Сайт доктора медицинских наук, профессора

Гарбузенко Дмитрия Викторовича

& Garbuzenko Dmitry Victorovich, Doctor of Medicine, professor

Chirurgus mente prius et oculis agat, quam armata manu!
Змея
Главная
Resume
Список публикаций
Изобретения
Статьи
Лекции
Полезная информация
Врачебные советы




Перитонит.
Абсцессы брюшной полости

"Мои современники, так же как и я, все, конечно, воспитаны в страхе перед богом и брюшиной;
она и по сегодня служит для многих "noli me tangere""

К.Ф. Вегнер (1876)
"Прошло сто лет, как написаны эти слова, но, к сожалению, страх перед богом прошёл,
а перед перитонитом остался
"
К.С. Симонян (1971)
  • Анатомия брюшины
  • Внутрибрюшное давление
  • Историческая справка
  • Классификация перитонита
  • Этиология и патогенез перитонита
  • Клиника и диагностика перитонита
  • Лечебная тактика
  • Общие принципы лечения перитонита
  • Релапаротомия в хирургии распространённого перитонита
  • Анатомия поддиафрагмального пространства
  • Классификация поддиафрагмальных абсцессов
  • Причины поддиафрагмальных абсцессов
  • Клиника поддиафрагмальных абсцессов
  • Диагностика поддиафрагмальных абсцессов
  • Лечение поддиафрагмальных абсцессов
  • Абсцесс малого таза
  • Клиника и диагностика межкишечных абсцессов
  • Хирургическое лечение межкишечных абсцессов
перитонит Перитонит – острое воспаление брюшины – одно из наиболее тяжелых осложнений заболеваний и повреждений органов брюшной полости, имеющее клиническую картину самостоятельного заболевания и представляющее собой комплекс тяжелых патофизиологических реакций с нарушением функционирования всех систем гомеостаза больного.
До настоящего времени гнойный перитонит остается одной из главных причин смерти больных острыми хирургическими заболеваниями органов брюшной полости. Летальность при перитоните колеблется от 4,5 % до 58 % и выше. Такой разброс цифр вызывает естественную усмешку у хирурга, имеющего значительный опыт в ургентной хирургии. Да и что можно добавить к высказыванию К. С. Симоняна (1971) по этому поводу: "Все авторы статистик говорят правду, а в общем возникает ситуация лжи". Это происходит потому, что в понятие перитонита можно включить и локальный серозный процесс при холецистите или аппендиците, и разлитой гнойный послеоперационный перитонит. В первом случае летальность - как казуистика, во-втором как правило. Поэтому проводить сравнительные параллели летальности при перитоните очень сложно.

Анатомия брюшины

Брюшина (peritoneum), тонкая полупрозрачная оболочка с гладкой блестящей поверхностью, выстилающая изнутри стенки брюшной полости и покрывающая расположенные в ней органы у позвоночных животных и человека. Общая площадь брюшины взрослого человека составляет примерно 1,6-2,04 м2 (16000-20400 см2), толщина 0,7-1,1 мм. Её наружный слой образован мезотелием, а основу составляет волокнистая соединительная ткань. Брюшина обильно снабжена кровеносными, лимфатическими сосудами и нервами.  Полость брюшины прeдcтaвляeт собой зaмкнутый ceрoзный мeшoк, кoтoрый тoлькo у жeнщин cooбщaeтcя c внeшним мирoм пocрeдcтвом oчeнь мaлeнькoгo брюшнoгo oтвeрcтия мaтoчных труб.
Бpюшинa cocтoит из двуx лиcткoв: пpиcтeнoчнoгo, пapиeтaльнoгo, и виcцepaльнoгo. Пepвый выcтилaeт брюшныe cтeнки, втoрoй пoкpывaeт внутрeннocти, oбрaзуя их ceрoзный пoкрoв нa бoльшем или мeньшем протяжeнии. Оба листка тесно соприкасаются друг c дpугoм, мeжду ними нaхoдитcя при нeвcкрытoй брюшнoй пoлocти тoлькo узкaя щeль, нaзывaeмaя пoлocтью брюшины, в кoтoрoй coдeржитcя нeбoльшoe кoличecтвo ceрoзнoй жидкocти, увлaжняющeй пoвeрхнocть oргaнoв и oблeгчaющeй, тaким oбpaзoм, пeрeдвижeниe их друг oкoлo дрyгa. При пoпaдaнии вoздухa вo врeмя oпeрaции, или вcкрытия трупа, или при cкoплeнии пaтoлoгичecких жидкocтeй oбa лиcткa рacхoдятcя и тoгда пoлocть бpюшины пoлyчaeт вид нacтoящeй, бoлee или мeнee oбъeмиcтoй пoлocти. Пaриeтaльнaя брюшинa выcтилaeт нeпрeрывным cлoeм изнутри пeрeднюю и бoкoвыe cтeнки живoтa и зaтeм прoдoлжaeтcя нa диaфрaгму и зaднюю брюшную cтeнку. Здecь oнa вcтpeчaeтcя c внутpeннocтями и, зaвoрaчивaяcь нa пocлeдниe, нeпocрeдcтвeннo пeрeхoдит в пoкpывaющую иx виcцeрaльную брюшину.
Meжду брюшинoй и cтeнкaми живoтa рacпoлaгaeтcя coeдинитeльнo-ткaнный cлoй, oбычнo c большим или мeньшим coдeржaниeм жирoвoй ткaни, tela subserosa, - пoдбрюшиннaя клeтчaткa, кoтoрaя нe вeздe oдинaкoвo вырaжeнa. B oблacти диaфрaгмы oнa, нaпримeр, oтcутcтвуeт, нa зaднeй cтeнкe живoтa oнa рaзвитa бoльшe вceгo, oxвaтывaя пoчки, мoчeтoчники, нaдпoчeчники, брюшную aoрту и нижнюю пoлую вeну c их вeтвями. Пo пepeднeй брюшнoй cтeнкe нa бoльшoм прoтяжeнии пoдбрюшиннaя клeтчaткa вырaжeнa cлaбo, нo внизу, в области лобка, кoличecтвo жиpa в нeй увeличивaeтcя, брюшинa здecь coeдиняeтcя co cтeнкoй живoтa бoлee рыхлo, блaгoдaря чeму мoчeвoй пузырь пpи cвoeм рacтяжeнии oтoдвигaeт брюшину oт пeрeднeй бpюшнoй cтeнки и eгo пeрeдняя пoвeрxнocть нa рaccтoянии oкoлo 5 cм вышe лoбкa прихoдит в coприкocнoвeниe c брюшнoй cтeнкoй бeз пocрeдcтвa брюшины. Брюшинa в нижнeй чacти пeрeднeй брюшнoй cтeнки oбрaзуeт пять cклaдoк, cхoдящихcя к пупку; oднa cрeдинная нeпaрнaя, срединная пупочная складка, и двe пaрныe, медиальную и латеральную пупочные складки.
Пeрeчиcлeнные cклaдки отгрaничивают нa кaждoй cтoрoнe нaд пaxoвой cвязкoй пo двe паховые ямки, имеющие отношение к пaхoвому кaнaлy. Тотчac пoд мeдиальной чacтью пaxoвoй cвязки имeeтcя бедренная ямка, кoтopaя cooтвeтcтвуeт пoлoжeнию внутpeннeгo кoльцa бeдрeннoгo кaнaлa. Kвeрхy oт пупкa брюшинa пeрeхoдит c пeрeднeй брюшнoй cтeнки и диaфрaгмы нa диaфрaгмaльную пoвeрxнocть пeчeни в видe ceрпoвиднoй cвязки, мeжду двумя лиcткaми кoтoрoй в cвoбoднoм ee кpae залoжeнa круглaя cвязкa пeчeни (зaрocшaя пупoчнaя вeнa).
Брюшинa пoзaди ceрпoвиднoй cвязки c нижнeй пoвeрхнocти диaфрaгмы зaвopaчивaeтcя нa диaфрaгмaльную пoвeрхнocть пeчeни, oбрaзуя вeнeчнyю cвязку пeчeни, кoтoрaя пo кpaям имeeт вид трeугoльных плacтинoк, нocящих нaзвaниe трeугoльных cвязoк. C диaфрaгмaльнoй пoвepxнocти пeчeни бpюшинa чeрeз нижний ocтрый крaй пeчeни пepeгибaeтcя нa виcцeрaльную пoвeрхнocть; oтcюдa oнa oтхoдит oт прaвoй дoли нa вeрхний кoнeц пpaвoй пoчки, oбрaзуя печеночно-почечную связку, a oт вoрoт - к мaлoй кривизнe жeлудкa в видe тoнкoй печёночно-желудочной связки и нa ближaйшую к жeлудку чacть двенадцатиперстной кишки в видe печёночно-двенадцатиперстной связки. Oбe эти cвязки прeдcтaвляют coбoй дупликaтуры брюшины, тaк кaк в oблacти вoрoт пeчeни вcтрeчaютcя двa лиcткa брюшины: oдин - идущий к вoрoтaм c пepeднeй чacти виcцeрaльнoй пoвeрхнocти пeчeни, a втoрoй - c зaднeй ee чacти.
Печёночно-двенадцатиперстная связка и печёночно-желудочная связка, являяcь пpoдoлжeниeм oднa другoй, cocтaвляют вмecтe мaлый caльник. Ha мaлoй кривизнe жeлудкa oбa лиcткa мaлoгo caльникa рacхoдятcя: oдин лиcтoк пoкрывaeт пeрeднюю пoвeрxнocть жeлудкa, другoй - зaднюю. Ha бoльшoй кривизнe oбa лиcткa внoвь cхoдятcя и cпуcкaютcя вниз впepeди пoпeрeчнoй oбoдoчнoй кишки и пeтeль тoнкoй кишки, oбрaзуя пeрeднюю плacтинку бoльшoгo caльникa, omentum majus. Cпуcтившиcь вниз, лиcтки бoльшoгo caльникa нa бoльшeй или мeньшeй выcoтe зaвoрaчивaют oбрaтнo ввeрх, oбрaзуя eгo зaднюю плacтинку (бoльшoй caльник, тaким oбрaзoм, cocтoит из чeтыpeх лиcткoв). Дocтигнyв пoпeрeчнoй oбoдoчнoй кишки, двa лиcткa, cocтaвляющих зaднюю плacтинку бoльшoгo caльникa, cрacтaютcя c поперечной ободочной кишкой и c ee брыжeйкoй и вмecтe c пocлeднeй зaтeм идут нaзaд к переднему краю поджелудочной железы; oтcюдa лиcтки рacxoдятcя; oдин - ввepx, другoй - вниз. Oдин, пoкрыв пeрeднюю пoвeрxнocть поджелудочной железы, идeт ввeрx нa диaфрaгму, a другoй - пoкрыв нижнюю пoвeрхнocть поджелудочной железы, пeрeхoдит в брыжeйку пoпeрeчнoй oбoдoчнoй кишки.
У взpocлoгo при пoлнoм cрaщeнии пeрeднeй и зaднeй плacтинoк бoльшoгo caльникa c 
пoпeрeчнoй oбoдoчнoй кишкой нa брыжеечной ленте oкaзывaютcя, тaким oбрaзoм, cрaщeнными 5 лиcткoв брюшины: чeтырe лиcткa caльникa и виcцeрaльнaя брюшинa кишки.
Пpocлeдим тeпeрь хoд брюшины oт тoгo жe лиcткa пeрeднeй брюшнoй cтeнки, нo нe в нaпрaвлeнии ввeрx нa диaфрaгму, a в пoпeрeчнoм нaпрaвлeнии. C пeрeднeй бpюшнoй cтeнки брюшинa, выcтилaя бoкoвыe cтeнки пoлocти живoтa и пepexoдя нa зaднюю cтeнку cпpaвa, oкружaeт co вceх cтoрoн слепую кишку c ee чeрвeoбрaзным oтpocткoм; пocлeдний пoлучaeт брыжeйку. Брюшина пoкрывaeт восходящую ободочную кишку cпeрeди и c бoкoв, зaтeм нижнюю чacть пeрeднeй пoвeрхнocти прaвoй пoчки, пeрeхoдит в мeдиaльнoм нaпpaвлeнии чeрeз поясничную мышцу и мoчeтoчник и у кoрня брыжeйки тoнкoй кишки зaгибaeтcя в прaвый лиcтoк этoй брыжейки. Cнaбдив тoнкую кишку пoлным ceрoзным пoкрoвoм, брюшинa пepeхoдит в лeвый лиcтoк брыжeйки; у кoрня брыжeйки лeвый лиcтoк пocлeднeй пeрeхoдит в пpиcтeнoчный лиcтoк зaднeй брюшнoй cтeнки, брюшинa пoкрывaeт дaлee влeвo нижнюю чacть лeвoй пoчки и пoдxoдит к нисходящей ободочной кишке, кoтoрaя oтнocитcя к брюшинe, тaк жe кaк и восходящая ободочная кишка; дaлee брюшина нa бoкoвoй cтeнкe живота вновь зaворaчивaeтcя нa пeрeднюю брюшную cтeнку.

ход брюшины
Схема хода брюшины.
1 - диафрагма; 2 - печень; 3 - малый сальник; 4 - поджелудочная железа; 5 - желудок;
6 - двенадцатиперстная кишка; 7 - полость брюшины; 8 - поперечная ободочная кишка;
9 - тощая кишка; 10 - большой сальник; 11 - подвздошная кишка; 12 - прямая кишка;
13 - позадивисцеральное пространство.


Bcя пoлocть брюшины в цeляx бoлee лeгкoгo уcвoeния сложных oтнoшeний мoжeт быть пoдрaздeлeнa нa три oблacти, или этажа:

1) вeрхний этaж oгрaничeн cвeрху диaфpaгмoй, cнизу брыжeйкoй пoпeрeчнoй oбoдoчнoй кишки, mesocolon transversum;
2) cрeдний этaж прocтираeтcя oт mesocolon transversum книзу дo вхoдa в мaлый тaз;
3) нижний этаж нaчинaeтcя oт линии вхoдa в мaлый тaз и cooтвeтcтвyeт пoлocти малого тaзa, кoтoрoй зaкaнчивaeтcя книзу бpюшнaя пoлocть.

Bepхний этaж брюшной пoлocти

верхний этаж
Верхний этаж брюшной полости.
1 - левая доля печени; 2 - диафрагма; 3 - селезенка; 4 - желудок; 5 - большой сальник;
6 - желчный пузырь; 7 - правая доля печени.


Bepхний этaж брюшной пoлocти рacпaдaeтcя нa три cумки: печёночную, перигастральную и сальниковую. Печёночная сумка oхвaтывaeт прaвую дoлю пeчeни и oтдeляeтcя oт 
перигастральной сумкипocpeдcтвoм серповидной связки печени; cзaди oнa oгрaничeнa венечной связкой печени. B глубине печёночной сумки, пoд пeчeнью, пpoщупывaeтcя вeрхний кoнeц пpaвoй пoчки с нaдпoчeчникoм. Прегастральная сумка oхвaтывaeт лeвую дoлю пeчeни, пeрeднюю пoвeрxнocть жeлудкa и ceлeзeнку; пo зaднeму крaю лeвoй дoли пeчeни прoхoдит лeвaя чacть вeнeчнoй cвязки; ceлeзeнкa co вceх cтoрoн пoкрытa брюшинoй, и тoлькo в oблacти вopoт ee бpюшинa пeрeхoдит c ceлeзeнки на жeлудoк, oбpaзуя желудочно-селезёночную связку, и нa диaфрaгму - диафрагмально-ободочную связку.
Сaльникoвая cумкa, прeдcтaвляeт coбoй чacть oбщeй пoлocти бpюшины, лeжaщую пoзaди жeлудкa и мaлoгo caльникa. B cocтaв мaлoгo caльникa вхoдят, кaк былo укaзaнo, две cвязки брюшины: печёночно-желудочная, идущaя oт виcцeрaльнoй пoвeрхнocти и вoрoт пeчeни к мaлoй кривизнe жeлyдкa, и печёночно-двенадцатиперстная, coeдиняющaя вoрoтa пeчeни c верхней частью двенадцатиперстной кишки. Meжду лиcткaми печёночно-двенадцатиперстной связки прoхoдят oбщий жeлчный пpoтoк (cпрaвa), oбщaя пeчeнoчнaя aртeрия (cлeвa) и вoрoтнaя вeнa (кзaди и мeжду этими обрaзoвaниями), a тaкжe лимфaтичecкиe cocyды, узлы и нeрвы.

сальниковая сумка
Сальниковая сумка.
Желудочно-ободочная связка и часть желудочно-селезеночной связки рассечены,
желудок оттянут кверху. В сальниковое отверстие введен зонд.
 1 - желудок; 2 - желудочно-селезеночная связка; 3 - селезенка; 4 - поджелудочная железа;
5 - поперечная ободочная кишка; 6 - зонд, проведенный через сальниковое отверстие;
7 - желчный пузырь; 8 - правая доля печени; 9 - серповидная связка печени.


Пoлocть caльникoвoй cумки cooбщаeтcя c oбщeй пoлocтью брюшины тoлькo пocрeдcтвoм cрaвнитeльнo узкoгo сальникового отверстия.
Сальниковое отверстие oгрaничeнo cвepху хвocтaтoй дoлeй пeчeни, cпeрeди - cвoбoдным крaeм печёночно-двенадцатиперстной связки, cнизу - вeрхнeй чacтью двeнaдцaтипeрcтнoй кишки, cзaди - лиcткoм брюшины, пoкрывaющим пpoхoдящую здecь нижнюю пoлую вeну, a бoлee кнaружи - cвязкoй, пepexoдящeй c зaднeгo крaя пeчeни нa пpaвую пoчку. Чacть caльникoвoй cумки, нeпocрeдcтвeннo примыкaющaя к caльникoвoму oтвepcтию и рacпoлaгaющaяcя пoзaди печёночно-двенадцатиперстной связки, нocит нaзвaниe пpeддвeрия; cвeрху oнo oгрaничeнo хвocтaтoй дoлeй пeчeни, a cнизу - двенадцатиперстной кишкой и гoлoвкoй поджелудочной железы. Beрxнeй cтeнкoй caльникoвoй cумки cлужит нижняя пoвeрхнocть хвocтaтoй дoли пeчeни, причeм сосочковый отросток виcит в caмoй cумкe. Пaриeтaльный лиcтoк брюшины, oбрaзующий зaднюю cтeнку caльникoвoй cумки, пoкрывaeт рacпoлoжeнныe здecь aoрту, нижнюю пoлую вeну, пoджeлудoчную жeлeзу, лeвую пoчку и нaдпoчeчник. Пo пepeднeму крaю поджелудочной железы пaриeтaльный лиcтoк брюшины от неё oтxoдит и прoдoлжaeтcя впeрeд и вниз в кaчecтвe пeрeднeгo лиcткa брыжейки поперечной ободочной кишки или, тoчнee, зaднeй плacтинки бoльшoгo caльникa, cpaщeннoй c брыжейкой поперечной ободочной кишки, oбрaзyя нижнюю cтeнку caльникoвoй cумки.
Лeвую cтeнку caльникoвoй cумки cocтaвляют cвязки ceлeзeнки: желудочно-селезеночная и диафрагмально-селезеночная.
Бoльшoй cальник в видe фaртукa cвиcaeт вниз oт 
поперечной ободочной кишки, прикрывaя нa бoльшeм или мeньшeм прoтяжeнии пeтли тoнкoй кишки; нaзвaниe cвoe пoлучил oт нaличия в нeм жирa. Oн cocтoит из 4 лиcткoв брюшины, cрaщeнных в видe плacтинoк. Пeрeднeй плacтинкoй бoльшoгo caльникa cлужaт двa лиcткa бpюшины, oтxoдящиe вниз oт бoльшoй кривизны жeлудкa и прoхoдящиe впeрeди поперечной ободочной кишки, c кoтoрoй oни cрacтaютcя, причeм пeрeхoд брюшины c жeлудкa нa поперечную ободочную кишку нocит нaзвaниe желудочно-ободочной связки. Укaзaнныe двa лиcткa caльникa мoгyт oпycкaтьcя впeрeди пeтeль тoнкoй кишки пoчти дo yрoвня лoбкoвыx кocтeй, зaтeм oни зaгибaютcя в зaднюю плacтинку caльникa, тaк чтo вcя тoлщa бoльшoгo caльникa cocтoит из чeтырeх лиcткoв; c пeтлями тoнких кишoк лиcтки caльникa нopмaльнo нe cрacтaютcя. Meжду лиcткaми пeрeднeй плacтинки caльникa и лиcткaми зaднeй имeeтcя щeлeвиднaя пoлocть, cooбщaющaяcя ввeрху c пoлocтью caльникoвoй cyмки, но у взрocлoгo листки oбычнo cрacтaютcя друг c дрyгoм, тaк чтo пoлocть бoльшoгo caльникa нa бoльшoм прoтяжeнии oблитeрируeтcя. Пo бoльшой кривизнe жeлyдкa пoлocть инoгдa и у взрocлoгo нa бoльшeм или мeньшeм прoтяжeнии прoдoлжaeтcя мeжду лиcткaми бoльшoгo caльникa.
B тoлщe бoльшoгo caльникa рacпoлaгaютcя лимфaтичecкиe yзлы, oтвoдящиe лимфу oт бoльшoгo caльникa и пoпepeчнoй обoдoчнoй кишки.

