно ухудшает отдаленные результаты лечения. Нередко цекостома в послеоперационном периоде не обеспечивает адекватном декомпрессии проксимальных отделов желудочно кишечного тракта, а значит не выполняет функцию, ради которой она сделана. Кроме того, многоэтапные операции чаще сопровождаются большим числом гнойно-септических осложнений, поэтому последующие этапы операции задерживаются на неопределенный срок, что в свою очередь приводит к дальнейшей генерализации опухолевого процесса, развитию вторичных осложнений, нарастанию интоксикации, нередко опухоль становится неоперабельной. Следует добавить, что восстановительные операции на ободочной кишке более рискованны, технически сложны и трудно выполнимы. Нередко в тех случаях, когда по онкологическим соображениям выполнение второго этапа операции представляется возможным, у хирурга возникают трудности в определении показаний к повторному вмешательству. После второго и заключительного этапов операции еще больше возрастает риск послеоперационных осложнений, увеличивается показатель летальности. Лишь 30 % больных имеют шансы пережить все три этапа операции. Большинство больных, оперированных многоэтапно, умирают в сроки до1 года от рецидива и метастазов опухоли, а 5-летняя выживаемость у них намного хуже, чем у больных, перенесших двухэтапную операцию типа Гартмана. 
Таким образом, данные литературы свидетельствуют о том, что ближайшие и отдаленные результаты хирургического лечения больных с обтурационной непроходимостью ободочной кишки и левосторонней локализацией опухоли при применении трехэтапных вмешательств неудовлетворительны. Такое положение заставляет хирургов в последнее время чаще прибегать к выполнению двухэтапной радикальной операции типа Гартмана, так как она имеет ряд преимуществ. Во-первых, операция Гартмана позволяет решить сразу две задачи: после удаления опухоли устраняется источник интоксикации и метастазирования, после наложения колостомы ликвидируется кишечная непроходимость. Во-вторых, эта операция более радикальна.
Операция Гартмана
Операция типа Гартмана.
А - участок кишки, подлежащий резекции, окрашен в красный цвет; Б - после произведенной резекции кишки приводящий конец вшит в переднюю брюшную стенку по типу одноствольного anusa,
отводящий - закрыт наглухо.

Гартман_1Гартман_2Гартман_3
Гартман_4Гартман_5
Гартман_6Гартман_7
Основные этапы операция типа Гартмана.