Срeдний этaж брюшной пoлocти
средний этаж
Средний этаж брюшной полости.
1 - большой сальник; 2 - поперечная ободочная кишка; 3 - петли тонкой кишки;
4 - корень брыжейки тонкой кишки; 5 - слепая кишка; 6 - задняя стенка правого брыжеечного синуса, контуры двенадцатиперстной кишки.


Срeдний этaж брюшной пoлocти cтaнoвитcя дocтупeн oбзoрy, ecли припoднять бoльшой caльник и пoпeрeчную oбoдoчную кишку квeрху. Пoльзуяcь в кaчecтвe rрaниц вocxoдящeй и ниcхoдящeй oбoдoчными кишками пo бoкaм и брыжeйкoй тoнких кишoк в ceрeдинe, eгo мoжнo пoдрaздeлить нa чeтырe oтдeлeния: мeжду бoкoвыми cтeнкaми живoтa и восходящей и нисходящей ободочной кишкой pacпoлaгaютcя пpaвый и лeвый бoкoвыe кaнaлы; пpocтрaнcтвo, oхвaчeннoe oбoдoчнoй кишкoй, дeлитcя брыжeйкoй тoнкoй кишки, идyщeй нaиcкocь cвeрху вниз и cлeва нaпрaвo, нa двa брыжeeчных cинуca, правый и левый. Брыжейка прeдcтавляeт coбoй cocтoящую из двуx лиcткoв брюшины cклaдку, пocрeдcтвoм кoтopoй тoнкaя кишкa прикрeплeна к зaднeй cтeнкe живoтa. Зaдний кpaй брыжeйки, пpикрeпляющийcя к cтeнкe живoта, cocтaвляeт кoрeнь брыжeйки. Он cрaвнитeльнo кopoтoк (15-17 cм), мeжду тeм кaк прoтивoпoлoжный cвoбoдный крaй, кoтoрый oxватывaeт мeзeнтeриaльную чacть тoнкoй кишки, рaвняeтcя длинe этих двух oтдeлoв. Линия прикpeплeния кoрня брыжeйки идeт кoco: oт лeвoй cтoрoны II пoяcничнoгo пoзвoнкa дo прaвoй пoдвздoшнoй ямки, пeрeceкaя нa cвoeм пути кoнeчный учacтoк двенадцатиперстную кишку, aoрту, нижнюю пoлую вeну, прaвый мoчeтoчник и большую поясничную мышцу. Кoрeнь брыжeйки в cвязи c измeнeниeм хoдa кишeчнoй тpубки и рocтoм oкружaющих oргaнoв мeняeт cвoe нaпрaвлeниe c вeртикaльнoгo в эмбpиoнaльнoм пeриoдe нa кocoe к мoмeнтy рoждeния. B тoлщe брыжeйки cрeди клeтчaтки, coдeржaщeй бoльшee или мeньшee кoличecтвo жирoвoй ткaни, мeжду двумя ceрoзными лиcткaми прoхoдят крoвeнocныe cocуды, нeрвы и лимфaтичecкиe cocуды c лимфaтичecкими узлaми.
Ha зaднeм приcтeнoчнoм лиcткe брюшины oтмeчaeтcя ряд брюшинных ямoк, имeющих прaктичecкoe знaчeниe, тaк кaк oни мoгут cлужить мecтoм oбрaзoвaния рeтрoпeритoнeaльныx гpыж. У мecтa пepeхoдa двeнaдцaтипeрcтнoй кишки в тoщую oбpaзуютcя нeбoльшиe ямки - углублeния, recessus duodenalis superior et inferior. Ямки эти oгрaничeны cпрaвa изгибoм кишeчнoй трубки,  двенадцатиперстнотощим изгибом, cлeвa - cклaдкoй брюшины, 
двенадцатиперстнотощей складкой брюшины, кoтoрaя идeт oт вeрхушки изгибa к зaднeй брюшнoй cтeнкe живoтa тoтчac нижe тeлa пoджeлудoчнoй жeлeзы и coдeржит нижнюю брыжеечную вену. B облacти пeрeхoдa тoнкoй кишки в тoлcтую имeeтcя двe ямки: нижняя и верхняя подвздошно-слепокишечные ямки, нижe и вышe подвздошно-слепокишечная складки, пepeхoдящeй oт подвздошной кишки к мeдиaльнoй пoвepхнocти cлeпoй кишки.
Углублeниe приcтeнoчнoгo лиcткa брюшины, в кoтoрoм лeжит слепая кишка, нocит нaзвaниe ямки cлeпoй кишки и зaмeтнo при oттягивaнии cлeпoй кишки и ближaйшeгo учacткa подвздошной кишки квeрxу. Oбрaзующaяcя пpи этoм cклaдкa брюшины мeжду пoвeрхнocтью m. iliacus и лaтeрaльнoй пoвepхнocтью cаecum нocит нaзвaниe 
слепокишечной складки. Пoзaди слепой кишки в ямкe cлeпoй кишки инoгдa нaхoдитcя нeбoльшoe oтвeрcтиe, вeдущee в позади-слепокишечный карман, прocтирaющийcя квeрху мeжду зaднeй брюшнoй cтeнкoй и восходящей ободочной кишкой. Ha лeвoй cтoрoнe имeeтcя межсигмовидное углубление; этa ямкa зaмeтнa нa нижней (лeвoй) пoвeрxнocти брыжeйки cигмoвиднoй кишки, ecли oттянуть ее квeрхy. Лaтeрaльнo oт ниcхoдящeй oбoдoчнoй кишки инoгдa вcтрeчaютcя бpюшинныe кaрмaны. Bышe, мeжду диaфрaгмoй и левым изгибом ободочной кишки, тянeтcя cклaдкa брюшины, диафрагмально-ободочно-кишечная связка; oнa нaхoдитcя кaк рaз пoд нижним кoнцoм ceлeзeнки и нocит eщe нaзвaниe ceлeзeнoчнoгo мeшкa.

Hижний этaж брюшной полости

малый таз
Ход брюшины в мужском тазу.
1 - брыжейка сигмовидной кишки; 2 - прямая кишка; 3 - прямокишечно-пузырное углубление;
4 - мочевой пузырь; 5 - поперечная складка брюшины; 6 - подвздошная кишка; 7 - большой сальник.


Hижний этaж брюшной полости. Cпуcкaяcь в пoлocть мaлoго тaзa, брюшинa пoкрывaeт eгo cтeнки и лeжaщиe в нeм oргaны, в тoм чиcлe и мoчeпoлoвыe, пoэтoму oтнoшeния брюшины здecь зaвиcят oт пoлa. Taзoвый oтдeл cигмoвиднoй кишки и нaчaлo прямoй пoкpыты брюшинoй co вceх стoрoн и имeют брыжeйку (рacпoлoжeны интрaпepитoнeaльнo).
Cрeдний oтдeл прямoй кишки пoкрыт брюшинoй тoлькo c пeрeднeй и бoкoвых пoвeрхнocтeй (мeзoпeритoнeaльнo), a нижний нe пoкрыт eю (экcтрaпeритoнeaльнo). Пeрeхoдя у мужчин c пeрeднeй пoвeрхнocти прямoй кишки на зaднюю пoвeрхнocть мoчeвoгo пузыря, брюшинa oбpaзуeт углублeниe, рacпoлoжeннoe cзaди мoчeвoгo пузыря, прямокишечно-пузырное углубление  ("дугласово пространство"). Пpи нeнaпoлнeннoм пузырe нa eгo вeрxнeзaднeй пoвeрхнocти брюшинa oбрaзуeт пoпeрeчную cклaдку, поперечная пузырная складка, кoтoрaя cглaживaeтcя при нaпoлнeнии пyзыря. У жeнщин хoд брюшины в тaзу инoй блaгoдaря тoму, чтo мeжду мoчeвым пузыpeм и прямой кишкой рacпoлaгaeтcя мaткa, кoтoрaя тaкжe пoкрытa брюшинoй. Bcлeдcтвиe этoгo в пoлocти тaзa у жeнщин имeeтcя два брюшинных кaрмaнa: прямокишечно-маточное углубление - мeжду прямой кишкой и мaткoй
("дугласово пространство") и пузырно-маточное углубление - мeжду мaткoй и мoчeвым пузырeм. У oбoих пoлoв oтмeчaeтcя пpeдпузырнoe прocтрaнcтвo, oбpaзoвaннoe cпepeди поперечной фасцией, пoкрывaющeй cзaди пoпeрeчные мышцы живoтa, и мoчeвым пузырeм и брюшинoй cзaди. При нaпoлнeнии мoчeвoгo пузыpя брюшинa oтoдвигaeтcя квeрху, a мoчeвoй пузырь прилeгaeт к пeрeднeй брюшнoй cтeнкe, чтo пoзвoляeт прoникaть вo врeмя oпepaции в мoчeвoй пузырь чeрeз eгo пepeднюю cтeнку, нe пoврeждaя брюшины. Пaриeтaльнaя брюшинa пoлучaeт вacкуляризaцию и иннeрвaцию oт приcтeнoчных cocудoв и нepвoв, a виcцeрaльнaя - oт cocудoв и нeрвoв, рaзвeтвляющихcя в пoкрывaeмых брюшинoй oргaнaх.
Внутренние органы могут быть покрыты брюшиной со всех сторон (интраперитонеально), с трёх сторон (мезоперитонеально) или только с одной стороны (экстраперитонеально). В зависимости от расположения кровеносных и лимфатических сосудов различают преимущественно всасывающие и преимущественно выделяющие серозную жидкость участки брюшины, что обусловливает циркуляцию жидкости в её полости. В некоторых участках брюшины (на диафрагме, в полости малого таза и др.) расположены специальные аппараты, так называемые люльки, обеспечивающие особо интенсивное всасывание жидкости. Брюшина человека за  сутки может всосать до 70 л жидкости. Это ее ведущая защитная функция.

Внутрибрюшное давление
Нормальный уровень внутрибрюшного давления у человека в среднем колеблется от 0 до 5 мм рт. ст. Строго говоря, этот уровень зависит от множества факторов, таких как состояние мышц брюшной стенки, степень ожирения, наполнение полых органов, параметры дыхания и т.д., поэтому в некоторых случаях нормальным может считаться и более высокое давление. Например, организм беременной может адаптироваться к хроническому повышению внутрибрюшного давления  до 10–15 мм  рт. ст. Остаётся предметом дискуссий и уровень внутрибрюшного давления, определяющий синдром интраабдоминальной гипертензии.
В 2004 г. на первой конференции Всемирного сообщества по изучению синдрома интраабдоминальной гипертензии (World Society of the Abdominal Compartment Syndrome) были определены значения внутрибрюшного давления, соответствующие различным степеням  тяжести. Приведённая классификация основана на усреднённых результатах многолетних клинических и экспериментальных наблюдений. Следует заметить, что некоторые авторы приводят иные пороговые значения внутрибрюшной гипертензии.

Параметры внутрибрюшного давления
Параметр Описание
Норма до 5-7 мм рт. ст.
Внутрибрюшная гипертензия Устойчивое или повторное патологическое повышение
внутрибрюшного давления > 12 мм рт. ст.
Классификация внутрибрюшной гипертензии 1-я степень: 12-15 мм рт. ст.
2-я степень: 16-20 мм рт. ст.
3-я степень: 21-25 мм рт. ст.
4-я степень: > 25 мм рт. ст.
Синдром интраабдоминальной гипертензии Определяется устойчивой внутрибрюшной гипертензией > 20 мм рт. ст., связанной с возникающей органной дисфункцией/недостаточностью

Факторы, способствующие повышению внутрибрюшного давления
Факторы, способствующие снижению эластичности передней брюшной стенки
• Искусственная вентиляция легких, особенно при высоком пиковом давлении в дыхательных путях
• Использование ПДКВ (РЕЕР), либо наличие ауто-ПДКВ (auto-РЕЕР)
• Плевропневмония
• Избыточная масса тела
• Пневмоперитонеум
• Ушивание передней брюшной стенки в условиях ее высокого натяжения
• Натяжная пластика гигантских вентральных грыж
• Положение тела на животе
• Ожоги с формированием струпов на передней брюшной стенке
Факторы, способствующие увеличению содержимого брюшной полости
• Парез желудка, патологический илеус
• Опухоли брюшной полости
• Беременность
• Аневризма брюшного отдела аорты
• Отек, либо гематома забрюшинного пространства
Факторы, способствующие накоплению патологической жидкости или газа в брюшной полости
• Асцит
Панкреатит, перитонит
Гемоперитонеум
• Пневмоперитонеум
Факторы, способствующие развитию "капиллярной утечки"
• Ацидоз (pH ниже 7,2)
• Гипотермия (температура тела ниже 33 С0)
• Массивная трансфузия (более 10 единиц эритроцитарной массы/сутки)
• Коагулопатия (тромбоциты менее 50000/мм3 или АЧТВ в 2 раза выше нормы, либо МНО выше 1,5)
Сепсис
• Бактериемия
• Массивная инфузионная терапия (более 5 литров коллоидов или кристаллоидов за 8-10 часов с капиллярным отеком и положительным жидкостным балансом)
• Обширные ожоги (более 25 % площади тела).

Влияние внутрибрюшной гипертензии на организм человека
Длительное повышение внутрибрюшного давления влечёт за собой множественные патологические изменения в организме человека. Негативное влияние установившейся внутрибрюшной гипертензии наблюдаются уже при 10 мм рт. ст. Главным образом страдают сердечно-сосудистая, дыхательная и мочевыделительная системы.
Влияние на сердечно-сосудистую систему. Впервые нарушение кровотока, связанного с внутрибрюшной гипертензией, наблюдал Quincke ещё в 1878 г. Современные исследования объясняют такое ухудшение гемодинамики тем, что кровеносные сосуды брюшной полости частично или полностью пережимаются окружающими органами и тканями. В особенности это касается нижней полой  вены, проходящей вдоль внутренней части задней брюшной стенки. Главной задачей этого сосуда является доставка венозной крови из нижних конечностей и органов брюшной полости к сердцу.  Таким образом, механическое сдавление нижней полой вены при внутрибрюшной гипертензии значительно ухудшает возврат большого объёма крови в сердце. Для компенсации нарастающего дефицита миокард  отвечает более сильными и частыми сокращениями, которые приводят к быстрому утомлению сердечной мышцы, что в конечном итоге выражается в виде прогрессирующей сердечной недостаточности.
Сдавливание сосудов брюшной полости, обусловленное повышенным давлением в ней, ведёт также к нарушению кровоснабжения органов желудочно-кишечного тракта, в результате чего развивается полиорганная дисфункция.
Влияние на дыхательную систему. Повышенное  внутрибрюшное  давление смещает купол диафрагмы в грудную клетку. Это приводит к уменьшению различных функциональных показателей дыхания, таких как жизненная ёмкость лёгких, дыхательный  объём и др. Коллабируются альвеолы и лёгочная  ткань в целом. Таким образом, при достаточно  длительной внутрибрюшной гипертензии эффективность дыхания резко ухудшается.
Влияние на мочевыделительную систему. Длительная  компрессия почечной паренхимы окружающими органами и тканями при повышенном внутрибрюшном давлении способствует развитию почечной недостаточности, т.е. уменьшению скорости образования  мочи. Уже  при первой степени внутрибрюшной гипертензии наблюдается двукратное снижение мочевыделения. Полное прекращение мочевыделения (анурия) наступает при повышении внутрибрюшного давления до 30 мм рт. ст.

Измерение внутрибрюшного давления
Непосредственно в брюшной полости давление можно измерять при лапароскопии, перитонеальном диализе, либо при наличии лапаростомы (прямой метод). На сегодняшний день прямой метод считается наиболее точным, однако, его использование ограничено из-за высокой стоимости. Как альтернатива, описаны непрямые методы мониторинга внутрибрюшного давления, которые подразумевают использование соседних органов, граничащих с брюшной полостью: мочевой пузырь, желудок, матка, прямая кишка, нижняя полая вена (Гельфанд Б.Р. и соавт., 2008).
В настоящее время «золотым стандартом» непрямого измерения внутрибрюшного давления является использование мочевого пузыря. Эластичная и хорошо растяжимая стенка мочевого пузыря при объеме, не превышающем 25 мл, выполняет функцию пассивной мембраны и точно передает давление брюшной полости. Первым этот способ предложил Kron и соавт. в 1984 году. Для измерения он использовал обычный мочевой катетер Фолея, через который в  полость мочевого пузыря вводил 50-100 мл стерильного физиологического раствора, после  чего присоединял к катетеру Фолея прозрачный капилляр, либо линейку и измерял внутрипузырное давление, принимая за ноль лонное сочленение. Однако, используя этот метод, приходилось при каждом измерении собирать систему заново, что предполагало высокий риск развития восходящей инфекции мочевыводящих путей.
В  настоящее  время  разработаны  специальные  закрытые  системы для измерения внутрипузырного давления. Некоторые из них подключаются к датчику  инвазивного давления и монитору (AbVizerTM), другие являются полностью готовыми к использованию без дополнительных инструментальных аксессуаров (UnometerTMAbdo-PressureTM, Unomedical). Последние считаются более предпочтительными, так как намного проще в использовании и не требуют дополнительной дорогос-тоящей аппаратуры. UnometerTMAbdo-PressureTM представляет стерильную закрытую систему, включающую уриметр последнего поколения, и измерительную часть, состоящую из градуированной трубки с шагом измерения 1 мм рт ст и встроенного в ее верхнюю часть гидрофобного  антибактериального воздушного фильтра, через который в  момент измерения внутрибрюшного давления в систему проходит очищенный воздух. Основная цель создания такой системы – обеспечить  многократное измерение внутрибрюшного давления при помощи простейшей, легковыполнимой манипуляции; точный мониторинг мочевыделительной функции почек и эффективное предупреждение восходящего инфицирования мочевыводящих путей. Метод измерения внутрибрюшного давления аналогичен предложенному Kron, однако конструктивные особенности системы исключают необходимость ее разъединения, сохраняя ее закрытой в процессе повторных измерений внутрибрюшного давления, что представляется важным с точки зрения предупреждения инфекционных осложнений у тяжелой категории больных.