По данным Н. Umpleby, 5-летняя выживаемость
при наложении декомпрессионной стомы в качестве первого этапа вмешательства составляет 18 %, после первичной резекции опухоли и операции Гартмана - 48-50 %. По мнению многих авторов операция Гартмана является лучшим видом оперативного вмешательства при осложненных формах рака левой половины ободочной кишки. Несмотря на очевидные преимущества, операция Гартмана также не лишена недостатков. Прежде всего она требует от хирурга высокой квалификации. По этой причине многие хирурги выполняют ее лишь при наличии соответствующих условий; у больных молодого возраста, при относительно небольшом сроке заболевания и удовлетворительном состоянии пациента. Многие авторы считают, что формирование колостомы в ближайшем послеоперационном периоде при этом виде операции сопровождается развитием не меньшего числа осложнений, чем при наложении цекостомы, высока частота параколостомических осложнений (грыжа, эвентрация, абсцесс, флегмона) и стенозов, что значительно снижает возможности социально-трудовой реабилитации больных. Существенный недостаток операции Гартмана - необходимость повторной операции для восстановления кишечной непрерывности. По данным литературы, восстановление непрерывности кишки в 40-72 % наблюдений становится невозможным. При выполнении заключительного этапа операции возникают
серьезные послеоперационные осложнения, отмечается высокая летальность.
Все это в определенной степени сдерживает хирургов от выполнения заключительного этапа операции, поэтому операция Гартмана, являясь двухэтапным вмешательством, в ряде наблюдений превращается в незавершенную одномоментную операцию. В настоящее время при обтурационной непроходимости ободочной кишки, обусловленной левосторонней локализацией опухоли, продолжаются поиски оптимальных оперативных вмешательств. Некоторые хирурги во избежание повторного и восстановительного этапов после операции Гартмана и уменьшения частоты интра- и послеоперационных осложнений при осложненном течении рака левой половины ободочной кишки рекомендуют выполнение одномоментной левосторонней гемиколэктомии с первичным восстановлением кишечной непрерывности и формированием У-образного терминолатералыюго анастомоза. Преимущества этой операции заключаются в том, что,во-первых, удаление опухоли и устранение кишечной непроходимости производятся в один этап, во-вторых, одномоментно восстанавливается непрерывность толстой кишки; в-третьих, наложенная проксимальная колостома, создавая декомпрессию проксимальных отделов кишечного тракта, обеспечивает профилактику несостоятельности швов толстокишечного анастомоза; в-четвертых, закрытие колостомы производится внебрюшинным способом.
С.П. Сугробов предложил первично-отсроченный коло-колоанастомоз с временной проксимальной колостомой при обтурирующей опухоли левой половины ободочной кишки. При этой методике после резекции опухоли оральный и аборальный концы кишки перевязывают и погружают в кисетные швы, после чего эти же концы кишки сшивают между собой по периметру узловыми серозно-мышечными швами по типу конец в конец. Выше накладывают двуствольную колостому по Майдлю. Через 3-4 нед после операции производят трансинтестинальное восстановление непрерывности кишки путем эндоскопической реканализации межкишечной перегородки. Заключительным этапом закрывают колостому впебрюшинным способом. O.K. Скобелкин и соавт. применяют этот способ с некоторыми видоизменениями. После резекции ободочной кишки вместе с опухолью оральный конец ее перевязывают со стороны серозной оболочки. Аборальный конец кишки подшивают к оральному концу узловыми серозно-мышечными швами по периметру и формируют анастомоз.
Затем накладывают проксимальную пристеночную или двуствольную колостому, через которую в приводящий сегмент "отсроченного анастомоза" заводят двухпросветную трубку для проведения внутрикишечного лаважа. Через некоторое время по линии "перегородки" наступает реканализация межкишечного анастомоза. Закрытие колостомы также осуществляют внебрюшинным способом.
По мнению этих авторов, такая методика может служить в качестве альтернативы операции Гартмана, значительно улучшая функциональные результаты оперативного лечения больных с обтурирующей опухолью левой половины ободочной кишки.
Одним из наиболее интересных направлений в экстренной хирургии ободочной кишки явилась разработка и внедрение в клиническую практику нового метода хирургического вмешательства при лечении больных с обтурационной непроходимостью левой половины ободочной кишки опухолевого генеза - одномоментной тотальной и субтоталыюй колэктомии с восстановлением непрерывности кишечного тракта путем наложения первичного илеодесцендо-, илеосигмо- или илеорекгоанастомоза. Послеоперационная легальность составляет 11,5-13,8 %. Являясь первично-восстановительным вмешательством, данная операция отличается высоким онкологическим радикализмом, а также возможностью ранней социальной и трудовой реабилитации оперированных. Кроме того, авторы считают, что применение тотальной и субтотальной колэктомии снижает риск рецидива опухоли и отсутствует необходимость выполнения повторных вмешательств. Частота послеоперационных осложнений и летальность при выполнении этой операции значительно ниже по сравнению с аналогичными показателями после многоэтапных вмешательств, а отдаленные результаты лучше. Если принять во внимание то обстоятельство, что терминальный отдел подвздошной кишки отличается богатым кровоснабжением и анастомоз между тонкой и толстой кишкой по особенностям заживления почти не отличается от тонко-тонкокишечного, выполнение субтотальной колэктомии при обтурационной толстокишечной непроходимости представляется вполне обоснованным.
По мнению J. Hoffman и соавт., наложение анастомоза между терминальным отделом подвздошной кишки и дистальной, почти интактной частью толстой кишки гораздо более безопасно, чем между участками толстой кишки. При раке поперечной ободочной кишки, осложненном непроходимостью, возможны четыре варианта хирургического лечения. Если опухоль расположена в средней трети поперечной ободочной кишки или ближе к правой ее трети и общее состояние больного позволяет произвести радикальную операцию, то показана правосторонняя гемиколэктомия с частью поперечной ободочной кишки вместе с опухолью и наложением илеотрансверзоанастомоза. Второй вариант - резекция поперечной ободочной кишки с обязательной мобилизацией правого и левого изгибов и наложением асцендодесцендоанастомоза. Третий вариант операции применяется у больных, находящихся в крайне тяжелом состоянии, которые могут не перенести одномоментную радикальную операцию, или у больных с декомпенсированной стадией непроходимости и перитонитом, когда наложение анастомоза будет под реальной угрозой несостоятельности. В этом случае в качестве первого этапа возможно наложение широкой разгрузочной цекостомы, а в дальнейшем, после стихания перитонита и улучшения состояния больного, следует произвести радикальную операцию. Четвертый вариант операции рекомендуется в тех же ситуациях, что и третий, является более рациональным, так как производится резекция поперечной оболочной кишки с выведением двуствольной колостомы.
В хирургии осложненного рака ободочной кишки особый интерес представляют способы декомпрессии кишечника. В настоящее время большинством хирургов признается возможность различных видов декомпрессии желудочно-кишечного тракта при осложненном раке ободочной кишки как в пред- и послеоперационном периоде, так и во время операции.
Разгрузка кишечного тракта - основной элемент одноэтапных и многоэтапных оперативных вмешательств. При многоэтапных операциях у большинства больных она является мерой подготовки к выполнению последующих этапов, а у наиболее тяжелобольных служит единственным оперативным пособием для ликвидации непроходимости. В.Д. Федоров рекомендует для правосторонней гемиколэктомии завершать операцию формированием декомпрессионной илеостомы. Все реже возникают показания к разгрузочной цекостомии, поскольку, по мнению большинства хирургов, она не обеспечивает адекватной декомпрессии кишечного тракта. В последнее время широко применяется трансанальная декомпрессия кишечника с помощью толстых резиновых или полимерных трубок, проводимых через анус за линию анастомоза, что позволяет осуществлять промывание просвета кишечника антисептическими растворами и активную аспирацию содержимого. Эффективность данного способа увеличивается за счет назоинтестинальной декомпрессии путем зондирования верхних отделов желудочно-кишечного тракта. Сочетание трансназальной и трансанальной декомпрессии способствуй уменьшению интоксикации, быстрому восстановлению функции кишечника и процессов всасывания. Работами некоторых авторов показана возможность декомпрессии у ряда больных в предоперационном периоде эндоскопическим методом с целью разгрузки ободочной кишки выше места обтурации опухолью и разрешения непроходимости. В последнее время некоторые авторы указывают на возможность эндоскопической реканализации (туннелирования) обтурирующих раковых опухолей ободочной кишки методами лазерной и электрокоагуляции, интубации супрастенотических отделов ободочной кишки зондом с целью лаважа и дренирования при толстокишечной непроходимости.
По данным Ю.В. Синёва и соавт., подобные лечебные мероприятия у больных с непроходимостью ободочной кишки с помощью колоноскопа представляются весьма сложной задачей. Стенозироваиие просвета ободочной кишки до 0,2-0,3 см опухолью препятствует проведению зонда для декомпрессии ободочной кишки выше места обтурации при колонофиброскопии. Форсированное проведение этих манипуляций без четкою представления о протяженности опухолевого поражения кишки авторы считают нецелесообразным ввиду возможности опасных осложнений (перфорация кишечной стенки, перитонит и т. п.). Эти вопросы проблематичны и требуют дальнейшей разработки.
Основные правила формирования кишечных стом
Место формирования будущей стомы должно быть выбрано до операции с учетом телосложения больного, толщины брюшной стенки, естественных складок живота, при осмотре больного лежа на спине, сидя и стоя. Колостому (илеостому) следует размещать на наиболее плоском участке передней брюшной стенки, сохраняющем свою форму при разных положениях больного. Выбранное место должно быть удобным для последующего ухода и использования калоприемника. Вблизи стомы не должно быть костных выступов, жировых складок, рубцов и грубых деформаций.
Существует два варианта выведения стомы:
  • вблизи опухоли – при формировании временной стомы и предполагаемом удалении новообразования толстой кишки вторым этапом (стома войдёт в зону резекции кишки с опухолью);
  • далеко от опухоли, когда стома является постоянной, или второй этап хирургического лечения подразумевает сохранение имеющейся стомы в качестве превентивной.
Мобилизация участка кишки должна производиться:
  • на протяжении, достаточном для предотвращения возможного натяжения брыжейки в условиях послеоперационного пареза кишечника, поворотов больного на бок, при кашле и т.п.
  • с сохранением хорошего кровоснабжения выводимой кишечной петли.
Диаметр отверстия в брюшной стенке должен соответствовать нормальному диаметру соответству¬ющего отдела кишечника. При несоблюдении этого условия возможны осложнения в послеоперационном периоде в виде стриктур стом, эвагинаций кишки через стому, парастомальных грыж.
Выведенная петля толстой кишки при колостомии должна быть не ниже уровня кожного покрова. Наименьшее расстояние от места предполагаемой илеостомы до слепой кишки 15-20 см. Необходимым условием выбора петли является возможность подтянуть её выше уровня кожи на 3-4 см. Целесообразно установка поддерживающих палочек под стому для профилактики её ретракции. Фиксация производится подшиванием стенки кишки (серозно-мышечного слоя) к коже. Используется атравматическая игла с рассасывающейся нитью. Не рекомендуется фиксация к швам марлевых шариков или турунд, введение в просвет кишки дренажных трубок.
Формирование пристеночных колостом, в том числе цекостом, является нецелесообразным, так как не происходит полного отключения пассажа кишечного содержимого и полноценного купирования осложнений опухолевого процесса.