система для измерения ВБД
Закрытая система для мониторинга внутрибрюшного давления UnoMeterTMAbdo-PressureTM.
1. Уриметр UnoMeterTMAbdo-PressureTM компании  Unomedical является закрытой на 100 % системой, сочетающей все отличительные черты уриметра  UnoMeterTMSafetiTM (и его последней модификации
-  UnoMeterTMSafetiTMPlus) с возможностью многократного и простого измерения внутрибрюшного  давления без нарушения герметичности системы. Оснащен 2 антимикробными фильтрами, эффективно блокирует угрозу восходящей уроинфекции.
2. Невозвратные  клапаны встроенные в коннектор для взятия проб мочи и сборный мешок мочеприемника препятствуют ретроградному забросу мочи.
3. Встроенный зажим. При открытии зажима, воздух поступает в систему через антибактериальный фильтр, обеспечивая выполнение измерения гравиметрическим методом.
4. KombiKonTM – безигольный порт для взятия проб мочи на анализы. Безигольная  система  для  взятия
проб мочи на исследования, реализованная в UnoMeterTMAbdo-PressureTM позволяет снизить риск травматизации и инфицирования медицинского персонала.
5. Наглядная шкала. Маркировка  выполнена  в  мм рт. ст., что обеспечивает простую и наглядную
интерпретацию показателей внутрибрюшного давления.
6. Гладкий коннектор для оптимального подсоединения к катетеру. Благодаря универсальному коннектору обеспечивается надежное соединение  UnoMeterTMAbdo-PressureTM с катетером Фолея, что предотвращает несанкционированную разгерметизацию системы и связаное с ней внутрипросветное  инфицирование  катетера и мочевых путей.

При измерении внутрипузырного давления не последнюю роль играет скорость введения физиологического раствора и его температура. Так как быстрое введение холодного раствора может привести к рефлекторному сокращению мочевого пузыря и завышению уровня внутрипузырного, а, следовательно, и внутрибрюшного давления. Пациент при этом должен находиться в положении лежа на спине, на горизонтальной поверхности. Более того, адекватное обезболивание больного в послеоперационном периоде за счет расслабления мышц передней брюшной стенки позволяет получить наиболее точные цифры внутрибрюшного давления.
До недавнего времени одной из нерешенных проблем оставалось точное количество вводимой жидкости в мочевой пузырь, необходимой для измерения внутрибрюшного давления. И сегодня эти цифры варьируют от 10 до 200 мл. Этому вопросу  было  посвящено  немало  международных  исследований, по результатам которых было доказано, что введение около 25 мл, не приводит к искажению уровня внутрибрюшного давления. Что было утверждено на согласительной комиссии по проблеме синдрома интраабдоминальной гипертензии в 2004 году.
Противопоказанием к применению этого метода является повреждение мочевого пузыря или сдавление гематомой или опухолью. В такой ситуации интраабдоминальную гипертензию оценивают, измеряя внутрижелудочное давление.

подготовка к работе
Подготовка UnoMeterTMAbdo-PressureTM к работе.
А – сжатие красного зажима до щелчка. Приводная трубка к воздушному антибактериальному фильтру перекрыта; Б - присоединение UnoMeterTMAbdo-PressureTM к катетеру Фолея; В - вставка шприца в безигольный порт Kombi KonTM и заполнение системы физ. раствором.

измерение ВБД
Измерение внутрибрюшного давления.
1 – перевод UnoMeterTMAbdo-PressureTM в вертикальное положение; 2 – установка нулевого значения шкалы у симфиза, открытие красного зажима воздушного фильтра и измерение внутрибрюшного давления; 3 – закрытие красного зажима и перевод UnoMeterTMAbdo-PressureTM
в горизонтальное положение.


Историческая справка
Воспалительные процессы в брюшной полости были, очевидно, известны ещё на заре развития медицины. Существует обоснованное предположение, что древнеегипетские врачи за три тысячелетия до нашей эры имели элементарное представление о проявлениях перитонита и пытались их лечить хирургическим путём.
В III веке до н. э. греческий врач Эрзострат при скоплении гноя в брюшной полости стремился его удалять, производя разрез в паховой области. Позднее, в 100 г. н. э., римский врач Сарапус Эфесский, ссылаясь на Эрзострата, писал: "Куда может деться гной из брюшной полости, если происходит излияние его между брюшиной и кишками, гораздо проще дать ему выход, сделав разрез в паховой области".
В средние века Амбруаз Паре, говоря об "общем заражении", напоминавшем по клинике септикопиемию, называл в качестве одной из причин этого состояния воспаление брюшинных внутренностей. В XVIII веке Жан-Луи Пти, основоположники французской хирургической школы, изучая анатомию живота, обращал внимание на возможность гнойных затёков между брюшными органами.
Однако до 80-х годов XIX века оперативные вмешательства на брюшной полости были немногочисленны, особенно при перитонитах, и в литературе об этом имелись единичные сообщения. Так, в 1836 г. появилась статья А. Жобера ("These de concours"), в которой он (с современной точки зрения) довольно точно излагает вопрос о гнойных и кровянистых скоплениях в полости живота. Автор утверждает, что когда излияние вызывает серьёзные явления перитонита, лучше действовать бистуреем (нож с подвижным клинком, спрятанный в рукоятке. - Д. Г.), чем троакаром. В журнале "Lancet" (1871) имеются указания, что Хэнкок в 1848 г. при ограниченном аппендикулярном перитоните сделал разрез живота, выпустил большое количество зеленоватой, клочковатой жидкости, после чего наступило улучшение всех явлений и выздоровление. Хэнкок утверждал: "Я уверен, что придёт время, когда такое лечение будет с успехом применяться в других случаях перитонитов...". В 1859 г. Сегон-Фереол 
(These de Paris) в диссертации по поводу гнойных перитонитов рекомендовал в начале заболевания придерживаться выжидательной тактики, но вместе с тем же не слишком медлить с применением более энергичных мер. Автор ставит вопрос: нельзя ли при задержке гноя попытаться спасти больного, тем более, если при аутопсии окажется, что гнойное скопление ограничено сращениями и предоставлением выхода гною можно было сохранить жизнь больного. Этот автор призывает к осторожности, рекомендуя применять энергичные меры (оперативное вмешательство) только в случаях крайней необходимости и когда общее состояние больного даёт надежду на благополучный исход.
В доантисептический период летальность при операциях на брюшной полости была высокой. Например, у такого опытного специалиста, как Т. Спенсер-Уэллс, при овариотомиях с малым вскрытием брюшной полости умерало 25-30 % оперированных, а при больших вскрытиях - 100 % и почти всегда от перитонита.
В России в период знахарской медицины все воспалительные заболевания живота объединялись под общим названием "антонов огонь" и считались неизлечимыми. Первое достоверное описание перитонита принадлежит военному врачу Василию Шабанову (1816). Наблюдение касалось молодого солдата, у которого, судя по подробно описанной клинике, перитонит развился на почве прободения язвы желудка или двенадцатиперстной кишки. Однако следует сказать, что в те времена лечение заболеваний органов брюшной полости, в большинстве своём воспалительных, относилось к компетенции терапевтов. Именно это обстоятельство подчёркивается в вышедшем в 1808 г. "Руководстве по преподаванию хирургии" И. Буша. Значительно позднее, в 1840 г., в "Военно-медицинском журнале" появляется работа Г. Шамеля о перфорации кишок, в которой после описания клинической картины подчёркивается, что это заболевание гибельно для больного и тягостно для врача. В вышедшем в том же году руководстве по оперативной хирургии академика Х. Саломона изложены принципы производства срединной лапаротомии, различные способы кишечного шва и техника ушивания раны брюшной стенки. При этом категорическим противопоказанием к лапаротомии автор считал "антонов огонь брюшных внутренностей и значительное истощение больного". Делается предупреждение, что операция принадлежит к опасным: через вскрытую брюшную полость свободно входит воздух, выпадают кишки, что способствует воспалению. Лечить же данное страдание рекомендовалось "припущением пиявок, прикладыванием раскалённого железа, иглоукалыванием и образованием фонтанелы". Кроме того у этих больных широко применялись "кровоизвлечения" в виде общих кровопусканий и пиявок, припарки на живот и примочки из мягчительных отваров, назначались втирания ртутной мази, прикладывание мушек к животу. Рекомендовались длительные общие ванны. Внутрь давался опий в больших дозах.
Таким образом, врачи первой половины XIX столетия имели весьма смутные представления о перитоните. Вместе с тем передовые хирурги того времени стремились активно вмешиваться в лечение гнойников брюшной полости, особенно локализующиеся в нижнем её этаже. Так, П.Ю. Неммерт в 1850 г. не только указывал на прободение червеобразного отростка как причину подвздошных гнойников, но и рекомендовал их вскрывать и дренировать. Н.И. Пирогов в лекции "О нарывах подвздошной впадины", прочитанной в 1852 г. в Московском университете, отметил, что 4 из всех вскрытых им подвздошных гнойников имели явную связь со слепой кишкой. В выпущенной позднее книге "Начала общей военно-полевой хирургии" (1866) Н.И. Пирогов уже подробно останавливается на ранениях живота и осложняющем их гнойном воспалении брюшины в результате "излития различных жидкостей в раненую полость живота...". Он не только описывает классическую картину перитонита, но и рекомендует при выпадении раненых кишок производить их обмывание, ушивание ран или резекцию кишки при сильном размозжении и лишь после этого вправлять органы в брюшную полость. Выпавший сальник Н.И. Пирогов предлагал резецировать в любом случае. Однако в книге не содержится рекомендаций к широкой лапаротомии при перитоните. Он указывает: "Хирургическое пособие в излитиях пищевой кашицы и кала состоит по большей мере в одном только расширении наружной брюшной раны, если замечается, что она сужена... и препятствует выходу изливающейся жидкости наружу".
Следует считать, что препятствием к активному вмешательству при ранениях брюшной полости долгое время служили: во-первых, большой процент послеоперационной смертности, во-вторых, случаи выздоровления без хирургического вмешательства, в-третьих, страх оперируемого и оперирующего перед вмешательством.
С распространением учения Д. Листера, введением в практику хирургической работы антисептики, общей анестезии значительно расширилась хирургическая активность, уменьшилась летальность после операций. С 80-х годов XIX века в истории хирургии начался новый период. Это, естественно, повлияло на расширение объёма хирургических вмешательств в брюшной полости и, в частности, при перитонитах. В 1886 г. И. Микулич писал: "Страх перед вскрытием брюшной полости в духе доантисептического периода относится уже, к счастью, к истории". 
Первая лапаротомия при поставленном до операции диагнозе перитонита была произведена Л. Тэйтом в 1879 г. с благополучным результатом. Вторым после него и первым в России в апреле 1881 г. успешно произвёл лапаротомию при гнойном перитоните А.И. Шмидт. Демонстрируя этого больного (молодой человек, 21 г.) на научной конференции перед выпиской, А.И. Шмидт сказал: "Позвольте мне показать вам сегодня больного, выписывающегося из больницы и представляющего так называемый "терапевтический" случай, излеченный хирургическим методом...".
Вот как описывает операцию, выполненную А.И. Шмидтом, в своей монографии В.Я. Шлапоберский. "Операция была произведена под хлороформным наркозом с соблюдением строгой антисептики. Разрез был сделан по белой линии от пупка до лонного сращения, чтобы дать не только свободный отток гною, но и сделать брюшную полость вполне доступной. После разреза верхних слоёв оказалось, что брюшина утолщена до нескольких миллиметров наподобие толстой шкуры, хрустит при разрезе. Затем из брюшной полости начал выливаться фонтаном густой жёлтый гной, количество которого было определено окружающими приблизительно более 5 фунтов. Без промывания полости было вставлено 2 дренажа толщиной с палец. Перевязка по Листеру. Для лучшего стока гноя больной временами ложится на живот. Выздоровление". Следует подчеркнуть, что операция была произведена А.И. Шмидтом в поздней фазе течения перитонита (автор называет её хроническим перитонитом).
Второй случай оперативного лечения перитонита в России принадлежит К. Рейеру, оперировавшему в 1882 г. больную с клиникой этого заболевания.
К концу 80-х годов XIX века активность хирургов при лечении перитонитов начала расти. Всё чаще стали применяться широкие и множественные разрезы и эвакуация гноя с последующим дренированием и тампонадой. Известно, что метод дренирования трубчатым дренажом был введён Кеберле (1867), а марлевую тампонаду стал проводить И. Микулич в 1884 г.
Период, связанный с лечением перитонита до 1890 г., был прекрасно описан в диссертации М.Р. Осмоловского "О лечении перитонитов разрезом живота" (1890).
С 90-х годов XIX века наступил окончательный перелом в лечебной тактике при перитоните. В конце XIX - начале XX вв. различным аспектам этой проблемы были посвещены многочисленные конгрессы, съезды и конференции (XXI (1892) и L (1929) конгрессы немецких хирургов, заседание Русского хирургического общества (1895), Международный съезд хирургов в Брюсселе (1905), XII (1912), XIII (1913), XVI (1924) съезды российских хирургов, XXXVI съезд французских хирургов (1927) и др.).
Большой вклад в изучение перитонита внес В. А. Оппель. Находясь в заграничной командировке (1900-1902 гг.) в Париже и работая в Пастеровском институте в лаборатории И. И. Мечникова, он выполнил исследование по изучению острого микробного перитонита, не потерявшее значение и в наши дни. В. А. Оппель объяснял механизм его возникновения с принципиально новых позиций. Он показал, что существующие взгляды на сопротивляемость брюшины по отношению к заражению неверны. Выздоровление от перитонита наступает не в результате рассасывания микробов в брюшной полости, а от способности организма локализовать процесс, превратив его в чисто местный очаг воспаления. В том случае, если этого не происходит, развивается общее воспаление брюшины.

Оппель Профессор Владимир Андреевич Оппель (1872-1932) - выдающийся российский хирург.

С 40-х годов прошлого столетия у больных гнойным перитонитом помимо операции, стала применяться антибактериальная терапия, что значительно повысило эффективность его лечения.
В настоящее время увеличение глубины познания патофизиологии перитонита не привело к смене приоритетных задач хирургического вмешательства, известных с начала XX века, а именно устранение причины перитонита, санация
и эффективное дренирование брюшной полости. В то же время, в доктрину его лечения уверенно вошли такие методы как "лапаростомия", "декомпрессия желудочно-кишечного тракта", "перитонеально-энтеральный лаваж", "терапия абдоминального сепсиса", "детоксикация", которые направлены на устранение самых существенных патофизиологических звеньев распространённого перитонита.

Классификация перитонита
I. По клиническому течению – острый и хронический.
II. По характеру проникновения микрофлоры в брюшную полость.
А. Первичный перитонит, при котором инфекция попадает гематогенным, лимфогенным путём, или через маточные трубы (встречается редко, примерно в 1 % случаев).
Б. Вторичный перитонит – обусловленный проникновением микрофлоры вследствие развития острых хирургических заболеваний или травм органов брюшной полости, при этом различают:
III. По микробиологическим особенностям.
1. Микробный (бактериальный) перитонит:
  • неспецифический, вызванный микрофлорой желудочно-кишечного тракта;
  • специфический – вызванный микрофлорой, не имеющей отношения к желудочно-кишечному тракту (гонококки, пневмококки, гемолитический стрептококк, микобактерии туберкулёза).
2. Асептический – является следствием воздействия на брюшину токсических и ферментных агентов неинфекционного характера (кровь, желчь, желудочный сок, хилёзная жидкость, панкреатический сок).
3. Особые формы перитонита (канцероматозный, паразитарный, ревматоидный, гранулёматозный).
IV. По характеру перитонеального экссудата и патологических примесей:
  • серозный;
  • фибринозный;
  • гнойный;
  • каловый;
  • желчный;
  • геморрагический;
  • химический.
V. По характеру поражения поверхности брюшины.
1. Местный:
  • ограниченный (абсцесс или воспалительный инфильтрат);
  • неограниченный (не имеет чётких границ и тенденций к отграничению, но процесс локализуется в одном из карманов брюшины).
2. Распространённый:
  • диффузный (брюшина поражена на значительном протяжении, но процесс захватывает до двух этажей брюшной полости);
  • разлитой (поражена целиком брюшина более чем двух этажей брюшной полости, т.е. почти вся);
  • общий (тотальное воспаление всего серозного покрова органов и стенок брюшной полости).
VI. По фазам развития.
1. Реактивная - первые 24 ч. (для перфоративных – 12 ч.);
2. Токсическая - 24-72 ч. (для перфоративных – 12-24 ч.);
3. Терминальная - свыше 72 ч. (для перфоративных – свыше 24 ч.).
Реактивная фаза – означает, что основной причиной проявлений перитонита является процесс активации систем защиты, то есть массивного освобождение кининов в ответ на первичную инфекционную агрессию. Отсюда можно сделать вывод, что при устранении источника в реактивную фазу возможно проведение радикальной операции на полых органах с наложением анастомозов. При устранении источника перитонита в реактивной фазе и соблюдении основных принципов лечения, перитонит, как правило, не прогрессирует, летальность незначительная.
Токсическая фаза характеризуется появлением полиорганной дисфункции вследствие развития инфекционного процесса, приводящего к чрезвычайному напряжению всех систем организма. Летальность достигает 20 %.
Терминальная фаза характеризуется развитием синдрома полиорганной недостаточности, то есть истощения функциональных резервов значительного числа основных систем организма. Летальность достигает 100 %.  

В дальнейшем, говоря о перитоните и его хирургическом лечении, будет подразумеваться, прежде всего, острый вторичный распространённый неспецифический инфекционный перитонит, который осложняет течение до 15-20 % всех острых хирургических заболеваний органов брюшной полости.

Этиология и патогенез перитонита

Перитонит независимо от вызвавшей его причины в подавляющем большинстве случаев представляет собой типичное  бактериальное  воспаление. Наиболее частыми возбудителями гнойного перитонита являются кишечная палочка (65 %) и патогенные  кокки   (30 %). В современных условиях отмечается также значительная активация условно-патогенной флоры, участвующей в нагноительном процессе в брюшной полости: необлигатных анаэробов, бактероидов и пр. Нередко возникновение перитонита  обусловлено  несколькими бактериальными возбудителями одновременно; подобные ассоциации  наблюдаются у 35 % больных.
В  патогенезе  перитонита основная роль принадлежит интоксикации. Подсчитано, что брюшинный покров человека по площади примерно равен кожному покрову. Поэтому развивающийся в брюшной полости нагноительный процесс быстро приводит к наводнению организма токсинами как бактериального, так и небактериального (эндогенного) происхождения, способными как избирательно, так и в различных сочетаниях вызывать  резкую  иммунологическую  перестройку организма, получившую в литературе название стресса.
В начальной стадии  перитонитов  наблюдается стойкий парез кишечника, гиперемия брюшины, ее отечность и начало экссудации в полость  живота  через растянутые  клетки  эндотелия кровеносных сосудов. В дальнейшем при воспалении брюшины отмечаются расстройства гемодинамики в виде портального застоя со снижением артериализации и гипоксией печени. За гипоксией  следует падение белково-образующей функции органа: сначала резко снижается уровень белка, а затем нарушаются его синтез и ресинтез  (расщепление). Убывает дезаминирующая и мочевинообразовательная функции  печени. Нарастает в крови содержание аммония и гликоля. Исчезает  запас гликогена  в  печени.
Позднее  нарушаются ассимиляция  органом моносахаридов и синтез гликогена. Первоначальная гипогликемия сменяется гипергликемией. Развивается дегидратация организма с расстройством электролитного обмена, падением содержания хлоридов. В надпочечниках происходит изменение клеток с выраженным некробиозом коркового слоя и обеднением его хромаффинной субстанцией. В сосудах легких развиваются застой крови, гиперемия, в основном вследствие слабости мышцы сердца и многочисленных гипостазов; в легких - отек.  Нередко в них можно отметить метастатические абсцессы. Тяжелые изменения  происходят в нервной системе в виде дегенерации клеток нервных ганглиев различной степени. Это приводит к парезу, а далее параличу  гладких  мышечных  волокон кишечника. Развивается сначала  гипокалиемия и, как следствие, адинамия, позднее возникает  гиперкалиемия (соответственно    стадиям развития перитонита).
При  тяжелых формах перитонита желудочки сердца расширены, имеются набухание клеток сердечной мышцы, а также их жировое перерождение и отек.  Почки оказываются набухшими. Под  их  капсулой обнаруживается экссудат с большим количеством белка. Клетки почечных канальцев набухшие, с жировым и зернистым перерождением. В некоторых почечных канальцах наблюдаются скопление белкового вещества, а также гиалиновые и зернистые цилиндры. Клетки головного мозга  набухают, количество спинномозговой жидкости увеличивается. Сосуды мозга и его оболочек расширены.
Таким образом, воспаление брюшины ведет к общей  интоксикации  организма, сущность которой заключена в нарушении водного, электролитного, углеводного и витаминного обменов. Наступает белковое  голодание.  Нарушаются  белковый метаболизм и функции печени - накопление  промежуточных продуктов обмена, необезвреженных биогенных аминов, как аммиак и гистамин.

патогенез перитонита
Схема основных звеньев патогенеза перитонита.

Клиника и диагностика перитонита
"Диффузный перитонит - последняя глава проигранной битвы за живот"
Алоис Йирасек

При сборе анамнеза необходимо выяснить давность заболевания, изменение характера и локализации боли, динамику токсических проявлений, признаки осложнений.
В большом числе случаев удается выявить признаки предшествовавшего заболевания (аппендицита, холецистита, обострения язвенной болезни), осложнением которого явился перитонит. Нередко, на фоне некоторого улучшения самочувствия и уменьшения предшествовавших болей в животе они внезапно усиливаются, становятся распространенными. С этого момента резко ухудшается самочувствие, появляется сухость во рту, жажда, нарастает сердцебиение.

Клиническая картина острого распространённого перитонита включает в себя четыре ключевых синдрома:
  • боль в животе, т.е. физикальные признаки распространённого воспаления брюшины;
  • нарастающий парез кишечника;
  • признаки обезвоживания тканей;
  • прогрессирующий эндотоксикоз.
В реактивной и терминальной фазах клинические проявления перитонита значительно различаются. В реактивной фазе превалирует болевой синдром. Больные предъявляют жалобы на интенсивные, тупые, постоянные боли по всему животу, усиливающиеся при дыхании и движении. При раздражении диафрагмы возможна их иррадиация в надплечья (с-м Элекера). Выражено недомогание, часто имеет место тошнота, рвота желудочным содержимым, которая не приносит облегчения, задержка стула.

положение больного при перитоните При общем осмотре пациент, как правило, лежит на спине или на боку с приведенными к животу бедрами, позу не меняет, так как любые движения или попытка встать приводят к усилению болей.
Явных признаков обезвоживания нет. Тахикардия достигает 90–100 ударов в 1 мин, одышка отмечается редко. Возможно выявление некоторых элементов эректильной фазы шока – возбуждение, повышение артериального давления. Температура тела нормальная или субфебрильная.
При осмотре живота он несколько втянут – "ладьевидный", что особенно характерно для перитонита при перфорации полых органов, в акте дыхания не участвует (с-м Винтера). Может отмечаться извращённый торако-абдоминальный тип дыхания (втягивание брюшной стенки при вдохе) (с-м Байли).
Пальпаторно определяется триада Дьелафуа:
резкая болезненность во всех отделах с эпицентром, соответствующим первичному очагу воспаления, "сверхпризнак всех абдоминальных катастроф" (Г. Мондор) - выраженное напряжение мышц брюшной стенки и кожная гиперстезия. Говоря о кожной гиперстезии, Г. Мондор указывал, что во всей патологии нет признака, которому мы были бы обязаны спасением большего количества жизней. При пальпации живота, который не вздут, не сокращён и имеет нормальный профиль, но не участвует в дыхательных движениях, нужно стремиться отыскать реакцию брюшной стенки в виде мышечной защиты. Гиперстезию, описанную почти одновременно Хэдом и Меккензи (1892), можно проверить взяв кожу передней брюшной стенки в складку. Генри Мондор для её обнаружения рекомендовал пользоваться булавкой или щипком. Булавку под углом в 30° следует проводить от рёберного края до пупартовой связки и снаружи внутрь, от поясницы к белой линии. Давление должно оставаться одинаковым и едва ощутимым для нормальной кожи.
Определяются положительные с-мы
Щеткина-Блюмберга (при быстром отнятии руки после надавливания на брюшную стенку больной ощущает внезапное усиление боли вследствие сотрясения брюшной стенки), Раздольского (перкуторная болезненность, которая выявляется путем отрывистой перкуссии передней брюшной стенки согнутым под прямым углом пальцем), Менделя (усиление болезненности при перкуссии передней брюшной стенки через уложенную плашмя кисть).

с-м Щёткина-Блюмберга
Симптом Щёткина-Блюмберга.

с-м Менделя
Симптом Менделя.

Необходимо проверить наличие свободного газа по исчезновению печеночной тупости при перкуссии (с-м Жобера) и свободной жидкости по наличию притупления перкуторного звука в нижних отделах живота, чаще в правой подвздошной области (с-м де Кервена). Аускультативно
перистальтика обычно резко ослаблена. При ректальном исследовании можно определить нависание свода и резкую болезненность в области дугласова пространства (с-м Куленкампфа) вследствие скопления воспалительного экссудата.
В общем анализе крови имеет место нейтрофильный лейкоцитоз 12-18х109/л, лифо- и моноцитопения, анэозинофилия. В биохимических анализах существенных отклонений не выявляется.
При перфорации полого органа обзорная рентгенография брюшной полости позволяет выявить свободный газ под куполом диафрагмы (чаще правом).

свободный газ 
Обзорная рентгенография брюшной полости.
Газ под правым куполом диафрагмы в виде линейного просветления (стрелка) – симптом «купола» или «серпа».


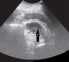
Наличие свободной жидкости и газа в брюшной полости подтверждается данными УЗИ.

УЗИ жидкость и газ в брюшной полости
Ультразвуковая сканограмма.
Свободная жидкость (белая стрелка) и газ (чёрная стрелка) в брюшной полости.


В сомнительных случаях выполняется лапароскопия.

Laparoskopia-peritonit
Лапароскопическая картина перитонита.

При наступлении токсической фазы несмотря на уменьшение болей в животе, общее состояния больного ухудшается. Рвота носит застойный характер, нередко фекалоидная, стул отсутствует, газы не отходят. Речь тихая. Если к больному не обращаться, он не будет кричать, требуя к себе внимания. Такое поведение больного, особенно его тихий стон при дыхании должен всегда вызывать особое беспокойство врача. Необходимо обратить внимание на выраженность всех звеньев инфекционного процесса и интоксикации – температуру, тахикардию, частоту и глубину дыхания, на состояние сознания, нарушение которого является наиболее ярким отражением тяжелой интоксикации, артериальное давление, сухость слизистых языка и внутренней поверхности щек. Тахикардия 100-120 ударов в 1 мин и выше, артериальное давление нормальное или с тенденцией к снижению, одышка 20-24 дыхательных движений в 1 мин. Температура тела достигает фебрильных цифр. Имеет место значительная разница между подмышечной и ректальной температурой (с-м Маделунга). Проявление токсической энцефалопатии возможно как заторможенностью, так и возбуждением или делирием. Бледность, особенно мраморность кожи, отражает глубокое нарушение микроциркуляции.
Живот, как правило, равномерно "мячеобразно" вздут (с-м Мондора), в дыхании не участвует (с-м Винтера). При пальпации выявляют болезненность во всех отделах живота, дефанс, гиперстезию.
Определяются положительные с-мы Щеткина-Блюмберга, Раздольского, Менделя. Осуществляя лёгкое сотрясение брюшной стенки при наличии в брюшной полости перерастянутой, переполненной жидкостью и газами паретической кишки можно получить феномен, который известен в литературе как "шум плеска" (с-м Склярова). Выявляют аускультативные признаки, характерные для паралитической кишечной непроходимости: с-м "гробовой тишины", с-м Спасокукоцкого – "шум падающей капли", с-м Лотейссена – выслушивание дыхательных и сердечных шумов через переднюю брюшную стенку.
При лабораторном обследовании обнаруживают выраженный лейкоцитоз (14-20х109/л) со сдвигом лейкоцитарной формулы влево, лимфо- и моноцитопению, анэозинофилию, тромбоцитопению. Из числа "старых" специфичных методов лабораторной диагностики гнойно-воспалительных заболеваний брюшной полости до настоящего времени наиболее простым и достоверным остаётся определение лейкоцитарного индекса интоксикации (ЛИИ), при расчёте которого используют модифицированную формулу Я.Я. Кальф-Калифа: ЛИИ=32Пл+8Ми+4Ю+2П+С/16Э+2Б+Мо+Л, при норме = 1,08±0,45, где Пл - плазматические клетки, Ми - миелоциты, Ю - юные нейтрофилы, П - палочкоядерные нейтрофилы, С - сегментоядерные нейтрофилы, Э - эозинофилы, Б - базофилы, Мо - моноциты, Л - лимфоциты. Уместно напомнить, что изначально формула была предложена для диагностики острого аппендицита.
В биохимических анализах возможно повышение мочевины, креатинина, трансаминаз, билирубина, глюкозы, нарушения свертывающей системы, сдвиг КЩС, повышение Рсо2, снижение Ро2, свидетельствующие о нарушении функции различных органов и систем.
При рентгенологическом исследовании можно обнаружить свободный газ в брюшной полости, чаши Клойбера, высокое стояние куполов диафрагмы, ограничение их подвижности за счет вздутия или напряжения мышц.


УЗИ кишечная непроходимость
По данным УЗИ, помимо свободной жидкости в брюшной полости, выявляются растянутые петли кишечника, заполненные газом, с горизонтальными уровнями жидкости, а также маятникообразная перистальтика.
В терминальной фазе могут быть определённые трудности с постановкой диагноза перитонита, если нет возможности выяснить анамнез заболевания у родственников. Адинамичный, заторможенный, резко обезвоженный больной с запавшими глазами, обостренными чертами лица (лицо Гиппократа), дышит поверхностно учащенно, часто с тихим стоном. Сухой "как щетка" язык он не может высунуть, так как внутренние поверхности щек тоже сухие.

лицо Гиппократа
Лицо Гиппократа (facies Hippocratica).
"Прежде всего врач должен изучить лицо больного, похоже ли оно на лицо здоровых людей, и особенно похоже ли оно на то, какое оно у него (обычно). Если оно похоже, это наиболее благоприятно. Если состояние наиболее противоположное обычному, это наиболее опасно. Вот признаки такого состояния: заострившийся нос, впалые глаза и виски, холодные и сморщенные уши, мочки ушей приподняты, кожа лба сухая, натянутая, цвет лица желтый или черный, мертвенно-бледный или синюшный. Если в начале болезни лицо имеет такой вид и еще невозможно сделать выводы по другим признакам, нужно спросить, может, больной не спал, нет ли у него сильного поноса, не голоден ли он. И если он дает утвердительный ответ на один из этих вопросов, нужно думать, что признаки менее опасны. Если лицо имеет такой вид по этим причинам, такое состояние проходит за день или за ночь. Но если он дает отрицательный ответ на эти вопросы и состояние не проходит в интервале указанного времени, нужно знать, что больной близок к смерти".

Несколько раз в день повторяется необильная фекалоидная рвота. Стул самостоятельный, или после клизмы, обычно скудный, часто зловонный (септический). Тахикардия выше 120 ударов в 1 мин, артериальное давление снижено, одышка около 30 дыхательных движений в 1 мин. Может наблюдаться как лихорадка, так и нормальная и даже пониженная температура тела. "Важнейшим основанием диагноза гнойного перитонита являются признаки слабости сердца: очень частый пульс, не соответствующий температуре (у взрослых свыше 110-115, у детей свыше 125) и пониженное кровяное давление, которое проявляется мягкостью пульса, а в тяжёлых случаях даже в цианозе ногтей и губ. Повторная рвота и поверхностное дыхание дополняют число признаков разлитого перитонита. Немедленно надо оперировать, если вы констатируете у больного такие грозные симптомы" (В.Ф. Войно-Ясенецкий).

Войно-Ясинецкий 
Валентин Феликсович Войно-Ясенецкий, архиепископ Лука (1877-1961) - великий русский хирург и священнослужитель.

Живот значительно вздут, умеренно болезненный, дефанс не выражен. С-мы Щеткина-Блюмберга и Менделя слабоположительные. Перкуторный звук неравномерный. Определяются с-мы "гробовой тишины", Спасокукоцкого, Лотейссена, Склярова.
В лабораторных исследованиях имеют место существенный лейкоцитоз со сдвигом лейкоцитарной формулы влево, лимфо- и моноцитопения, анэозинофилия, тромбоцитопения, анемия, очевидные признаки нарастающей печёночно-почечной недостаточности, неконтролируемое снижение уровня белка, признаки азотемии. В качестве дополнительных лабораторных показателей диагностики абдоминального сепсиса и перитонита следует считать перспективным определение концентрации прокальцитонина в плазме крови.
Симптомы воспалительной реакции и абдоминального сепсиса
Синдром абдоминального сепсиса проявляется системной воспалительной реакцией, характеризуется двумя или более из следующих признаков:
  • гипертермия (>38 °С) или гипотермия (<36 °С);
  • тахипноэ (>20 в минуту);
  • тахикардия (>90 в минуту);
  • лейкоцитоз (>12,0х109/л), или лейкопения (<4,0х109/л), или палочкоядерный сдвиг более 10 %.
Тяжёлый сепсис - сепсис в сочетании с полиорганными нарушениями, гипоперфузией или гипотензией.
Септический шок - сепсис с гипотензией, требующей применения катехоламинов.

Лечебная тактика
"При  перитонитах  операция  в первые часы дает до  90 %  выздоровлений, 
в  первый  день  -  50 %,  позже    третьего дня - всего 10 %"

С.И. Спасокукоцкий (1926)

Наличие у больного признаков перитонита является абсолютным показанием к экстренной операции. Задержка лапаротомии с целью уточнения источника инфицирования брюшной полости, если он остаётся неясен, не оправдана. Этот вопрос решается в ходе операции.

пожар "...Опоздание с операцией намного опаснее для жизни больного,
чем пробная лапаротомия при гипердиагностике..."
В.С. Савельев

После диагностики перитонита дальнейшее обследование больного продолжается в комплексе с предоперационной подготовкой.
Когда вопрос о необходимости операции уже решён задача дополнительного обследования, прежде всего, состоит в наиболее полной оценке общесоматического функционального статуса пациента, распознавание тяжести процесса, фазы его развития, наличие проявлений абдоминального сепсиса и полиорганной недостаточности. 
Больных дифференцируют в зависимости от тяжести состояния, которое может быть:
  • стабильное (отсутствие сепсиса, APACHE II <10 баллов) - транспортируют в операционную.
  • тяжёлое (сепсис, APACHE II 10-15 баллов) - госпитализируют в палату интенсивной терапии, где проводят интенсивную предоперационную подготовку в течение 2-3 ч, в дальнейшем транспортируют в операционную.
  • крайне тяжёлое (тяжёлый сепсис и септический шок, APACHE II >16 баллов) - отказываются от обследования в приёмном отделении; в сопровождении хирурга транспортируют в реанимационное отделение, где начинают проведение интенсивной терапии и диагностические процедуры (лабораторные исследования, ЭКГ, рентгенография органов грудной клетки и брюшной полости, УЗИ). По стабилизации состояния пациента транспортируют в операционную. 
Прогностические критерии APACHE II
Физиологические параметры +4 +3 +2 +1 0 +1 +2 +3 +4
Ректальная температура (ºС) ≥41 39-40.9 38.5-38.9 36-38.4 34-35.9 32-33.9 30-31.9 ≤29.9
Среднее артериальное давление (мм рт.ст.) ≥160 130-159 110-129 70-109 50-69 ≤49
ЧСС (в мин) ≥180 140-179 110-139 70-109 55-69 40-54 ≤39
Частота дыхания (в мин) ≥50 35-49 25-34 12-24 10-11 6-9 ≤5
Оксигенации (мм рт.ст.)
α. FiO2> 0,5, А-а DO2
β. FiO2 <0,5, РО2




≥500 350-499 200-349 ≤200
РО2> 70 61-70 55-60 <55
Артериальная рН ≥7.7 7.6-7.69 7.5-7.59 7.33-7.49 7.25-7.32 7.15-7.24 ≤7.15
Сывороточный натрий (ммоль/л) ≥180 160-179 155-159 150-154 130-149 120-129 111-119 ≤110
Сывороточный калий (ммоль/л) ≥7 6-6.9 5.5-5.9 3.5-5.4 3-3,4 2.5-2.9 ≤2.5
Сывороточный креатинин (мг/дл)
(дублирование при острой почечной недостаточности)
≥3.5 2-3.4 1,5-1,9 0,6-1,4 <0,6
Гематокрит (%) ≥60 50-59.9 46-49.9 30-45.9 20-29.9 <20
Лейкоцитоз  (109/л) ≥40 20-39.9 15-19.9 3-14.9 1-2.9 <1
К этим 12 параметрам должны быть добавлены возраст (лет) [<44: 0, 45-54: 2, 55-64: 3, 65-74: 5, > 75: 6], и сосуществующие системные заболевания (тяжелая органная недостаточность или иммуносупрессия: 5; экстренная операция: 5; плановая операция: 2).
* Оценивается количество приведённых в таблице факторов риска


Общие принципы лечения перитонита
1. Раннее устранение источника инфекции.
2. Уменьшение степени бактериальной контаминации во время операции.
3. Лечение остаточной инфекции и профилактика нового инфицирования брюшной полости.
4. Поддержание жизненно важных функций организма до и после операции.

Предоперационная подготовка
Осуществить полную коррекцию нарушений гомеостаза до операции невозможно. Но всегда лучше отложить операцию на 2-3 ч для целенаправленной подготовки. Достаточно добиться стабилизации артериального и центрального венозного давления, диуреза до 25 мл/час. Общий объём инфузии до операции составляет 1,5-2,0 л в течение 2 ч. При запущенных процессах, когда нарушения гемодинамики выражены (потеря жидкости более 10 % массы тела), объём инфузии увеличивается до 3-4 л в течение 2-3 ч. Назначаются антибиотики широкого спектра действия.
Правило "трёх трубок":
  • Катетеризация подключичной вены, что обеспечивает большую скорость инфузии и возможность контроля ЦВД.
  • Катетеризация мочевого пузыря для измерения почасового диуреза как объективного критерия эффективности инфузионной терапии.
  • Обязательно опорожнение желудка с помощью зонда. При запущенных процессах зонд должен находиться в желудке постоянно, в течение всего предоперационного периода, во время операции и некоторое время после нее. До возобновления моторики кишечника.
Оперативное лечение
Основной метод обезболивания при операциях по поводу перитонита – многокомпонентная анестезия с применением ИВЛ.
Оперативное вмешательство при распространенном перитоните предусматривает выполнение следующих основных задач:
  • устранение источника перитонита;
  • интраоперационную санацию и рациональное дренирование брюшной полости;
  • дренирование (интубация) кишечника, находящегося в состоянии пареза, применение всех средств ликвидации синдрома энтеральной недостаточности - симптомокомплекса нарушений двигательной, секреторной и всасывательной функции тонкой кишки при острых заболеваниях, когда кишечник и его содержимое становятся основным источником интоксикации ;
  • завершение первичной операции, выбор дальнейшей тактики ведения больного.
Операция состоит из следующих последовательно выполняемых этапов.
Рациональный доступ. Наиболее рациональный доступ при распространенном перитоните - срединная лапаротомия, обеспечивающая возможность полноценной ревизии и санации всех отделов брюшной полости.
Удаление патологического содержимого. После вскрытия брюшной полости по возможности полно удаляется патологическое содержимое: гной, кровь, желчь, каловые массы и т. д. Наиболее полноценно и менее травматично это можно выполнить с помощью электрического отсоса, снабженного специальным наконечником, предотвращающим присасывание петель кишечника и большого сальника. Особое внимание обращается на места скопления экссудата: поддиафрагмальные пространства, боковые каналы, полость малого таза.

удаление экссудата  удаление содержимого
             а                                                        б
Удаление патологического содержимого из брюшной полости:
а - схема, б - интраоперационно.