В послеоперационном периоде программа интенсивной терапии острой кишечной непроходимости должна включать:
  • восстановление и поддержание нормального объёма и состава внутриклеточной, внеклеточной жидкости и циркулирующей крови;
  • дезинтоксикацию;
  • улучшение реологических свойств крови;
  • парентеральное питание;
  • восстановление моторной функции кишечника;
  • нормализацию электролитного обмена и кислотно-основного состояния;
  • антибактериальную терапию;
  • нормализацию сердечной деятельности и микроциркуляции;
  • уменьшение протеолитической активности крови;
  • борьбу с гипоксией;
  • стимуляцию иммунозащитных сил организма.
Стентирование опухоли при лечении толстокишечной непроходимости опухолевой этиологии
В настоящее время все большее распространение получают саморасширяющиеся сетчатые системы (так называемые стенты - self-expanding metallic stents - SEMS), вводимые в просвет кишки на уровень опухоли с помощью эндоскопа. Установка саморасширяющегося металлического стента показана при отсутствии признаков перфорации, перитонита, кровотечения, полной окклюзии просвета кишки опухолью левых отделов ободочной кишки.
После установки стента он расширяется, раздвигая ткань опухоли, и восстанавливает свободный просвет кишечника. Основными осложнениями данного метода являются: перфорация кишки, возникающая в 3-6,7 % случаев; миграция стента - в 10-11 % наблюдениях; рецидив непроходимости - у 7-10 % пациентов.

стент при непроходимостистентирование кишки

Размещение саморасширяющегося металлического стента
при острой левосторонней злокачественной обструкции.

А - рентгеноскопия показала злокачественную стриктуру длиной 3 см в ректосигмовидном отделе;
Б - стент успешно установлен и расширен; В - во время эндоскопического вмешательства.

Разрешение кишечной непроходимости позволяет избежать выполнения экстренного или срочного оперативного вмешательства, что даёт возможность использовать дополнительные лечебно-диагностические мероприятия для подготовки больного к плановому оперативному лечению. В некоторых случаях ликвидация острой кишечной непроходимости позволяет выполнить операцию с формированием первичного анастомоза, без наложения превентивной кишечной стомы.

Сосудистая кишечная непроходимость
мезентериальный тромбоз
"Это - ... один из самых тёмных вопросов".
Г. Мондор

Сосудистая кишечная непроходимость является результатом острой мезентеральной ишемии, что способствует острому нарушению мезентериального кровообращения - патологическому состоянию, обусловленному внезапным снижением кровотока по брыжеечным артериям, венам или микроциркуляторному руслу. Это приводит к инфаркту (гангрене) поражённого участка кишечника.

Эпидемиология
Среди больных хирургического профиля частота встречаемости острого нарушения мезентериального кровообращения составляет 0,4-2%. Наиболее частой его причиной является острая (тромботическая или тромбоэмболическая) окклюзия верхней брыжеечной артерии.

Классификация
(Савельев В.С. и соавт., 2014 г., с изм.)
I. Механизм развития:
  • окклюзионные формы:
✧ интравазальная окклюзия артерий в результате:
- эмболии или тромбоза;
- расслоения стенок аорты и мезентериальных артерий;
✧ интравазальная окклюзия вен (тромбоз);
✧ экстравазальная окклюзия в результате:
- сдавления (прорастания) сосудов опухолью;
- перевязки сосудов;
  • неокклюзионные формы.
II. Стадия заболевания:
  • ишемия (геморрагическое пропитывание при венозном тромбозе);
  • инфаркт кишечника;                          
  • перитонит.
III. Состояние кровообращения:
  • компенсация;
  • субкомпенсация;
  • декомпенсация (быстро или медленно прогрессирующая).
IV. Осложнения:
  • острого периода:
✧ перфорация кишки;
перитонит;
✧ тяжёлый абдоминальный сепсис;
  • отдалённые:
✧ стриктура участка кишки;
✧ кишечная непроходимость;
✧ хроническая абдоминальная ишемия
✧ синдром мальабсорбции (после обширной резекции кишечника).

Этиология
Основные причины окклюзионной формы острого нарушения мезентериального кровообращения - эмболия брыжеечных артерий (около 50 %), тромбоз брыжеечных артерий (около 25 %) и тромбоз брыжеечных вен (от 5 до 10 %). Это патологическое состояние представляет собой осложнение ряда заболеваний. Как правило, эмболии верхней брыжеечной артерии возникают при кардиальной патологии: разнообразные нарушения ритма сердца, недавно перенесённый острый инфаркт миокарда с образованием внутриполостных тромбов, хронические постинфарктные аневризмы левого желудочка, поражение аортального клапана. Тромбоз брыжеечных артерий появляется, как правило, на фоне атеросклеротического поражения артериального русла, в результате разрыва атеросклеротической бляшки или кровоизлияния в неё.
Венозный мезентериальный тромбоз возникает у больных с гепатоспленомегалией, врождёнными или приобретёнными тромбофилическими состояниями (дефицит антитромбина или протеина С, лейденовская мутация V фактора или гена протромбина, гипергомоцистеинемия и др.), ранее перенесёнными венозными тромбозами другой локализации (часто тромбозом нижней полой вены), тяжёлой правожелудочковой недостаточностью, опухолями и инфекционными процессами в брюшной полости.
Около 20 % случаев приходится на неокклюзионную форму острого нарушения мезентериального кровообращения. Она обусловлена гипоперфузией брыжеечных сосудов и развивается у пациентов, находящихся в тяжёлом состоянии: реанимационные и шоковые больные на фоне системной артериальной гипотензии, гиповолемии, острой сердечной недостаточности или распространённой вазоконстрикции.
Редкими причинами острой окклюзии мезентериального кровотока являются спонтанная диссекция артерий, сдавление извне, расслоение аорты.

Основные черты патологии
Острая артериальная или венозная окклюзия брыжеечных сосудов ведёт к появлению и прогрессированию патологических изменений в стенке поражённого кишечника. Острая тканевая гипоксия кишечника характеризуется повышением капиллярной проницаемости, развитием клеточной гипоксии и подслизистых кровоизлияний. Гипоперфузия тканей кишечника сопровождается нарушением элиминации продуктов распада. Повышенная проницаемость слизистой оболочки кишки чревата бактериальной транслокацией и развитием септических осложнений. Первые и наиболее значимые ишемические изменения начинаются в слизистой оболочке, по мере прогрессирования ишемии деструктивные процессы распространяются на мышечную и серозную оболочки. Макроскопически поражённая кишка приобретает различную окраску: от серого и цианотичного до чёрно-зелёного цвета.

Клиническая симптоматика
"Терапевт, который утверждает, что это почечные колики,
и полагает, что может вылечить больного 0,02 морфина,
хирург, который уверен в том, что тут аппендицит, и столь же уверенно стоит за операцию,
могут оба, и очень грубо, попасть в простак в том случае, если дело касается инфаркта кишечника
".
 Г. Мондор

"...not everyone is aware that violent abdominal pain, ileus, and collapse may mean mesenteric vascular occlusion..."
(...не все знают, что резкая боль в животе, симптомы илеуса и коллапс могут означать окклюзию брыжеечных сосудов...)
S. Warren и T. Eberhardt, 1935