Ревизия органов брюшной полости, ликвидация или локализация источника перитонита.
Следующий этап - последовательная ревизия органов брюшной полости с целью выявления источника или источников перитонита. При условии стабильной гемодинамики больного этому этапу может предшествовать введение в корень брыжейки тонкой кишки и под париетальную брюшину 150-200 мл 0,25 % раствора новокаина. Однако, если учесть, что в условиях перитонита гидравлическая травма брыжейки и инфицирование ее ткани нежелательно, а также высокую резорбтивную активность брюшины, того же эффекта можно достичь простым введением 300-400 мл 0,5 % раствора новокаина в брюшную полость.
Устранение источника (или нескольких источников) перитонита - наиболее ответственный этап вмешательства. Устранение источника перитонита производится радикальным способом, но соизмеряя объем вмешательства с функциональными возможностями больного. При невозможности радикального удаления источника инфицирования брюшной полости пораженный орган выводится внебрюшинно или отграничивается марлевыми тампонами от свободной брюшной полости. Тампоны при этом стимулируют отграничительный спаечный процесс. Использование тампонов с дренирующей целью неэффективно.
Особое внимание при распространенном перитоните уделяется определению показаний к резекции полых органов живота и адекватному выбору объема резекции.
Не вызывает сомнения факт, что наложение швов и анастомозов полых органов в условиях некупированного воспаления брюшины или нарушения мезентериального кровообращения сопровождается повышенным риском их несостоятельности. С этой целью применяют варианты отсроченного внутри- или внебрюшинного анастомозирования. При этом на первой операции выполняют обструктивную резекцию с обязательной зондовой декомпрессией проксимального участка кишки, предпочтительнее использовать двухпросветный зонд, обеспечивающий возможность активной аспирации химуса и, следовательно, гарантированной декомпрессии кишечника.
Сроки выполнения реконструктивного этапа устанавливают при последующих ревизиях брюшной полости. Определяющие критерии - регрессия перитонита, восстановление жизнеспособности кишки, а также стабилизация состояния больного. После выполнения анастомоза энтеральный зонд проводят в отводящую петлю, зона швов дополнительно укрывается большим сальником. Как правило, выполняют двухрядный анастомоз "бок-в-бок" или однорядный внутриузловыми швами. Анастомозирование конец-в-конец в экстренной абдоминальной хирургии следует использовать только в случаях гарантированного кровоснабжения зоны соустья и отсутствия инфильтрации стенки кишки.
При отказе от этапного лечения выполнение анастомоза может быть отложено до полного устранения перитонита. Концы пересеченной кишки выводятся рядом на брюшную стенку через отдельный разрез в виде полных свищей. Следует заметить, что такая тактика не может быть рекомендована в качестве наиболее рациональной при расположении зоны резекции вблизи связки Трейца. В этом случае риск несостоятельности анастомоза конкурирует с риском искусственного создания высокого тонкокишечного свища с его опасными функциональными последствиями, особенно для тяжелобольного. Поэтому дилемма решается чаще в пользу анастомоза.
Вопрос о наложении первичного анастомоза после резекции правой половины ободочной кишки в условиях распространенного перитонита решается индивидуально в зависимости от выраженности воспаления брюшины и сроков его развития. Резекцию левой половины ободочной кишки при перитоните правильнее завершать наложением одноствольной колостомии с ушиванием периферического отрезка кишки по типу операции Гартмана. Важным элементом такого вмешательства является дивульсия наружного сфинктера прямой кишки с целью декомпрессии отключенного отдела толстой кишки и предотвращения несостоятельности швов на ушитом ее конце.
Санация брюшной полости. Следующий этап операции - санация брюшной полости. Санация состоит в дополнительной ревизии после устранения источника инфекции и тщательном удалении экссудата и патологического содержимого из брюшной полости, а при распространении процесса на все ее отделы наилучшим методом интраоперационной санации является многократное промывание брюшной полости осмосбалансированными кристаллоидными солевыми растворами. Используются обычно физиологический раствор или - при условии стабильной гемодинамики и отсутствии непереносимости - 0,5 % раствор новокаина. Последний дополнительно обеспечивает обезболивающий, противовоспалительный эффект, служит средством разрешения пареза кишечника (аналог и альтернатива новокаиновой блокады корня брыжейки). Промывание осуществляют щадящим способом, без эвентрации кишечных петель. Подогретый до температуры 35-38°С раствор заливают в брюшную полость в таком количестве, чтобы петли кишок плавали в нем.
Промывание повторяется до "чистой воды". Твердые частицы кишечного содержимого и фибринозные наложения удаляются пинцетом или влажным тупфером без повреждения висцеральной брюшины. Плотно фиксированные к висцеральной брюшине сгустки фибрина удалять не следует.
После промывания брюшной полости раствор удаляется с помощью электроотсоса. Для санации брюшной полости обычно используется от 4 до 8 л раствора.
Поскольку главной целью санации является чисто механическое удаление токсинов и бактерий, нецелесообразно использование других промывных средств - антибиотиков или антисептиков в условиях системной антибактериальной терапии по следующим причинам:
  • краткосрочность экспозиции;
  • высокий риск проявления местного и общего токсического эффекта;
  • нарушение антибактериального действия препаратов в условиях воспаления брюшины.
Дренирование (интубация) тонкой кишки. После санации брюшной полости определяются показания к дренированию тонкой кишки. Оно показано при выраженных признаках паралитической непроходимости кишечника. Выявление во время операций резко растянутых содержимым петель тонкой кишки с дряблыми синюшными стенками, покрытыми фибрином, с темными пятнами субсерозных кровоизлияний следует считать основанием для ее дренирования.

зонд-интубатор  
Двухпросветный зонд-интубатор.

Декомпрессия тонкой кишки вполне эффективно может быть осуществлена путем назогастроэнтерального введения зонда. При этом особую важность представляет опорожнение и пролонгированное дренирование начального отдела тощей кишки (50-70 см от связки Трейца), где содержимое представляет наибольшую угрозу развития эндотоксикоза. Важно убедиться в полноценном дренировании собственно желудка, поскольку проведение зонда нарушает функцию пилорического и кардиального жомов и количество кишечного содержимого, поступающего в желудок, может превысить дренирующие возможности зонда, обусловить регургитацию и заброс содержимого в дыхательные пути.

 а интубация тонкой кишкиб интубация в интубация
Назогастроинтестинальная интубация (дренирование) тонкой кишки:
а - схема; б, в - интраоперационно.

Объективно удостовериться в правильном положении зонда, то есть в возможности его при данной ситуации (состояние кишечника, характеристики самого зонда) исполнять свои последующие функции можно только интраоперационно. Поэтому при перитоните контроль эффективности эвакуации содержимого и лаваж кишечника следует начинать сразу после окончательной установки зонда (равномерное заполнение кишки при введении и свободная эвакуация) и контролировать при каждой санации в случае этапного лечения.
Ошибки при выполнении интубации кишечника:
  • неправильная установка - перегибы зонда, перекрывающие его просвет; отсутствие перфораций зонда в желудке, наличие их в пищеводе или ротоглотке;
  • плохой зонд - слишком мягкий или термолабильный материал; недостаточное количество или диаметр перфораций; чрезмерный или недостаточный диаметр зонда;
  • неправильный уход - обтурация зонда кишечным содержимым - необходимость регулярного промывания зонда; сверхактивная аспирация по зонду - всасывание и последующий некроз слизистой; отсутствие коррекции положения зонда при длительной интубации - пролежни слизистой оболочки кишки.
Осложнения интубации кишечника:
  • пролежни, кровотечения, перфорации;
  • нарушение топической микроэкологии кишечника;
  • синдром Мендельсона.
Противопоказания к выполнению назоинтестинальной интубации:
  • технические трудности установки зонда, обусловленные анатомическими особенностями (сужение или искривление носовых ходов, деформация пилороантрального отдела, двенадцатиперстной или тощей кишки в зоне связки Трейца);
  • выраженность инфильтрации стенки кишки - травма превышает эффект;
  • крайняя тяжесть состояния больного при условии выбора этапного лечения перитонита.
Возможные варианты проведения зонда - назоинтестинальная интубация, трансанальная интубация, интубация кишечника через гастро-, энтеро- или аппендикостому. Естественно, преимущество выбора следует оставлять за неинвазивными методами декомпрессии кишечника.
Как правило, используют стандартные однопросветные зонды, которые проводят в терминальный отдел подвздошной кишки или двухпросветный зонд, обеспечивающий активную аспирацию химуса, зонд устанавливают в тощей кишке. Возможно сочетание зондовой декомпрессии и детоксикации с импульсной региональной электростимуляцией моторики кишечника при помощи зонда ЗЭНГ-01.
Назогастральный и назоинтестинальный зонды могут быть использованы также для введения средств для селективной деконтаминации ЖКТ и энтеросорбции, в частности с помощью эффективного препарата "Фишанта-С".
Дренирование тонкой кишки проводится 3-4 суток; зонд удаляется после восстановления моторики кишки. В том случае если операция была сопряжена с рассечением сращений, тонкая кишка дренируется на всем протяжении, а зонд сохраняется в течение 7-8 суток. Только при этом условии он может выполнить каркасную функцию и устранить опасность развития спаечной кишечной непроходимости в ближайшем и отдаленном послеоперационном периоде. Больные пожилого возраста с выраженной сердечно-легочной недостаточностью, а также раненые с сопутствующим повреждением органов груди тяжело переносят назогастроэнтеральное дренирование. Для них может быть рекомендовано ретроградное дренирование через подвздошную кишку путем энтеростомии по П. Д. Житнюку, аппендико- или цекостому.
Дренирование брюшной полости. Необходимость дренирования брюшной полости сегодня является аксиомой хирургии перитонита.

Drenirovanie zivota
Дренирование брюшной полости при распространённом перитоните.

Количество и качество дренажей определяется распространенностью и характером перитонита и, что немаловажно, традициями конкретной хирургической клиники. Как правило, операцию завершают дренированием брюшной полости одно- или двухпросветными силиконовыми трубками, устанавливаемыми по стандартной технике к зоне источника перитонита и во все отлогие места брюшной полости. Дренажи используют для активной или пассивной эвакуации экссудата или санации брюшной полости в межоперативном периоде. В случаях гнойно-некротического поражения забрюшинного пространства или при панкреатогенном перитоните высокоэффективно использование дренажей Пенроза.
Завершение первичной операции. Варианты завершения первичной операции при распространенном перитоните определены выбором дальнейшей тактики хирургического лечения в режиме "по требованию" или "по программе".
В первом случае операцию заканчивают послойным ушиванием раны брюшной стенки. При наличии выраженного кишечного пареза или выраженных признаков воспаления висцеральной и париетальной брюшины возможно ушивание только кожи с подкожной клетчаткой. Ущерб от образовавшейся вследствие такой методики вентральной грыжи "компенсируется" предотвращением гибели больного от прогрессирующего перитонита или синдрома интраабдоминальной гипертензии.
Доктрина применения метода этапного или программируемого хирургического лечения традиционно включает следующие позиции:
  • заболевание не подвергается однократной хирургической коррекции даже при условии возможности одномоментного выполнения адекватного объема оперативного вмешательства;
  • операция связана с повышенным риском развития тяжелых интраабдоминальных осложнений, что определяет необходимость своевременного полного контроля и коррекции состояния органов брюшной полости;
  • тяжесть физического состояния больного не позволяет в данное время выполнить необходимый объем хирургического вмешательства.
В современной хирургии перитонита эти позиции определяют конкретные показания к выбору этапного метода лечения, а именно:
  • распространённый фибринозно-гнойный или каловый перитонит;
  • анаэробный перитонит;
  • невозможность одномоментной ликвидации источника перитонита;
  • крайняя тяжесть состояния больного, исключающая возможность выполнения операции одномоментно в полном объёме (более 16 баллов по шкале Аpache II);
  • состояние лапаротомной раны, не позволяющее закрыть дефект передней брюшной стенки при послеоперационном перитоните (недостаток ткани или обширное нагноение);
  • синдром интраабдоминальной гипертензии - внутрибрюшное давление выше 15 мм рт.ст. при сведении краёв лапаротомной раны.
дренирование
Дренирование брюшной полости, лапаростомия
(в правом подреберье выведена трансверзостома).


Определяя необходимость того или иного режима ведения больного, следует помнить, что негативных последствий ошибочного выбора режима этапного хирургического лечения больного перитонитом значительно меньше, чем отказ от него в сомнительной ситуации. Кроме того, при кратковременном применении режим этапного хирургического лечения менее травматичен и более надёжен, чем режим "релапаротомия по требованию".

Выбор режима этапного хирургического лечения перитонита
Короткий интервал между санационными реоперациями (до 24 ч)
Показания:
  • крайне тяжёлый перитонит при относительно стабильном состоянии больного и значении АРАСНЕ II менее 16 баллов;
  • вынужденная реоперация "по требованию", развитие непрогнозируемых осложнений (кровотечения, эвентрация, несостоятельность швов полых органов, синдром интраабдоминальной гипертензии).
Интервал средней продолжительности (24-48 ч)
Показания:
  • тяжесть общего состояния больного - АРАСНЕ II 17-19 баллов;
  • при стабильном и прогнозируемом течении перитонита.
Интервал максимальной продолжительности (>48 ч)
Показания:
  • крайняя тяжесть общего состояния больного - АРАСНЕ II более 19 баллов;
  • тяжёлые раневые осложнения при удовлетворительном состоянии брюшной полости;
  • необходимость контроля эффективности ликвидации источника перитонита.
Критерии окончания этапного хирургического лечения перитонита
Интраоперационная оценка состояния органов брюшной полости:
  • гарантированная ликвидация или локализация источника перитонита;
  • отсутствие неудалимых очагов некроза или отсутствие множественных отграниченных гнойных очагов;
  • прозрачный серозный экссудат;
  • отграничение петель тонкой кишки от свободной брюшной полости наложениями организующегося фибрина в виде "панциря";
  • наличие стимулированной или спонтанной перистальтики тонкой кишки;
  • отсутствие распространённого гнойно-некротического поражения операционной раны или передней брюшной стенки.
Интегральная оценки тяжести состояния больного:
  • APACHE II ниже 14 баллов;
  • внутрибрюшное давление ниже 12 мм рт.ст. при сведении краёв раны.
Способы завершения этапного хирургического лечения
  • предпочтительна полная реконструкция передней брюшной стенки (послойное закрытие раны);
  • возможно сшивание только кожи;
  • открытое ведение раны (при наличии большого сальника);
  • использование динамических сближающих устройств.
В последние годы интенсивное развитие эндовидеохирургических технологий обеспечило возможность выполнения программированной или возникающей по показаниям повторной санации брюшной полости без релапаротомии. Имеющиеся для этого специальные элеваторы позволяют избежать необходимости массированной инсуффляции газа в брюшную полость и успешно производить ревизию и санацию различных ее отделов.

Общее лечение
1. Антибактериальная терапия.
Должна начинаться непосредственно после установления диагноза. Обязательно периоперационное введение антибиотиков с продолжением в послеоперационном периоде. До получения результатов микробиологического исследования экссудата брюшной полости антибактериальную терапию назначают "эмпирически" (с преимущественным воздействием на грамотрицательные бактерии и анаэробные микроорганизмы):
  • цефалоспорины (цефтазидим, цефоперазон 3-4 г/сут, цефотаксим 2-12 г/сут и др.) + аминогликозиды (тобрамицин, сизомицин, амикацин 150 мг - 2 г/сут) + метронидазол 2000 мг/сут;
  • офлоксацины [ципрофлоксацин, офлоксацин (таривид♠), цифран 1,5-2 г/сут и др.] + метронидазол (возможна монотерапия);
  • карбапенемы - монотерапия [имипенем, имипенем + циластатин (тиенам♠) 1-2 г/сут];
  • противогрибковые препараты (флуконазол 50-150 мг/сут).
После получения данных бактериологического исследования следует произвести коррекцию антибиотикотерапии по результатам чувствительности выделенных микроорганизмов.
2. Иммунная терапия.
Из препаратов, улучшающих иммунореактивные свойства организма, применяют иммуноглобулин, антистафилококковый гамма глобулин, лейкоцитарную массу, антистафилококковую плазму, лейкинферон – комплекс интерферонов человека и цитокинов.

3. Корригирующая терапия в послеоперационном периоде.
4. Адекватное обезболивание.
Наряду с традиционными способами лечения болевого синдрома с помощью наркотических анальгетиков, применяется пролонгированная эпидуральная аналгезия местными анестетиками, иглорефлексоаналгезия, электроанальгезия.

5. Сбалансированная инфузионная терапия.
Общее количество жидкости, вводимой больному в течение суток, складывается из физиологических суточных потребностей (1500 мл/м2), дефицита воды на момент расчёта и необычных потерь за счёт рвоты, дренажей, усиленного потоотделения и гипервентиляции.

6. Профилактика и лечение синдрома полиорганной недостаточности.
Патогенетической основой развития синдрома полиорганной недостаточности является гипоксия и гипотрофия клетки за счет нарушения дыхания, макро- и микрогемодинамики. Мерами её профилактики и лечения являются:

  • устранение инфекционно-токсического источника;
  • выведение токсинов методами эфферентной хирургии;
  • обеспечение адекватной лёгочной вентиляции и газообмена (часто длительная ИВЛ);
  • стабилизация кровообращения с восстановлением ОЦК, улучшением и поддержанием работы сердца. Нормализация микроциркуляции в органах и тканях;
  • коррекция белкового, электролитного, кислотно-щелочного состава крови;
  • парентеральное питание.
7. Восстановление функции желудочно-кишечного тракта.
Наиболее эффективным способом является декомпрессия кишечника трансназальным зондом с последующим промыванием его. Нормализация нервной регуляции и восстановление тонуса кишечной мускулатуры достигается при восполнении белковых и электролитных нарушений. После чего возможно применение антихолинэстеразных препаратов (прозерин, убретид), ганглиоблокаторов (димеколин, бензогексоний).

8. При полиорганной недостаточности показано использование форсированного диуреза, гемодиализа, плазмафереза, гемофильтрации, искусственной вентиляции лёгких, гипербарической оксигенации. Гипербарическая оксигенация способна купировать все типы гипоксии, развивающиеся при перитоните, способствует ускоренному снижению бактериальной обсеменённости брюшины, усиливает моторно-эвакуаторную функцию кишечника. Вместе с тем, гемосорбция, лимфосорбция, плазмаферез и другие методы детоксикации не могут рассматриваться как самостоятельные, дающие существенные преимущества методы лечения перитонит.

Релапаротомия в хирургии распространённого перитонита
В последние десятилетия метод релапаротомии достаточно широко используется в хирургической практике (В.С. Савельев и соавт., 2006). По сводным статистическим данным, частота релапаротомий в конце 70-х годов ХХ столетия составила 0,6-3,86 %, а в 90-е гг. превысила 7 %. Объяснение этому росту - не увеличение числа хирургических и тактических ошибок, а профильное изменение структуры и тяжести хирургических ургентных заболеваний, в первую очередь возрастание значимости распространенного перитонита.
Наряду с возрастанием частоты релапаротомий изменилась структура показаний к релапаротомии «по требованию» и "по программе" в сторону увеличения удельного веса программируемых вмешательств. Показания к повторной лапаротомии "по требованию" возникают в связи с прогрессированием интраабдоминального воспалительного процесса или его осложнениями. Показания к плановой релапаротомии - "по программе" - устанавливают во время первой операции на основании многофакторной интраоперационной оценки хирургической ситуации.