Острая окклюзия брыжеечных сосудов не имеет патогномоничной клинической картины, что служит одной из основных причин поздней диагностики заболевания - уже в стадии некроза кишечника. Тем не менее, по словам Генри Мондора "... диагноз возможен. Необходимо научиться распознавать эту болезнь. Ужасно видеть, как в течение нескольких часов гибнет больной, родным которого вы сказали, что у него почечные колики или что его вылечит удаление червеобразного отростка. И этого ужаса надо избегнуть".
Клинические проявления заболевания во многом зависят от уровня и причины окклюзии артерии: наиболее ярко она представлена при эмболии устья или проксимального отдела верхней брыжеечной артерии, стёртой - при тромбозе брыжеечной артерии на фоне длительно существующей хронической ишемии кишечника или при венозном мезентериальном тромбозе.
Характерны три варианта начала заболевания (Г. Мондор):
  • чрезвычайно бурное: внезапная боль, становящаяся тотчас же нетерпимой нередко на фоне полного здоровья;
  • в два этапа: "два припадка, следующие один за другим; первый более или менее тяжёлый, второй - конечный, столь бурный, как будто болезнь им началась. Между ними свободный промежуток, более менее продолжительный, во время которого ремиссия может быть полной" (Сове);
  • постепенное с большим количеством предвестников, встречается редко.
С самого начала видна тяжесть заболевания: бледность лица и слизистых оболочек, иногда цианоз кожи, акроцианоз; склонность к обморокам; пульс част, мал, нитевиден, при этом, если больного попросить привстать или произнести несколько слов пульс сразу становится слабее; температура тела, как правило, снижена.
Наиболее характерными функциональными признаками являются боль и рвота; диаррея и кишечное кровотечение встречаются реже.
Боль чрезвычайно мучительная, по мнению Г. Мондора "... эта боль вместе с болью при остром геморрагическом панкреатите является самой жестокой из всех, с которыми нам приходится встречаться при изучении остальных абдоминальных синдромов". Боль эта часто диффузна, но иногда она локализуется вокруг пупка, в правой подвздошной области или в пояснице.
У ряда пациентов в результате острой окклюзии верхней брыжеечной артерии одновременно с появлением болей в животе резко повышается артериальное давление (с-м Блинова).
Сильную боль в животе несоответствующую результатам физикального обследования необходимо расценивать как острую мезентериальную ишемию до тех пор, пока она не будет исключена.
Рвота наблюдается почти постоянного - сперва пищей, потом слизью, желчью; позже она становится фекалоидной. Кровавая рвота встречается редко.
Диаррея и кишечное кровотечение встречается нечасто. При этом диаррея жидка, водяниста, обильна и очень редко кровавая. Наличие кишечного  кровотечения является неблагоприятным клиническим признаком. Могут отмечаться болезненные потуги на низ.
Вслед за периодом возбуждения кишечника наступает период его непроходимости, являющийся конечным. Эта непроходимость не походит на обычную непроходимость и объективные признаки не сведены к минимуму, а как бы стёрты, неясны и кажутся парадоксальными. Их надо тщательно искать. Тут нет ни доскообразного живота, столь красноречиво свидетельствующего о перитоните, ни тимпанического метеоризма как при кишечной непроходимости.
При осмотре живот умеренно увеличен в объёме преимущественно в центре, вокруг пупка или в надчревной области, участвует в акте дыхания. При поверхностной пальпации живот мягкий, но резко диффузно болезненный. Вместе с тем, в ряде случаев выявляется место наибольшей болезненности в различных отделах живота, где 
может пальпироваться объёмное образование (инфарцированная тонкая или толстая кишка) тестоватой консистенции (с-м Мондора).  Перкуторно в середине живота определяется широкая зона притупления с неровными, неправильными очертаниями.
При ректальном исследовании возможно зияние заднего прохода.
В случае развития некротических изменений в кишечнике отмечаются прогрессирующая слабость, потливость, общее недомогание, и состояние больного всегда расценивается как тяжёлое, перистальтика отсутствует, и появляются перитонеальные симптомы.
Неокклюзивная острая мезентериальная ишемия должна  быть заподозрена у тяжелых пациентов с болью или вздутием живота, требующих вазопрессорной поддержки и наличием полиорганной недостатосности. Необъяснимое вздутие живота или желудочно-кишечное кровотечение могут быть единственными признаками неокклюзивной острой мезентериальной ишемии и встречается примерно у 25 % седатированных пациентов в ОРИТ. У пациентов, перенесших сердечно-легочную реанимацию, при развитии бактериемии и диареи (с или без боли в животе) следует подозревать развитие неокклюзивной острой мезентериальной ишемии. Боль в правой половине живота  с наличием темно-бордовой или ярко-красной крови в стуле должна наводит на мысль о неокклюзивной острой мезентериальной ишемии. Перфузия желудочно-кишечного тракта часто нарушается на ранних стадиях при критических состояниях, крупных операциях или травмах, которые характеризуются повышенным требованием к поддержанию циркуляцию для доставки кислорода тканям. Эта относительная мезентериальная гипоперфузия часто утяжеляется гиповолемией или низкой фракцией выброса. В случаях абдоминального компарктмент синдрома происходит сдавление всех тканей в брюшной полости, и это ведет к региональной гипоперфузии мезентериальном бассейне.
Большинство перечисленных симптомов часто не имеют клинических проявлений у пациентов, находящихся в критическом состоянии. Соответственно, любые отрицательные динамика, включая появление новой органной дисфункции, увеличение вазоактивной поддержки, неусваивание энтерального питания должны наводить на мысль о мезентериальной ишемии.

Диагностика
"Диагноз облитерации верхней брыжеечной артерии,
может быть, труднее и ненадёжнее всех других опаснейших острых абдоминальных синдромов,
потому что характерные для этого заболевания признаки, с одной стороны, очень непостоянны,
а с другой - наблюдаются и при многих абдоминальных заболеваниях
".
Родоничич

Трудности диагностики нарушений мезентериального кровообращения обусловлены тем, что заболевание протекает под маской различных хирургических (острый панкреатит, паралитическая или механическая кишечная непроходимость, желудочно-кишечное кровотечение), инфекционных (пищевая токсикоинфекция) и терапевтических (острый инфаркт миокарда, острый пиелонефрит) заболеваний. Это часто сопряжено с потерей времени и практически делает невозможным оказание хирургической помощи в ишемическую фазу заболевания, что приводит к диагностике острой окклюзии брыжеечных артерий на поздних стадиях и выдвигает раннюю инструментальную диагностику на первый план.

Лабораторные методы
Стандартная лабораторная картина представлена гемоконцентрацией, лейкоцитозом (иногда достигая чрезвычайно высоких цифр), повышением ряда сывороточных ферментов и метаболическим ацидозом. В связи с этим предпринимаются многочисленные попытки выявить достоверный, высокочувствительный и специфичный лабораторный маркер ранней диагностики этого заболевания.
Основными требованиями к оптимальному лабораторному маркеру, по мнению К. Karabulut et al. (2011), должны быть следующие: он должен содержаться в слизистой оболочке кишечника, не разрушаться в печени и определяться в периферической крови. В настоящее время наиболее эффективными лабораторными маркерами для выявления острой ишемии кишечника признаны D-димер и кишечная форма белка, связывающая жирные кислоты (i-FABP). У пациентов с острой окклюзией брыжеечных артерий повышенный уровень D-димера указывает на ишемию кишечника вне зависимости от причины, её вызвавшей. К сожалению, концентрация этого маркёра тромбообразования не может помочь в дифференциальной диагностике окклюзионной и неокклюзионной форм острого нарушения брыжеечного кровообращения и в определении объёма некротического поражения кишечника. Вместе с тем низкие значения D-димера с высокой долей вероятности указывают на отсутствие тромбоза. Основным преимуществом теста, по мнению ряда авторов, является возможность его использования для исключения острой интестинальной ишемии.

Инструментальные методы
Видеолапароскопическое исследование позволяет в короткие сроки диагностировать заболевание в стадии некроза кишечника, когда поражённая кишка приобретает синюшно-багровый или чёрно-зелёный цвет, стенка может быть резко отёчной или, наоборот, истончённой. В брюшной полости появляется патологический выпот, в большинстве случаев геморрагического цвета; резко ослабляется или отсутствует перистальтика кишечника. Петли поражённой кишки паретичны, брыжейка отёчная. К сожалению, диагностические возможности видеолапароскопии в стадии ишемии, когда макроскопически кишечник, его брыжейка, висцеральная и париетальная брюшина не изменены, крайне низки.
Стандартное ангиографическое исследование в настоящее время остаётся одним из основных методов диагностики острой окклюзии брыжеечных артерий, позволяя выявлять отсутствие контрастирования или дефекты контрастирования брыжеечных артерий.

ангиография ВБА
Ангиография брыжеечных артерий.
Эмболия верхней брыжеечной артерии (стрелки).

В последнее время КТ-ангиография постепенно занимает лидирующие позиции в диагностике этого заболевания, становясь первым шагом в диагностическом инструментальном алгоритме при подозрении на острое нарушение мезентериального кровообращения.
Диагностическая эффективность КТ-ангиографии довольно высока, чувствительность и специфичность методики находятся в пределах 95-100 % и 96-100 % соответственно (Menke J., 2010; Yikilmaz A. et al., 2011). Несомненным преимуществом КТ-ангиографии в диагнозе острого нарушения мезентериального кровообращения является возможность исследования мезентериального кровообращения не только в артериальную, но и в венозную фазу, что позволяет диагностировать как острую окклюзию артериального бассейна кишечника, так и венозный мезентериальный тромбоз.

КТ ангиография
КТ-ангиография брюшной аорты и её висцеральных ветвей.
Тромбоз верхней брыжечной артерии, стеноз устья чревного ствола (Верзакова И.В. и соавт., 2006).


Помимо диагностической точности в выявлении острой окклюзии основного ствола и проксимальных сегментов верхней брыжеечной артерии, КТ-ангиография позволяет чётко визуализировать поражение дистальных отделов верхней брыжеечной артерии и интестинальных артериальных ветвей различного порядка.
Нативное КТ-исследование органов брюшной полости также имеет свои возможности и преимущества перед другими диагностическими процедурами. Наиболее характерным, но не специфичным КТ-признаком некротической деструкции кишечника служит свободный газ в венах брыжейки или стенке кишечника, обусловленный транслокацией газообразующей анаэробной флоры из просвета кишечника. Между тем этот достаточно характерный признак встречается лишь у 14-31 % пациентов (Barmase M. et al., 2011; Upponi S. et al., 2014), и обычно на поздней стадии заболевания.

КТ тробоз ВБА
КТ брюшной полости. Признаки ишемического некроза тонкой кишки.
А -  истончение стенки тонкой кишки (стрелки) и пузырьки воздуха в брыжеечных венах (стрелки).
Б - пузырьки воздуха в стенке тонкой кишки (стрелка).  


Благодаря своим преимуществам (минимальная инвазивность, быстрая воспроизводимость и высокая диагностическая эффективность), КТ-ангиография представляется единственно необходимой и целесообразной диагностической процедурой, первым инструментальным шагом при подозрении на острое нарушение брыжеечного кровообращения.