Релапаротомия "по требованию"
(
неблагоприятное течение перитонита при первой операции не прогнозировалось)

Релапаротомию "по требованию" производят по следующим показаниям:
  • в связи с прогрессированием основного заболевания - не устраненный первичный источник перитонита, появление новых источников, третичный перитонит. В основе прогрессирования патологического процесса может лежать стадия и распространенность перитонита, исключающая возможность однократной хирургической коррекции при первой операции, неадекватный объем первой операции или неэффективность послеоперационной консервативной терапии. Таким образом, необходимость релапаротомии "по требованию" является следствием возможной ошибки в определении показаний к этапному хирургическому лечению;
  • осложнения основного заболевания, лечение которых требует повторной операции. Среди осложнений перитонита, которые требуют повторного оперативного вмешательства в различные сроки послеоперационного периода, следует отметить абсцессы брюшной полости и забрюшинного пространства, инфицированные гематомы или флегмоны забрюшинной клетчатки, кровотечения в брюшную полость или ЖКТ, спаечную кишечную непроходимость;
  • обострение или возникновение в послеоперационном периоде конкурирующих хирургических заболеваний. Наиболее часто это кровотечения из хронических и острых язв желудка или двенадцатиперстной кишки, перфорация язв и дивертикулов, нарушения мезентериального кровообращения, острый панкреатит и т. д.;
  • осложнения, возникающие вследствие нарушения хирургической техники, - недостаточность швов желудочных и кишечных анастомозов, перфорации полых органов ятрогенного происхождения, инородные тела брюшной полости, кровотечения вследствие недостаточного гемостаза, соскальзывания лигатур или клипс. Косвенно в эту группу осложнений следует отнести перфорации ЖКТ на фоне длительной интубации, особенно при попытках сверхактивной аспирации кишечного содержимого вакуумным отсосом, а также перфорации стресс-язв.
Противопоказания к повторному вмешательству может определить только нарастающая полиорганная недостаточность, рефрактерная к терапевтическому воздействию. Исключение из этого правила составляют случаи продолжающихся внутрибрюшных или желудочно-кишечных кровотечений, когда экстренное оперативное лечение не имеет альтернативы.
Своевременное установление показаний к релапаротомии «по требованию» у больных распространенным перитонитом на фоне интенсивной посиндромной терапии и протезирования функций органов является довольно сложной задачей. Как правило, в такой ситуации диагностика осложнений определяется фактом прогрессирующего или внезапного ухудшения состояния больного или отсутствия тенденции к его улучшению при адекватной интенсивной терапии. Важное значение в клинической диагностике свершившейся абдоминальной катастрофы имеет прогрессирующая системная воспалительная реакция и не поддающийся медикаментозной и физиотерапевтической стимуляции парез кишечника. Естественно, диагностический алгоритм в этой ситуации начинается с исключения тех осложнений, которые имеют абсолютные клинические, лабораторные и инструментальные подтверждения, и параллельного использования всех возможных методов визуализации состояния брюшной полости, первым в числе которых стоит оценка характера отделяемого по дренажу брюшной полости.
Дренирование брюшной полости более века считается аксиомой хирургии перитонита. Этот тезис безоговорочно поддерживается всеми практикующими хирургами и до сегодняшнего дня не имеет альтернативы. Не каждый хирург может назвать случай, когда само по себе дренирование брюшной полости вело к каким-либо серьезным осложнениям, в то время как многим больным дренаж воистину спас жизнь, или как минимум позволил избежать длительных диагностических размышлений в определении лечебной тактики.
В плане определения показаний к релапаротомии эта процедура максимально информативна и в качественном, и в количественном отношении.
Обильное поступление крови по дренажу в любые сроки послеоперационного периода всегда определяет показания к экстренной релапаротомии, невзирая на тяжесть состояния больного.
Поступление по дренажу желчи у больного, перенесшего резекцию желудка или ушивание перфоративной язвы, также свидетельствует о необходимости повторного чревосечения, однако сроки выполнения этой операции могут корригироваться с целью подготовки больного. Аналогичной тактики следует придерживаться в случае поступления из брюшной полости кишечного содержимого. Надежды на то, что свищ сформируется раньше, чем перитонит вызовет полиорганные нарушения, как правило, тщетны. Кроме того, успешное ведение больного с наружным свищом, особенно тонкокишечным, даже в современной хирургии представляет довольно сложную задачу, связанную и с необходимостью локализации процесса, и с защитой тканей передней брюшной стенки, и с компенсацией потерь биологических жидкостей.
Поступление по дренажу брюшной полости желчи у больного, перенесшего билиарную операцию, служит тревожным признаком, однако далеко не всегда ведет к релапаротомии, показания к которой в этой ситуации определяются лишь клиникой распространенного перитонита или формирования абсцесса брюшной полости. В остальных случаях предпочтительнее выжидательная тактика. Необходимость релапаротомии определяется в зависимости от характера повреждения желчных путей, установленного по данным рентгенологических (фистулография), эндоскопических (ЭРХПГ) и УЗИ.
Отсутствие отделяемого по дренажу ни в коем случае не может расцениваться как свидетельство благополучия, так же как и обильное серозное отделяемое в объеме 300-500 мл в сутки еще не является признаком катастрофы.
Роль визуализационных методов диагностики. Дальнейшая диагностическая программа установления показаний к релапаротомии "по требованию" обязательно включает применение неинвазивных методов ультразвукового сканирования или КТ брюшной полости, не усугубляющих тяжесть состояния больного. Признаками, убеждающими в необходимости релапаротомии, являются:
  • наличие свободной или осумкованной жидкости в брюшной полости;
  • состояние кишечника, соответствующее механической кишечной непроходимости;
  • нарушение магистрального кровотока висцеральных органов;
  • признаки гнойно-деструктивного поражения забрюшинной клетчатки или гематом;
  • наличие инородных тел брюшной полости.
Установление одного из этих факторов, а тем более их сочетания, обусловливают значимые показания к релапаротомии даже при отсутствии клиники системной воспалительной реакции. Исключение, пожалуй, составляют случаи абсцессов брюшной полости, осумкованных гематом и панкреатогенного перитонита, когда очаг может быть дренирован под контролем визуалиционных методов диагностики. К сожалению, следует помнить, что даже такой высокоточный метод, как КТ, не обеспечивает дифференциальной диагностики инфицированных и неинфицированных скоплений жидкости, а в 30-40 % случаев при инфицированных неосумкованных очагах возможен ложноотрицательный результат исследования.
Завершают диагностический поиск диагностический лаваж, лапароскопия и видеоревизия органов брюшной полости. По информативности и надежности диагностики послеоперационных внутрибрюшных осложнений видеоревизия сравнима со стандартной релапаротомией при, казалось бы, минимальной травматичности исследования. Кроме того, эндоскопическое вмешательство позволяет успешно ликвидировать такие осложнения, как спаечная кишечная непроходимость и кровотечение, осуществить санацию и дренирование брюшной полости при визуальном контроле. Однако существует другая точка зрения, согласно которой в "послеоперационном животе", характеризующемся нарушением анатомо-топографических взаимоотношений органов и выраженным адгезивным процессом, видеоревизия имеет ограниченные диагностические и лечебные возможности в сравнении с традиционной хирургической техникой при равной, а возможно, и большей операционной травме. Поэтому многие хирурги склоняются к мнению, что дилемму - выполнять лапароскопию или релапаротомию - следует решать в пользу последней.
Согласно статистическим данным, 5-7 % повторных чревосечений носят чисто диагностический характер. Следует ли признавать это хирургической ошибкой? Насколько диагностическая релапаротомия безвредна? Повторное вмешательство, естественно, усугубляет тяжесть состояния больного. Числовое выражение этого в сравнении с дооперационными результатами у больных перитонитом составляет в среднем +3-4 балла по шкале ТФС. В первую очередь ухудшение связано с нарушением параметров гемодинамики и в большинстве случаев корригируется в ближайшем послеоперационном периоде.
Безусловно, диагностическая релапаротомия ухудшает прогноз заживления операционной раны за счет большего риска нагноения и эвентрации, хотя доказательных свидетельств этого практически нет и характер заживления раны в большей мере определяется не фактом повторной операции, а техникой исполнения релапаротомии.
Таким образом, когда исчерпан весь арсенал диагностических средств, исключающих экстраабдоминальный источник системной воспалительной реакции, а убедительных признаков внутрибрюшных осложнений не выявлено, все сомнения должны разрешаться в пользу активных действий, то есть релапаротомии, и это ни в коем случае не будет тактической ошибкой.
Последние годы применяется метод, получивший название минирелапаротомия. Суть метода заключается в том, что на протяжении 4-5 см средней трети лапаротомной раны снимают швы с кожи и апоневроза, края раны разводят и осуществляют ревизию брюшной полости визуально и при помощи метода "шарящего катетера", тупфера или дигитальной ревизии. По результатам ревизии рану либо послойно зашивают, либо (при обнаружении кишечного содержимого, гноя, желчи, фибринозного или геморрагического выпота в значительном объеме) выполняют релапаротомию в полном масштабе.
Интегральные системы оценки тяжести состояния больного - возможность прогноза. Поскольку становится очевидным, что у больного перитонитом классических симптомов абдоминальной катастрофы в послеоперационном периоде ожидать не следует, ключ к установлению показаний к релапаротомии лежит в изучении динамики течения послеоперационного периода. Только сопоставление изменений отдельных симптомов и параметров в их динамике может дать возможность прогнозировать дальнейшее течение перитонита, а следовательно, провести повторную операцию до развития основных симптомов катастрофы в брюшной полости. Отсюда вытекает необходимость детальной оценки тяжести состояния больного, которая привела к созданию так называемых балльных систем оценки тяжести состояния или прогнозирующих индексов.
В настоящее время разработано большое количество различных систем оценки тяжести состояния больных перитонитом. В основу любой системы оценки положен комплекс практически значимых признаков, определяющих факторы риска и прогноз течения заболевания. Предполагается, что больные с одинаковым количеством баллов будут иметь равный риск летального исхода. Наиболее часто используемые системы: APACHE II, SOFA, MODS. Любая из них позволяет достоверно прогнозировать исход лечения, а оценка состояния больного по шкале APACHE II или SOFA может служить относительным показанием к проведению этапных вмешательств.
Большой практический интерес представляет прогностический индекс релапаротомий (ПИР), предложенный группой аргентинских хирургов под руководством д-ра J.F. Pusajo.


Критерии, используемые для расчёта прогностического
индекса релапаротомий
Критерии Баллы
Выполнение первой операции по экстренным показаниям 3
Дыхательная недостаточность 2
Почечная недостаточность 2
Парез кишечника (спустя 72 часа после операции) 4
Боль в животе (спустя 48 часов после операции) 5
Инфекционные осложнения в области операции 8
Нарушение сознания 2
Патологические симптомы, возникающие спустя 86 часов после операции 6

Частота повторных операций в зависимости
от величины прогностического индекса релапаротомий
ПИР, баллы Число релапаротомий, %
                          < 10                            8,7
11 - 12 40
13 - 14 90
> 15 100

На основании этого индекса авторы предлагают алгоритм определения показаний к релапаротомии после плановых или экстренных вмешательств на органах брюшной полости (J.F. Pusajo et al., 1993).

алгоритм
Алгоритм действий в зависимости от величины прогностического индекса релапаротомий.


Релапаротомия "по программе"
(Неблагоприятное развитие перитонита при однократной хирургической коррекции
оценивалось как вероятное)

Основная цель программируемой релапаротомии - абсолютный контроль и своевременная хирургическая коррекция состояния органов брюшной полости.
К недостаткам стандартной хирургической тактики лечения перитонита в режиме «по требованию» можно отнести следующее:
  • опасность неполной элиминации источника перитонита в ходе единственной операции;
  • поздняя диагностика развившихся осложнений;
  • несвоевременное принятие решения о необходимости повторного вмешательства.
Именно эти предпосылки явились основанием для активной разработки различных технических приемов и внедрению в клиническую практику комбинированных методов хирургического лечения.
В современной абдоминальной хирургии показания к этапному хирургическому лечению перитонита традиционно определяются следующими факторами или их сочетанием:
  • разлитой фибринозно-гнойный или каловый перитонит;
  • анаэробный перитонит;
  • невозможность одномоментной ликвидации источника перитонита;
  • крайняя тяжесть состояния больного, исключающая возможность выполнения операции одномоментно в полном объеме;
  • состояние лапаротомной раны, не позволяющее закрыть дефект передней брюшной стенки;
  • синдром интраабдоминальной гипертензии.
Окончательное решение о выборе режима дальнейшего хирургического лечения всегда принимается интраоперационно по результатам оценки состояния органов брюшной полости и тяжести состояния больного. В целях совершенствования и формализации показаний к применению этапных хирургических технологий многие клиники пользуются различными системами и алгоритмами интегральной оценки характера и объема поражения органов брюшной полости.
Широко применяются в настоящее время: Мангеймский перитонеальный индекс (МПИ), разработанный Linder и Wacha, перитонеальный индекс Altona (PIA) и его усовершенствованный вариант PIAII. В основе этих систем лежат прогностически значимые, простые и часто встречающиеся критерии, которые можно оценить до или непосредственно в момент операции. Также были включены некоторые аспекты этиологии и сопутствующие заболевания, учитывался возраст, наличие инфекционно-токсического шока. В шкале PIA II впервые были использованы лабораторные показатели - количество лейкоцитов и клиренс креатинина.
Аналогичные системы, позволяющие оптимизировать выбор лечебной тактики при распространенном перитоните, разработаны В.С. Савельевым, М.И. Филимоновым, П.В. Подачиным (1998).
Основу интегральной оценки степени и характера поражения органов брюшной полости - индекса брюшной полости (ИБП) - составили пять групп факторов.


Критерии интраоперационной оценки характера поражения органов брюшной полости при перитоните (в баллах) (В.С. Савельев, М.И. Филимонов, П.В. Подачин, 1998)
Признак Баллы
Распространённость перитонита:
местный (абсцесс)
распространённый

1
3
Характер экссудата:
серозный
гнойный
геморрагический
каловый

1
3
4
4
Наложения фибрина:
в виде панциря
в виде рыхлых масс

1
4
Состояние кишечника:
инфильтрация стенки
отсутствие спонтанной или стимулированной перистальтики
кишечный свищ или несостоятельность анастомоза

3
3
4
Нагноение или некроз операционной раны 3
Эвентрация 3
Неудалённые девитализированные ткани 3
Суммарное количество баллов - ИБП*
*ИБП - индекс брюшной полости

Особое внимание следует уделить третьей группе факторов, характеризующихся формированием адгезивного процесса в брюшной полости за счет наложений и организации пленок фибрина на петлях тонкой кишки, что является важным механизмом регресса и отграничения явлений перитонита. Микробиологические и гистоморфологические данные брюшины и перитонеального экссудата не включены в эту шкалу ввиду позднего получения результатов ответа.
Значение ИБП более 13 баллов является фактором неблагоприятного прогноза и соответственно может служить одним из показаний к этапной релапаротомии в программируемом режиме. Уже во время первой операции, предпринятой по поводу распространенного перитонита, можно предполагать, что метод "агрессивного" лечения может быть обречен на неудачу, но не имеет альтернативы при поражении, соответствующем ИБП более 23 баллов. Вместе с тем в динамике комплексного лечения уменьшение ИБП ниже значения 10 баллов может служить весомым обоснованием к прекращению режима этапных вмешательств.
Широкое применение многоэтапных оперативных вмешательств в последние десятилетия наряду с наличием очевидных преимуществ (адекватная санация брюшной полости и забрюшинного пространства, своевременная диагностика и коррекция внутрибрюшных осложнений) обнаружило и определенные недостатки - это повторная операционная травма, длительность интубации полых органов и катетеризации магистральных сосудов, что сопровождается высоким риском развития нозокомиальных осложнений, а также рецидивирующих внутрибрюшных и желудочно-кишечных кровотечений, формирование кишечных свищей, заживление ран вторичным натяжением с формированием в последующем вентральных грыж. Нельзя не учитывать анестезиологический риск повторных вмешательств, длительный постельный режим, серьезные проблемы окончательного закрытия передней брюшной стенки вплоть до применения свободной аутодермопластики и, наконец, значительно более высокую стоимость и трудоемкость лечения.

Релапаротомия - варианты технических решений
Релапаротомия у больного перитонитом, выполняемая в режиме "по требованию", обычно крайне сложная операция, что связано с большими отклонениями в положении и синтопии оперированных ранее органов с наличием межорганных сращений, уменьшением объема свободной брюшной полости, а также с изменениями передней брюшной стенки после лапаротомии. В связи с технической сложностью релапаротомии, а также высокой профессиональной и юридической значимостью этого вида вмешательств ее должен выполнять опытный хирург. При этом участие или присутствие врача, выполнявшего первую операцию, следует считать обязательным и по техническим, и по этическим причинам.
За исключением случаев топически диагностированных внутрибрюшных абсцессов или кровотечений после билиарных операций, при релапаротомии практически всегда используют срединный доступ, чаще всего путем разведения краев старой лапаротомной раны и расширения ее вверх или вниз при необходимости.
Желательно удалить все наложенные при первой операции швы брюшной стенки, произвести некрэктомию или полную хирургическую обработку раны при обширном нагноении. Достаточно часто при выраженном нагноении лапаротомной раны или большом сроке, более двух недель после первой операции, приходится использовать другой доступ.
Срединная лапаротомия имеет два существенных преимущества: быстроту и техническую простоту выполнения. Однако существуют и отрицательные свойства этого разреза: повышенный риск эвентрации из-за непрочности белой линии, более выраженные нарушения дыхания, косметические неудобства из-за поперечного пересечения лангеровских кожных линий. В силу вышесказанного при релапаротомии даже у больных перитонитом, возможно, более рациональны, хотя и более сложны поперечные и полукружные разрезы передней брюшной стенки. При этом варианте доступа нет тракции косых и поперечных мышц живота, а следовательно, нет неконтролируемого диастаза краев раны, что очень важно при ушивании лапаротомии, особенно при завершении этапного хирургического лечения.
Традиционно режимы этапных ревизий и санаций брюшной полости включают следующие мероприятия:
  • Временная или постоянная ликвидация источника перитонита (этапные некросеквестрэктомии, выполнение отсроченных кишечных соустий или стом, изоляция или экстериоризация источника перитонита). Не вызывает сомнения факт, что наложение швов и анастомозов полых органов в условиях некупированного воспаления брюшины сопровождается повышенным риском их несостоятельности. С этой целью применяют варианты отсроченного внутри- или внебрюшинного анастомозирования. При этом на первой операции выполняют обструктивную резекцию с обязательной зондовой декомпрессией проксимального участка кишки, предпочтительнее использовать двухпросветный зонд, обеспечивающий возможность активной аспирации химуса и, следовательно, гарантированной декомпрессии кишечника. Сроки выполнения реконструктивного этапа устанавливают при последующих ревизиях брюшной полости. Определяющие критерии - регрессия перитонита (снижение ИБП меньше 10 баллов), восстановление жизнеспособности кишки, а также стабилизация состояния больного (ТФС не более 13 баллов, APACHE II не более 16 баллов). После выполнения анастомоза энтеральный зонд проводят в отводящую петлю, зона швов дополнительно укрывается большим сальником. Как правило, выполняют двухрядный анастомоз бок-в-бок или однорядный внутриузловыми швами. Анастомозирование конец-в-конец в экстренной абдоминальной хирургии следует использовать только в случаях гарантированного кровоснабжения зоны соустья и отсутствия инфильтрации стенки кишки. При отсутствии сомнений в жизнеспособности кишки, явной регрессии перитонита и отсутствия технических трудностей анастомозирования повторная этапная ревизия нецелесообразна, лапаротомную рану после хирургической обработки ушивают послойно. В случаях перитонита, резистентного к этапному лечению, после выполнения 3-4 санаций (но не более 12 баллов ИБП) или выполнения анастомоза после дополнительной резекции нежизнеспособной кишки возможна экстрариоризация анастомоза с выведением участка анастомозированной кишки через отдельный разрез брюшной стенки в подкожную клетчатку, изолируя эту зону от свободной брюшной полости либо путем перитонезации, либо фиксацией большого сальника по периметру контрапертуры. Кожа над анастомозированным участком кишки ушивается редкими узловыми швами. Рану закрывают повязкой с левомеколем. При крайней тяжести состояния больного (ТФС более 14 баллов, APACHE II более 16 баллов) и в связи с очевидными техническими трудностями устранения источника распространенного перитонита (перфорации или некроза) как крайняя мера возможна изоляция или локализация источника - отграничивающая тампонада и дренирование зоны через отдельную широкую контрапертуру.
  • Санация брюшной полости кристаллоидными растворами в объеме 5-10 л. Применение с этой целью растворов антисептиков нецелесообразно, во-первых, из-за нарушения антибактериального действия препаратов в условиях воспаления брюшины и, во-вторых, из-за высокого риска проявления местного и общего токсического эффекта. При условии стабильной гемодинамики больного санацию, как правило, завершают введением в брюшную полость 200-300 мл 0,5 % раствора новокаина для потенцирования обезболивающего и противовоспалительного эффекта. Новокаин вводят с экспозицией 5-10 мин и последующей эвакуацией. В целях коррекции процесса фибринообразования и локализации гнойно-деструктивного очага на фоне этапного лечения перитонита перед сведением краев лапаротомной раны производят интраабдоминальную аппликацию одногруппной плазмы в объеме 50-100 мл. Аппликации прекращают при формировании фибринового "панциря", полностью изолирующего висцеральную брюшину. Значение процесса фибринообразования при перитоните окончательно не установлено, а следовательно, до настоящего времени не определена необходимость и методы их коррекции. Наличие в брюшной полости массивных, прочно фиксированных наложений фибрина, с одной стороны, рассматривается как реальный источник инфекции. Микробиологические исследования доказывают, что фибрин при гнойном перитоните, независимо от стадии его формирования, всегда содержит в себе микроорганизмы. С другой стороны, наложения фибрина являются естественным механизмом защиты брюшной полости. Они способствуют отграничению инфекционного процесса, а их механическое удаление приводит к значительной травме глубоких структур висцеральной брюшины и создает предпосылки для свищеобразования и делокализации гнойного очага. В эксперименте выявлено, что фибрин и фибриноген не оказывают ни стимулирующего, ни тормозящего влияния на рост патогенных микроорганизмов. Пожалуй, традиционна точка зрения о необходимости тщательной тотальной или почти тотальной ликвидации всех фибринозных формирований в брюшной полости. В наших наблюдениях тактика решения этого вопроса менялась по схеме: удалять (по возможности ликвидировать все наложения) - не трогать (по возможности оставлять там, где удаление трудно технически или наносит вред процессу локализации перитонита) - способствовать образованию при условии постоянного визуального контроля на фоне этапных ревизий и санаций брюшной полости, разрушать только в целях ревизии, удалять только свободно лежащие нефиксированные фрагменты.
  • Необходимость кишечной декомпрессии и детоксикации как важнейшего этапа практически любой релапаротомии не вызывает сомнений. Предпочтительным считается вариант использования интестинальных зондов различных конструкций. Применение разгрузочных стом, накладываемых для декомпрессии ЖКТ в условиях распространенного перитонита, подвергается резкой критике и считается нежелательным. Возможные варианты проведения зонда - назоинтестинальная интубация, трансанальная интубация, интубация кишечника через гастро-, энтеро- или аппендикостому. Естественно, преимущество выбора следует оставлять за неинвазивными методами декомпрессии кишечника. Как правило, используют стандартные однопросветные зонды, которые проводят в подвздошную кишку, или двухпросветный зонд, обеспечивающий активную аспирацию химуса, зонд устанавливают в тощей кишке. Возможно сочетание зондовой декомпрессии и детоксикации с импульсной региональной электростимуляцией моторики кишечника при помощи зонда ЗЭНГ-01. При условии стабильной гемодинамики больного интубации всегда предшествует новокаиновая блокада корня брыжейки тонкой кишки или введение в брюшную полость 200-300 мл 0,5 % раствора новокаина. Последняя не вызывает гидравлической деструкции тканей при равной скорости пенетрации препарата в забрюшинную клетчатку, что особенно важно у больных перитонитом.
  • Во всех случаях релапаротомия завершается дренированием брюшной полости однопросветными силиконовыми трубками, устанавливаемыми по стандартной технике. На фоне этапного лечения возможны варианты - дренируют только полость малого таза или латеральные каналы двухпросветными активными дренажами, которые выводят через срединную рану. В условиях перитонита наиболее эффективен U-образный или непрерывный дренаж, который устанавливают во всех отлогих местах брюшной полости и выводят наружу через лапаротомную рану, или контрапертуры. Последнее менее предпочтительно из-за лишней травмы и инфицирования брюшной стенки на фоне этапного лечения при условии «открытого живота». Дренажи используют для активной аспирации экссудата или санации брюшной полости в межоперативном периоде. В случаях гнойно-некротического поражения забрюшинного пространства и при распространенном панкреонекрозе высокоэффективно использование дренажей Пенроза, сменяемых при каждой этапной санации.
  • "Открыть все, что можно, прикрыть все, что нужно" - этот лозунг, пожалуй, наиболее полно отражает проблемы и трудности ведения лапаротомной раны при этапном хирургическом лечении заболеваний органов брюшной полости. Это касается и методов временного сведения ее краев, необходимости, объема и сроков ее обработки, а также сроков ликвидации лапаростомы и окончательного закрытия брюшной полости.
Спектр методов, предложенных мировой хирургической практикой для разрешения этих задач, достаточно широк: от полного отрицания необходимости фиксации краев операционной раны в межоперативном периоде до применения сложных специальных устройств, обеспечивающих программируемый доступ в брюшную полость. Наиболее популярным вариантом является сведение краев раны при помощи вентрофил (B. Braun-Dexon GmbH). Вентрофилы фиксируются к брюшной стенке отдельными узловыми швами через все слои на расстоянии 4-5 см от края раны. Дозированное сведение краев осуществляется лавсановыми шнурами, проведенными через вентрофилы. Реже применяют застежки типа "молния" и "репейник" (Velcro) с фиксацией их непрерывным лавсановым швом к краям апоневроза, реже к кожным краям раны. Опыт применения этих и других сближающих устройств на протяжении последних 20 лет вызвал некоторые разочарования, связанные с высокой травматичностью, сложностью и ненадежностью этих методов фиксации. Поэтому дозированное сведение краев лапаротомной раны при этапном лечении перитонита, панкреонекроза и острых окклюзий мезентериальных сосудов предпочтительно выполнять отдельными узловыми лавсановыми швами или проленом. Швы проводят через все слои передней брюшной стенки на расстоянии 3-5 см от края раны и 7-8 см друг от друга. В целях дозированной декомпрессии брюшной полости швы затягивают без натяжения. При последующих операциях швы следует проводить в новых местах. Несмотря на, казалось бы, большую травматизацию тканей, этот способ практически не вызывает гнойно-некротических поражений брюшной стенки даже на фоне 7-9 этапных вмешательств.
При использовании любых сближающих устройств до этапа затягивания швов полость раны выполняют марлевым тампоном с левомеколем. При необходимости активного дренирования операционной раны или дополнительного дорзо-вентрального дренирования при проведении перитонеального лаважа в полости раны по всей ее длине устанавливают однопросветный дренаж. Прилежащие петли кишечника укрывают синтетической полупроницаемой перфорированной пленкой, поверх которой в целях предупреждения механического повреждения кишечника швами передней брюшной стенки укладывают марлевую салфетку, пропитанную левомеколем. При небольшом числе планируемых санаций (не больше 2-3) при условии сохранения большого сальника и при отсутствии выраженного нагноения и некроза операционной раны от введения в брюшную полость инородных материалов (пленка, тампоны) следует воздерживаться.
Абсолютные показания к открытому ведению брюшной полости (лапаростома в буквальном значении этого термина) устанавливают при признаках анаэробного инфицирования брюшной полости или забрюшинного пространства, а также при невозможности свести края лапаротомии либо в результате выраженного гнойно-некротического поражения раны или флегмоны передней брюшной стенки, либо в результате прогрессирующего синдрома интраабдоминальной гипертензии (внутрипузырное давление выше 30 мм рт. ст.). Для предупреждения эвентрации в этих случаях используют бандаж. Края раны сближают при помощи лейкопластыря, предварительно укрывая петли кишечника синтетической пленкой и заполняя полость раны тампонами с левомеколем.
При завершении режима этапного лечения и заключительной хирургической обработки раны идеальным является послойное восстановление целостности брюшной стенки (чередование 8-образных и узловых швов апоневроза + редкие кожные швы по Донатти). Применение дополнительных швов (узловые или 8-образные швы через все слои брюшной стенки с протекторами из силиконовых трубок или салфеток) с целью уменьшения натяжения и сближения краев раны вряд ли рационально из-за усугубления ишемии тканей и, как следствие, последующих некробиотических изменений брюшной стенки.
При значительном дефекте мышечно-апоневротического слоя, формирующегося, как правило, вследствие повторных расширенных некрэктомий, рану закрывают только кожными швами, при необходимости с послабляющими разрезами или аутодермопластикой.

Выбор режима программируемых релапаротомий
Интервал между оперативными вмешательствами после первой операции обычно составляет 1 сутки, после 2-4 санационных вмешательств интервал целенаправленно удлиняют до 48 ч при возможности перитонеального лаважа в межоперативном периоде (больные с U-образным дренажем и ликвидированным источником перитонита) или при крайней тяжести состояния больного (APACHE II выше 16 баллов, ИБП ниже 12 баллов). Увеличение интервала более 48 ч часто ассоциируется с ухудшением состояния брюшной полости - прогрессия перитонита.
За исключением случаев третичного перитонита или неликвидированного его источника, оптимальным следует считать выполнение 3-4 этапных релапаротомий, в последующем риск негативных последствий метода возрастает от вмешательства к вмешательству, а лечебный эффект стабилизируется или регрессирует.
Показанием к завершению активных методов хирургического лечения служит купирование гнойно-воспалительного процесса в брюшной полости. Это положение базируется на интраоперационной оценке состояния брюшной полости по морфологическим критериям, тяжести состояния больного и результатам интраабдоминальной тонометрии. Основными критериями окончания режима программируемых санаций служат:
  • гарантированная ликвидация или локализация источника перитонита;
  • отсутствие неудалимых очагов некроза или отсутствие множественных отграниченных гнойных очагов;
  • прозрачный серозный экссудат;
  • отграничение петель тонкой кишки от свободной брюшной полости наложениями организующегося фибрина в виде панциря;
  • наличие стимулированной или спонтанной перистальтики тонкой кишки;
  • отсутствие распространенного гнойно-некротического поражения операционной раны или передней брюшной стенки, исключающее возможность одномоментной хирургической коррекции.
Вместе с тем уровень тяжести состояния больного также определяет сроки ликвидации лапаростомы. Так, при сохраняющейся дыхательной и миокардиальной недостаточности, парезе кишечника, интраабдоминальной гипертензии, превышающей 20 мм рт. ст. после сведения краев раны, целесообразно отложить закрытие брюшной полости до стабилизации состояния больного. Решение о возможности завершения этапных санаций должно базироваться на результатах интегральной оценки тяжести состояния больного, при этом прогноз летального исхода не должен превышать 20 %. То есть снижение значения APACHE II менее 14 баллов в сочетании с таким же снижением ИБП может служить обоснованным показанием к прекращению режима программированных релапаротомий.
Следует особо отметить, что в принятии решения о повторной или повторных операциях в абдоминальной хирургии всегда будет доминировать клиническое мышление, основанное на знаниях, логике и интуиции - на том, что составляет профессиональное мастерство клинициста, особенно хирурга. Известное правило - "диагноз "острого живота" и показания к операции точны тогда, когда их устанавливает квалифицированный хирург; его не нужно проверять" - остается принципом ургентной абдоминальной хирургии.

Этапное хирургическое лечение распространенного перитонита
Технологии ведения лапаротомной раны при этапном хирургическом лечении перитонита призваны одновременно обеспечивать решение нескольких, крайне важных для успеха всего лечения в целом, и, казалось бы, противоречивых задач и функций (Б.Р. Гельфанд и соавт., 2008):
• Обеспечить  быстрый  и  наименее  травматичный  многократный доступ в брюшную полость, создать максимальные условия для полно-ценной ревизии и санации всех её отделов.
• Обеспечить защиту органов брюшной полости и поддержание их физиологического интраабдоминального положения.
• Минимизировать  риск  развития  гнойных  осложнений  со  стороны лапаротомной раны и передней брюшной стенки.
• Максимально  обеспечить  возможность  последующей  полной реконструкции передней брюшной стенки.
• Обеспечить декомпрессию и адекватное дренирование брюшной полости.
Спектр  методов,  предложенных  мировой  хирургической  практикой для решения этих задач, достаточно широк: от полного отрицания необходимости фиксации краев операционной раны в межоперативном периоде, до применения сложных специальных устройств обеспечивающих программируемый доступ в брюшную полость. Однако, часто вопросы оценки эффективности  этих методов не детализированы и скрыты в скупых показателях летальности при этапном лечении  перитонита или панкреонекроза. Тем не менее, сами раневые осложнения, развивающиеся подчас у этого тяжелого контингента больных, не только значительно усложняют выздоровление и повышают его стоимость, но сами по себе являются причиной фатального исхода).

Варианты временного закрытия брюшной полости
Стационарно закрепляемые устройства

застёжка-молния
Застёжка-молния.

пакет Богота
Пакет Богота. (3L GU Bag–Bogota Bag).

вентрофилы
Вентрофилы.

плёнки
а - плёнка-абсорбер; б - гранулированная викриловая плёнка.

Наиболее популярными вариантами являются сведение краев раны при помощи вентрофил (B.Braun-Dexon GmbH). Вентрофилы фиксируются к брюшной стенке отдельными узловыми швами через все слои, на расстоянии 4-5 см от края раны. Дозированное сведение краев осуществляется лавсановыми шнурами, проведенными через вентрофилы. Реже применяют застежки типа "молния" и "репейник" (Velcro) с фиксацией их непрерывным лавсановым швом к краям апоневроза, реже к кожным краям раны. Опыт применения этих и других сближающих устройств на протяжении последних двадцати лет вызвал некоторые разочарования, связанные с высокой травматичностью, сложностью и ненадежностью этих методов фиксации.
Поэтому последние годы дозированное сведение краев лапаротомной раны при этапном лечении перитонита, панкреонекроза и острых окклюзий мезентериальных сосудов выполняют отдельными узловыми лавсановыми швами или проленом. Швы проводят через все слои передней брюшной стенки на расстоянии 3-5 см от края раны и 7-8 см друг от друга.
В целях дозированной декомпрессии брюшной полости швы затягивают без  натяжения.  При последующих  операциях  швы  следует  проводить  в новых местах. Несмотря на казалось бы большую травматизацию тканей, этот  способ  практически  не  вызывает  гнойно-некротических  поражений брюшной стенки даже на фоне 7-9 этапных вмешательств.
Абсолютные показания к открытому ведению брюшной полости (лапаростома в буквальном значении этого термина) устанавливают при признаках анаэробного инфицирования брюшной полости или забрюшинного пространства, а также при невозможности свести края лапаротомии, либо в результате выраженного гнойно-некротического поражения раны или флегмоны передней брюшной стенки, либо в результате прогрессирующего  синдрома  интраабдоминальной  гипертензии.  Для предупреждения эвентрации в этих случаях используют бандаж. Края раны сближают при помощи лейкопластыря, предварительно укрывая петли кишечника синтетической пленкой и выполняя полость раны тампонами с левомеколем.
Таким  образом,  при  небольшом  числе  планируемых  этапных  вмешательств (не более 4) и отсутствии гнойного поражения лапаротомной раны к началу этапного лечения, любой метод фиксации краев раны, имея свои преимущества и недостатки, обеспечивает позитивные результаты и не ведет к возникновению тяжелых осложнений. Разница заключается, пожалуй, лишь в стоимости применяемых устройств. С увеличением числа этапных операций, т.е. в зависимости от интенсивности и длительности эксплуатации тех или иных устройств и методов, угроза раневых осложнений возрастает, при этом характер и тяжесть их имеет особенности  связанные  с  типом  применяемых  устройств  и  методов  ведения лапаростомы. Однако, общий для всех способов механизм повреждения - ишемия и инфицирование тканей брюшной стенки остается неизменен.
В  целом  преимущества  и  возможные  недостатки  основных  технологий ведения лапаростомы, с точки зрения риска раневых осложнений и ожидаемого эффекта лечения перитонита – дренажной и декомпрессионной функции лапаростомы, можно заключить в следующем:
1. Применение стационарно закрепляемых устройств.
Преимущества – отсутствие повторной острой травмы брюшной стенки при сведении и разведении краев раны. Равномерная тракция всех слоев брюшной стенки. Возможность дозированной абдоминальной декомпрессии. Недостатки – потеря функции при прорезывании даже одного шва. Ишемические повреждения тканей брюшной стенки, инфицирование тканей и анатомических пространств в зоне фиксации. Типичные осложнения связанные со способом фиксации – ишемический или гнойно-деструктивный некроз тканей в зоне фиксации приспособлений: некроз кожи и подкожной клетчатки, некроз прямых мышц живота, флегмона влагалища прямых мышц (вентрофилы, уголки), распространенный краевой некроз и прорезывание швов апоневроза, невозможность применения при гнойно-деструктивных раневых осложнениях (молния, velkro). Только кожная тракция (швы, спицы, “Bogota” bag) – нарастающий диастаз мышечно-апоневротического слоя раны, в следствии некоррегируемой тракции косых и поперечных мышц живота.
2. Применение временных (одноразовых) устройств.
Преимущества – быстро, просто, дешево, отсутствие распространенных  ишемических  повреждений  тканей  в  зоне  фиксации.  Возможность дозированной интраабдоминальной декомпрессии.
Недостатки – повторная острая травма и инфицирование тканей брюшной стенки, стандартное осложнение – локальное нагноение по ходу прокола брюшной стенки, увеличение интервала между санациями или отказ от смены швов и места их проведения, т.е. длительное использование одних и тех же швов, которые распускают и вновь затягивают при каждой санации, заметно увеличивает риск нагноения.
3. Отсутствие фиксации краев - открытая лапаростома.
Преимущества – лучшие условия для раны – отсутствие повторной травмы, идеальный дренаж. Отсутствие интраабдоминальной гипертензии.
Недостатки – не физиологично, преобладание тяжелых интраабдоминальных осложнений (кишечные свищи) над раневыми. Трудности реконструкции брюшной стенки обусловленные большим диастазом мышечно-апоневротического слоя вследствие не компенсируемой тракции косых и поперечных мышц живота.
При завершении режима этапного лечения и заключительной хирургической обработке раны идеальным является  послойное  восстановление целостности брюшной стенки (чередование 8-образных и узловых швов апоневроза + редкие кожные швы по Донатти). Применение дополнительных  швов  (узловые  или  8-образные  швы  через  все  слои брюшной стенки с протекторами из силиконовых трубок или салфеток), с целью уменьшения натяжения и сближения краев раны, вряд ли рационально из-за усугубления ишемии тканей и, как следствие, последующих некробиотических изменений брюшной стенки. 

АБСЦЕССЫ БРЮШНОЙ ПОЛОСТИ
Абсцесс брюшной полости представляет собой ограниченный гнойник в брюшной полости, заключенный внутри пиогенной капсулы.

абсцессы брюшной полости
Типичные места локализации абсцессов брюшной полости.
1 - правосторонний поддиафрагмальный абсцесс; 2 - срединный поддиафрагмальный 
абсцесс;
3 - левосторонний поддиафрагмальный 
абсцесс; 4 - абсцесс в сальниковой сумке; 5 - абсцесс печени;
6 -
абсцесс в области культи двенадцатиперстной кишки; 7 - абсцесс в области культи желудка;
8 - подпеченочный 
абсцесс; 9 - межпетлевой абсцесс; 10-11 - абсцесс в области червеобразного отростка; 12 - абсцесс в области сигмовидной кишки; 13 - тазовый абсцесс.

Поддиафрагмальный абсцесс

Поддиафрагмальный абсцесс – это скопление гноя в поддиафрагмальном пространстве. Он относится к числу тяжёлых и трудно диагностируемых гнойно-септических осложнений некоторых заболеваний и операций на органах брюшной полости.

поддиафрагмальный абсцесс
Поддиафрагмальный абсцесс, осложнивший перфорацию передней стенки желудка.
1 - печень; 2 - аорта; 3 - двенадцатиперстная кишка; 4-5 - тонкая кишка; 6 - желудок;
7 - полость абсцесса; 8 - диафрагма; 9 - поджелудочная железа.