Принципы лечения
Основные направления лечения острого нарушения мезентериального кровообращения, озвученные В.С. Савельевым ещё в 1979 г., остаются актуальными и в настоящее время.
  • Ранняя госпитализация больных в хирургический стационар.
  • Внедрение специальных методов обследования, позволяющих своевременно и точно поставить диагноз.
  • Разработка и применение оперативных вмешательств, ведущими среди которых должны стать операции на мезентериальных сосудах.
  • Использование достижений анестезиологии и реаниматологии при ведении больных в пред- и послеоперационном периодах.
Лечебная тактика
При подозрении на острую мезентериальную ишемию и тем более при её подтверждении, немедленно должна быть начата инфузионная терапия для улучшения висцеральной перфузии и нормализации электролитного баланса, а также выполнена назогастральная декомпрессия. Инфузия кристаллоидов и препаратов крови является основой лечения пациента с острой мезентериальной ишемией. Дооперационная подготовка важна для предотвращения сердечно-сосудистого коллапса при индукции анестезии. Для эффективной подготовки необходим ранний мониторинг гемодинамики, должны быть определены КЩС и электролиты крови. Это особенно актуально у пациентов с острой мезентериальной ишемией вследствие возникновения метаболического ацидоза и гиперкалиемии при инфаркте кишечника и реперфузии. Вазопрессоры следует использовать с осторожностью и только во избежание перегрузки жидкостью и развития абдоминального компарктмент синдрома, тем более, добутамин и дофамин в низких дозах, улучшая функции сердца, мало влияют на брыжеечный кровоток. Потребность в инфузии у этих пациентов может быть высокой из-за экстенсивной "капиллярной утечки". Тем не менее, следует избегать  интенсивной кристаллоидной нагрузки, чтобы оптимизировать перфузию кишечника.
Конечные точки терапии должны быть направлены на восстановление физиологического уровня доставки кислорода с постоянным мониторингом уровеня лактата, как показателя улучшения.
Кишечная ишемия приводит к раннему повреждению барьера слизистой оболочки, что облегчает бактериальную транслокацию и риск септических осложнений. Вследствие чего следует немедленно назначить антибиотики широкого спектра действия.
При отсутствии противопоказаний применяют антикоагулянты - внутривенное введение нефракционированного гепарина.


Хирургическая тактика

В основе выбора способа хирургического лечения острого нарушения мезентериального кровообращения лежат стадия и форма заболевания. В случае острого артериального нарушения брыжеечного кровообращения в стадии ишемии кишечника оптимальным вариантом лечения является эмбол/тромбэктомия из верхней брыжеечной артерии, т. е. сосудистое вмешательство без резекции кишечника. С учётом развития современных технологий методом выбора у пациентов с эмболией или тромбозом верхней брыжеечной артерии в настоящее время становится эндоваскулярное вмешательство в различных его модификациях (Arthurs Z.M. et al., 2011):
  • механическая реканализация;
  • аспирационная тромбэктомия;
  • реолитическая тромбэктомия;
  • баллонная ангиопластика брыжеечной артерии;
  • баллонная ангиопластика брыжеечной артерии с её последующим стентированием;
  • изолированное антеградное стентирование верхней брыжеечной артерии.
Совсем другая ситуация возникает, когда оперирующий хирург сталкивается со стадией некроза кишечника. В этом случае необходимо решать несколько задач, которые тесно переплетаются между собой: удаление некротизированного участка кишечника; восстановление магистрального кровотока в бассейне верхней брыжеечной артерии; борьба с эндотоксикозом и реперфузионным синдромом.
Тактические приёмы во многом зависят от множества факторов - уровень острой окклюзии брыжеечной артерии, объём некротического поражения кишечника, тяжесть сопутствующих заболеваний, возможности реанимационного отделения, метода оценки жизнеспособности кишечника и ряда других. Однозначно решается вопрос тактики в случае тотальной гангрены тонкой и толстой кишки, когда оперативное вмешательство носит эксплоративный характер и ограничивается ревизией органов брюшной полости.
В случае обширного субтотального некротического поражения тонкой и толстой кишки, когда причиной столь масштабного поражения кишечника служит острая окклюзия проксимальных отделов верхней брыжеечной артерии (I и/или II сегмент верхней брыжеечной артерии), помимо обструктивной резекции поражённого кишечника необходимым оперативным приёмом является сосудистый этап операции. Восстановление магистрального кровотока в бассейне верхней брыжеечной артерии необходимо для сохранения жизнеспособности оставшихся отделов кишечника. Как правило, оперативное вмешательство в такой ситуации завершают обструктивной резекцией явно некротизированной кишки. Необходимым компонентом обширной резекции тонкой кишки служит назоинтестинальная интубация оставшегося проксимального участка тонкой кишки. Во время программированной релапаротомии (спустя 24-48 ч) оценивают жизнеспособность оставшейся части кишки, в случае необходимости выполняют ререзекцию и формируют межкишечное соустье.
Сегментарный или изолированный некроз тонкой кишки на фоне поражения дистальных отделов верхней брыжеечной артерии (III сегмент верхней брыжеечной артерии), как правило, не требует сосудистого этапа и предусматривает только резекцию поражённого кишечника с формированием первичного межкишечного анастомоза. В случае некроза сигмовидной или левой половины толстой кишки на фоне тромбоза нижней брыжеечной артерии рекомендуют выполнение резекции поражённого сегмента толстой кишки с формированием одноствольной колостомы.
В большинстве случаев возникает необходимость выполнения программированной релапаротомии для оценки жизнеспособности оставшегося кишечника и ревизии зоны сосудистой реконструкции, однако сроки и необходимость выполнения программированной релапаротомии до сих пор обсуждаются. Следует упомянуть, что Х. Meng и соавт. (2010) на основании анализа мировой литературы продемонстрировали отсутствие достоверных отличий летальности в случае выполнения программированной релапаротомии и без неё. Тем не менее программированная релапаротомия целесообразна в случае обширного/субтотального некроза кишечника, общего исходного тяжёлого состояния пациента и явлений разлитого перитонита, когда, несмотря на успешное восстановление магистрального кровотока в бассейне верхней брыжеечной артерии, риск несостоятельности межкишечного анастомоза и прогрессирования гангрены кишечника остаётся велик.
Гибридные вмешательства на верхней брыжеечной артерии (комбинация открытой сосудистой и эндоваскулярной хирургии) на современном этапе становятся всё более предпочтительными благодаря ряду преимуществ: менее травматичный подход в сравнении с открытыми артериальными реконструкциями и возможность визуализации источника (осложнённая атеросклеротическая бляшка) тромбоза верхней брыжеечной артерии с целью его последующей эндоваскулярной коррекции. Основными техническими приёмами гибридной техники являются сочетание антеградной и ретроградной реканализации со стентированием поражённого сегмента верхней брыжеечной артерии после выполнения лапаротомии (Acosta F., 2014).

Особенности лечения венозного нарушения мезентериального кровообращения
В случае развития некроза кишечника на фоне тромбоза брыжеечных вен необходимость в резекции поражённого участка кишечника не вызывает сомнений. Вопрос о необходимости программированной релапаротомии решается индивидуально, однако в большинстве случаев возможно формирование первичного межкишечного анастомоза. В случаях сомнения в жизнеспособности оставшегося кишечника может быть выполнена лапароскопия.
При отсутствии перитонеальной симптоматики и явлений интоксикации, когда причиной болей в животе, по данным инструментальных методов диагностики, КТ, ангиографии, является острая окклюзия брыжеечных вен, возможно проведение агрессивной антитромботической терапии в различных её модификациях. Тромбэктомия из брыжеечных венозных сосудов малоэффективна. Описаны случаи селективного артериального тромболизиса (введение тромболитика в артериальное русло кишки) при тромбозе верхней брыжеечной вены. Основным методом лечения представляется внутривенная антикоагулянтная терапия нефракционированным гепарином с последующим переводом на низкомолекулярный гепарин и пероральные антикоагулянты. Сроки проведения антикоагулянтной терапии зависят от причины, вызвавшей венозный мезентериальный тромбоз.

Неокклюзионная форма мезентериального кровообращения

Проведение противошоковых мероприятий, борьба с гиповолемией и системной вазоконстрикцией у реанимационных больных служат основным лечебным компонентом у данных пациентов, позволяя избежать или уменьшить объём некротической деструкции кишечной стенки. С учётом крайне тяжёлого состояния больных с этой формой нарушения брыжеечного кровообращения, программированная релапаротомия после резекции поражённого кишечника является необходимым компонентом лечебной тактики.

Оценка жизнеспособности кишечника (см. выше)
Субъективная интраоперационная оценка границ жизнеспособности поражённого кишечника (наличие или отсутствие пульсации артерий брыжейки, перистальтики и изменение цвета кишечника) сопровождается высокой частотой прогрессирования некроза тонкой и/или толстой кишки в раннем послеоперационном периоде. В связи с этим необходимы современные инструментальные методики, позволяющие объективно оценить жизнеспособность кишечника при остром нарушении брыжеечного кровообращения: спектроскопия, лазерная допплеровская флоуметрия, тест с флюоресцином и ряд других.

Особенности ведения пациента в ближайшем послеоперационном периоде
Ранний послеоперационный период включает в себя интенсивную детоксикационную и антибактериальную терапию, коррекцию циркуляторных и водно-электролитных нарушений. К пациентам с данным заболеванием целесообразно относиться как к больным с абдоминальным сепсисом, так как большинство из них соответствуют критериям сепсиса, тяжёлого сепсиса или септического шока.
В течение всего раннего послеоперационного периода у пациентов с эмболией верхней брыжеечной артерии и венозным мезентериальным тромбозом обязательна антикоагулянтная терапия. Больные с тромбозом верхней брыжеечной артерии должны в дальнейшем получать антиагрегантную терапию и статины.
Целесообразность и эффективность экстракорпоральной детоксикации при остром нарушении брыжеечного кровообращении не доказана.

Прогноз
Главными причинами смерти в ближайшем послеоперационном периоде являются полиорганная недостаточность, абдоминальный сепсис, инфекционные лёгочные и кардиальные осложнения.
В отдалённом послеоперационном периоде основными причинами смерти остаются острые сердечно-сосудистые события: острый коронарный синдром, нарушение мозгового кровообращения по ишемическому типу, повторные острые окклюзии в бассейне брыжеечных артерий.
Обширные резекции кишечника у пациентов с острым нарушением брыжеечного кровообращения выполняют у 30-90 % пациентов, при этом в отдалённом послеоперационном периоде у них может развиться синдром короткой кишки с тяжёлой интестинальной недостаточностью, являющийся причиной гибели пациентов. Основной метод лечения в этих случаях - трансплантация кишечника. 


Яндекс.Метрика