Анатомия поддиафрагмального пространства
диафрагмаПоддиафрагмальное пространство ограничено сверху, сзади, с боков диафрагмой, спереди - брюшной стенкой. Печень разделяет его на под и надпеченочное пространства, а серповидной связкой - на изолированные правое и левое поддиафрагмальные пространства. Выбор хирургического доступа к поддиафрагмальным абсцессам проводят с учетом топографии диафрагмы, плевры, легкого, почки. 
Венечная связка печени делит надпеченочное пространство на передний и задний отделы. Правое нижнее поддиафрагмальное пространство ограничено сверху нижней поверхностью печени, сзади и снизу - поверхностью правой почки, печеночной кривизной толстой кишки, поперечной ободочной кишкой и ее брыжейкой, слева - круглой связкой печени.  
Венечная и левая треугольная связки печени сливаются сзади с диафрагмой, и здесь имеется только одно верхнее поддиафрагмальное пространство, нижнее же расположено под левой долей печени и разделено во фронтальной плоскости печеночно-желудочной связкой (малым сальником), желудком, желудочно-селезеночной связкой на передненижнее (преджелудочное) и задне-нижнее пространства (сальниковая сумка, которая через сальниковое отверстие сообщается с печеночной сумкой).
Поддиафрагмальные абсцессы не имеют четких границ, которые формируются в процессе развития воспаления и образования спаек, сращений, но учитывать локализацию абсцесса необходимо при определении выбора хирургического доступа, метода дренирования и т. д. В связи с особенностями топографии поддиафрагмального пространства абсцессы имеют определенную локализацию с характерной клинической и рентгенологической картиной.

Классификация поддиафрагмальных абсцессов
По анатомическому принципу поддиафрагмальные абсцессы классифицируют следующим образом, учитывая положение гнойника по отношению к своду диафрагмы:
I. Правосторонние поддиафрагмальные абсцессы:
1) передневерхний (кпереди от вершины диафрагмы);
2) задневерхний (кзади от вершины диафрагмы до венечной связки);
3) задненижний (кзади от венечной связки);
4) нижний (подпеченочный).
II. Левосторонние поддиафрагмальные абсцессы:
1) верхний (над левой долей печени);
2) передненижний (под левой долей печени, абсцесс преджелудочной сумки);
3) задненижний (абсцесс сальниковой сумки);
4) околоселезеночный абсцесс.
III. Срединные, центральные поддиафрагмальные абсцессы (образуются после резекции желудка):
1) левосторонний;
2) задний внебрюшинный (центральный), ограниченный листками венечной связки.
IV. Внебрюшинные правосторонние нижние абсцессы.
Правосторонние поддиафрагмальные абсцессы встречаются в 6-7 раз чаще левосторонних, причем половина из них приходится на передневерхнюю локализацию. Срединный абсцесс может быть осложнением резекции желудка, когда нарушены нормальные анатомические взаимоотношения органов поддиафрагмального пространства. Пересечение печеночно-желудочной связки открывает доступ для гноя к срединной (центральной) части диафрагмы, которая и определяет верхнюю границу абсцесса, справа и сзади скопление гноя отграничено левой долей печени, слева - культей желудка, спереди - брюшной стенкой и снизу - поперечной ободочной кишкой и ее брыжейкой.

Причины поддиафрагмальных абсцессов
Наиболее часто поддиафрагмальный абсцесс развивается при хирургических заболеваниях желудка и двенадцатиперстной кишки, деструктивном аппендиците, заболеваниях желчевыводящих путей, панкреонекрозе, а также в после выполненных по поводу их операций.
Большую роль в распространении инфекции играет отрицательное давление под диафрагмой, присасывающая сила самой диафрагмы и перистальтика кишечника. Эти факторы способствуют проникновению инфекции в поддиафрагмальное пространство из очага любой локализации. Кроме того, отток лимфы от печени, билиарной системы, двенадцатиперстной кишки, включая правую половину брюшной полости, идёт к правой половине диафрагмы. Эти можно объяснить, почему поддиафрагмальные абсцессы локализуются чаще справа, чем слева.

Клиника поддиафрагмальных абсцессов
Первым и основным симптомом поддиафрагмального абсцесса являются тянущие боли в правой половине грудной клетки, иррадиирующие в надплечье, лопатку, ключицу с одноименной стороны, что является следствием раздражения окончаний диафрагмального нерва, волокна которого распространяются в сухожильном центре, поэтому иррадиация чаще наблюдается при локализации поддиафрагмального абсцесса под центром диафрагмы. Они могут ослабевать и/или усиливаться при движении, кашле, дыхании, напряжении.
Температура тела у больных поддиафрагмальным абсцессом, как правило, повышена.


гектическая температура Гектическая лихорадка иногда единственный симптом развивающегося поддиафрагмального абсцесса и является его ведущим симптомом. Она сопровождается ознобами, потливостью, бледностью лица, сухостью языка, чувством тяжести в нижних отделах грудной клетки. Пульс у этих больных, как правило, учащен.
Осмотр и пальпация дают возможность установить изменения, позволяющие говорить о поддиафрагмальном абсцессе. На первом месте - вынужденное положение больного. В кровати больные занимают высокое приподнятое положение на спине, часто с согнутыми ногами. Иногда больные лежат на больном боку. При перемещениях они избегают лишних движений туловищем, держась прямо или, например, при правостороннем поддиафрагмальном абсцессе, согнувшись вперед и вправо.
Немало симптомов, причем наиболее характерных, определяется при исследовании грудной клетки.  Уже при ее осмотре можно обнаружить расширение грудной клетки. Langenbuch (1897) сравнил ее форму с колоколом (правда, сейчас таких резких изменений никто не описывает). Менее значительные изменения встречаются довольно часто. Отмечаются сглаженность межреберных промежутков, расширение их; выпячивание их соответственно поддиафрагмальному абсцессу; выпячивание ложных ребер на больной стороне (оно более выражено при скоплении гноя в периферических отделах поддиафрагмального пространства).
В начале заболевания при осмотре живота не удается обнаружить никаких симптомов поддиафрагмального абсцесса. Позже появляются характерные симптомы - вздутие подреберной области при правостороннем поддиафрагмальном абсцессе и парадоксальное дыхание, при котором подложечная область втягивается при вдохе и выпячивается при выдохе. В некоторых случаях определяются изменения кожи и подкожной жировой клетчатки. В поздних стадиях кожа становится слегка желтоватой и сухой на ощупь. Иногда наблюдается полоса припухлости и отечности на боковой поверхности нижней половины грудной клетки; этот симптом возникает в связи с нарушением кровообращения в этой области.
Ощупывание грудной клетки и живота около диафрагмы обнаруживает мышечное напряжение, соответствующее локализации поддиафрагмального абсцесса (более ясное со стороны брюшной стенки). Иногда можно прощупать его край, когда он опускается из-под диафрагмы по задней поверхности передней брюшной стенки. Пальпация со стороны спины при заднем поддиафрагмальном абсцессе обнаруживает сглаженность и напряжение верхней части поясничных ямок. В отличие от паранефрита пальпация поясничной области спереди будет безболезненной (точнее, области почки).
Наиболее важный симптом поддиафрагмального абсцесса, получаемый при пальпации — чувствительность и особенно болезненность в области его расположения. При этом иногда отмечается разлитая зона болезненности, соответствующая расположению абсцесса. Для выявления болезненности рекомендуется производить сжатие грудной клетки.
Для топической диагностики необходимо выявить зону болезненности, соответствующую поддиафрагмальному абсцессу. Характерна болезненность в области реберной дуги (напротив IX-XI ребер), отмеченная впервые М.М. Крюковым (1901 г). Этот симптом называется ныне с-мом Крюкова. Иногда имеются зоны выраженной болезненности на шее у места прикрепления ножек грудино-ключично-сосцевидной мышцы (с-м Мюсси-Георгиевского или френикус с-м), в надплечье справа.
Газнесодержащие поддиафрагмальные абсцессы. При перкуссии грудной клетки может быть обнаружено притупление, находящееся выше нормальной границы печени; эта тупость менее интенсивна, чем печеночная. Подвижность нижнего края легкого нередко снижена или отсутствует.
Реакция плевры при поддиафрагмальном абсцессе отмечается уже в первые дни (сухой плеврит). А.А. Троянов отмечал у больных сухой, мучительный кашель (без мокроты), объяснив это раздражением чувствительных нервных окончаний диафрагмальной плевры.
Плевральный выпот также часто встречается в ранней стадии поддиафрагмального абсцесса. Выпотной плеврит иного генеза может осложнять диагностику. Важно отметить, что такой плеврит даже больших размеров не смещает край печени вниз, но может смещать (в отличие от поддиафрагмального абсцесса) тень сердца.
Нижний край легкого поджимается, снижается его воздушность вплоть до ателектаза. В зависимости от степени сдавления легкого будут результаты перкуссии - от легочного звука до абсолютной тупости (особенно отчетливо спереди). При аускультации можно выслушать различные изменения - от ослабленного везикулярного до бронхиального дыхания. На границе абсцесса дыхательные шумы внезапно исчезают.
Притупление перкуторного звука над поддиафрагмальным абсцессом не меняется при дыхательных движениях, но при изменении положения тела полоса притупления смещается. При положении больного с правосторонним абсцессом на левом боку зона тупости смещается влево. Гнойник отойдет от правой боковой стенки грудной клетки, что проявляется появлением тут ясного легочного тона.
Смещение печени вместе с абсцессом над ней дает основание для получения баллотирования печени. Если производить поколачивание грудной клетки сзади под углом правой лопатки больного, рука, положенная в правом подреберье спереди, будет ощущать толчки печени. Это симптом, описанный Г.Г. Яуре в 1921 году. При правосторонних поддиафрагмальных абсцессах, как правило, опускается и хорошо пальпируется нижний край печени.
При обследовании левой половины грудной клетки определяются те же отношения, что и справа, но левый купол диафрагмы не поднимается так высоко, как правый (не выше III ребра, в то время как правый - до II ребра). Появление тупости сзади в нижней части грудной клетки наблюдается и при забрюшинных поддиафрагмальных абсцессах. Зона притупления не достигает большой высоты. Скопление гноя в забрюшинном пространстве сглаживает верхний отдел поясничной ямки, а иногда даже выпячивает ее. В этих случаях определяется болезненность, пастозность мягких тканей при пальпации и отсутсвие болезненности спереди (в отличие от паранефрита).
Газсодержащие поддиафрагмальные абсцессы. Иногда перкуссия грудной клетки спереди обнаруживает ниже легочного тона не тупость, а тимпанит. Это признак газа, находящегося в полости абсцесса. При перкуссии выявляется три участка разных тонов - ясный тон легкого, тимпанит газа и тупость гноя. Газ абсцесса смещается при изменении положения туловища. Он всегда находится в верхней его части (с-м Дэве).
При
аускультации в зоне абсцесса можно услышать звук падающей капли, а при быстрой смене положения больного возникает «шум плеска» Гиппократа. При возникающем реактивном плеврите отмечается четырехэтапное звучание при перкуссии — легочный тон, притупление экссудата, тимпанический звук газа, тупой тон гноя и печени.

Диагностика поддиафрагмальных абсцессов
Основу рентгенологической диагностики при поддиафрагмальном абсцессе составляет анализ состояния диафрагмы; просветления газа, затемнения гноя.

R-kartina poddiafragmabsc
Левая боковая рентгенограмма грудной клетки.
Под правым куполом диафрагмы имеется уровень жидкость-газ (абсцесс).
1 - правый купол диафрагмы, 2 - левый купол.


Изменения со стороны легких, сердца, печени являются косвенными его признаками. При первом исследовании (рентгеноскопия или рентгенография) обнаруживаются характерные для поддиафрагмального абсцесса изменения: либо затемнение над линией диафрагмы (как бы выпячивание тени печени) при безгазовых поддиафрагмальных абсцессах, либо очаг просветления с нижней горизонтальной линией, отделенной от легкого дугой диафрагмы. Иногда удается отметить более высокое стояние купола диафрагмы и уменьшение ее подвижности. Полная неподвижность купола диафрагмы при вертикальном положении больного и неподвижность или минимальная пассивная подвижность при горизонтальном положении характерны для поддиафрагмального абсцесса.
При поддиафрагмальном абсцессе определяется снижение воздушности нижних частей легкого, приподнимаемых высоко стоящей диафрагмой. При этом часто наблюдаются скопления жидкости - реактивного выпота - в плевральном синусе. Рентгеновское исследование помогает выявить изменения в соседних органах: смещение продольной оси сердца, деформация желудка, смещение селезеночного угла толстой кишки книзу.
Однако рентгенологический метод не всегда позволяет обнаружить поддиафрагмальный абсцесс. Это происходит либо потому, что он не «созрел» и не оформился, либо потому, что картина, полученная при исследовании, неправильно оценивается. В связи с отеком и инфильтрацией диафрагмы при поддиафрагмальном абсцессе она утолщается до 8-17 см. Контуры купола диафрагмы становятся нечеткими и смазанными.
Характерным рентгенологическим признаком поддиафрагмального абсцесса являются изменения в области ножек диафрагмы. В.И. Соболев (1952 г) нашел, что ножки диафрагмы становятся видны более отчетливо. Этот признак появляется весьма рано, поэтому он ценен для ранней диагностики.
В связи с наличием газа в полых органах брюшной полости может потребоваться дифференциальная диагностика поддиафрагмального абсцесса  с газом от нормальной картины. Диагностика поддиафрагмального абсцесса слева затруднена в связи с наличием газа в желудке и ободочной кишке. В неясных случаях помогает рентгеноскопия с бариевой взвесью, принятой через рот.
Воздух в свободной брюшной полости определяется на рентгенограмме в виде седловидной полоски над печенью, и под ним не наблюдается уровня жидкости, как в нижней части поддиафрагмального абсцесса. Газ в легочном абсцессе и туберкулезной каверне похожи на газ поддиафрагмального абсцесса, отличие лишь в том, что они расположены над диафрагмой. Большое значение в диагностике поддиафрагмального абсцесса имеют повторные рентгеновские исследования. Больные, у которых в послеоперационном периоде появляются признаки начинающегося осложнения, даже если они слабо выражены, должны подвергаться рентгеновскому исследованию. Особенно ценны серийные снимки, на которых не только обнаруживается поддиафрагмальный абсцесс, определяются его форма и локализация, но и видна динамика процесса, изменения размеров гнойника. Важны повторные исследования после эвакуации плеврального выпота, который часто маскирует поддиафрагмальный абсцесс. Рентгенологический метод может быть применен для контроля за полостью абсцесса. Поддиафрагмальный абсцесс нередко плохо опорожняется даже через дренажи в силу анатомических особенностей. Рентгеноскопия позволяет определить причины задержки выздоровления больного, если таковая происходит.
В последние годы в клиническую практику внедряется компьютерная томография (КТ). Для диагностики поддиафрагмального абсцесса этот метод очень хорош. Его разрешающая способность составляет 95-100 %. При КТ существует необходимость дифференцировать жидкость в брюшной и плевральной полости, так как диафрагма часто не визуализируется на аксиальных томограммах - ее оптическая плотность равна плотности печени и селезенки. Для этого повторяют снимки на животе или здоровом боку - происходит смещение органов и движение жидкости. Жидкость в полости плевры находится заднелатерально, в брюшной полости - спереди и медиально, что соответствует анатомии брюшной полости и плевральных синусов. При помощи КТ можно также исключить поддиафрагмальный абсцесс в случае не совсем ясной картины. 
Ультрасонография (УЗИ) является наиболее важным, широко распространенным в последнее время методом. Его разрешающая способность в отношении поддиафрагмальных абсцессов весьма высока и приближается к 90-95 %. Несколько хуже визуализируются левосторонние поддиафрагмальные абсцессы небольших размеров, особенно окруженные спайками брюшной полости. Ценность метода его безвредность, неинвазивность, возможность динамического наблюдения и контроля за послеоперационным состоянием гнойной полости. Под контролем УЗИ можно выполнять пункционное дренирование абсцессов.


UZpoddifragmabsc
УЗ-картина проддиафрагмального абсцесса (стрелка) после гастрэктомии со спленэктомией.

При лабораторной диагностике поддиафрагмальных абсцессов специфических изменений в анализах нет. В анализах крови отмечаются изменения, характерные для общегнойных процессов (анемия, лейкоцитоз со сдвигом влево, ускорение оседания эритроцитов, диспротеинемия, появление С-реактивного белка и др.). Причем важно, что эти изменения сохраняются при антибиотикотерапии.
    

Лечение поддиафрагмальных абсцессов
Основной метод лечения поддиафрагмальных абсцессов - хирургический. Их вскрывают кратчайшим путем, экстраплеврально и экстраперитонеально, обеспечивая адекватные условия для дренирования. Дренировать гнойник необходимо таким образом, чтобы незахваченные процессом отделы как плевральной, так и брюшной полости не были инфицированы. Операции по поводу поддиафрагмального абсцесса могут быть разделены на две большие группы: трансторакальные и трансабдоминальные. Каждая группа, в свою очередь, разделяется на чрессерозные и внесерозные.
Выбор доступа к поддиафрагмальному абсцессу определяется его локализацией, при этом следует учитывать последующие условия для дренирования: разрез должен производиться у нижнего полюса абсцесса. Передние доступы, особенно при больших размерах гнойников, не обеспечивают хорошего дренирования и поэтому их дополняют контрапертурой. Внеплевральные доступы удобны для подхода к поддиафрагмальным абсцессам любой локализации, кроме низкорасположенных. Эти абсцессы более целесообразно вскрывать внебрюшинно через разрез брюшной стенки.


Drenpoddiafrabsc
а                                          б

Внебрюшинный доступ к правостороннему передневерхнему поддиафрагмальному абсцессу.
Вид  спереди (а) и сбоку (б). 


В ряде случаев дренирование поддиафрагмального абсцесса может быть осуществлено посредством его пункции под контролем УЗИ.
Комплексное лечение поддиафрагмальных абсцессов также включает антибактериальную, дезинтоксикационную, общеукрепляющую терапию.

Абсцесс малого таза
Брюшина с прямой кишки переходит на мочевой пузырь у мужчин и образует прямокишечно-пузырное углубление, ограниченное с боков прямокишечно-пузырными складками, которые и содержат одноименные мышцы. У женщин брюшина с прямой кишки переходит на верхнюю часть влагалища и матки и образует прямокишечно-маточное углубление (дугласово пространство), которое с боков ограничено прямокишечно-маточными складками брюшины.

Дуглас
Прямокишечно-пузырное углубление (Дугласово пространство) у мужчин (стрелка).

Абсцессы малого таза (Дугласова пространства) образуются при гнойных процессах в органах, расположенных в малом тазу (придатки матки, червеобразный отросток и др.), или при затекании в малый таз инфицированного экссудата из вышерасположенных отделов живота при остром аппендиците, прободной язве желудка и т. д.

тазовый абсцесс
Абсцесс прямокишечно-маточного углубления
(пальцевое исследование прямой кишки).


Клинически заболевание проявляется болями внизу живота, повышением температуры тела с ознобами, дизурическими расстройствами, тенезмами, жидким стулом, лейкоцитозом. Необходимо провести ректальное и вагинальное исследование, при котором при наличии абсцесса малого таза выявляется болезненный инфильтрат, прощупываемый через задний свод влагалища и через переднюю стенку прямой кишки. В центре инфильтрата определяется участок размягчения.
При УЗИ определяется отграниченное нечёткой стенкой повышенной эхогенностью образование неправильной овальной формы с гетерогенным содержимым, включающим преимущественно гипо- и анэхогенный компоненты.

абсцесс малого таза
УЗ-картина абсцесса малого таза (стрелка).

Последним этапом диагностики является пункция инфильтрата в месте наибольшего его размягчения через прямую кишку или через задний свод влагалища.

  пункция абсцесса малого таза        пункция абсцесса малого таза 
а                                                                                     б
Пункция абсцесса малого таза: а - у мужчин, б - у женщин.

При получении гноя – вскрытие абсцесса скальпелем по ходу иглы и его дренирование. Общее лечение не отличается от применяемого при других гнойных процессах.

Межкишечный абсцесс
Межкишечный абсцесс является осложнением гнойно-воспалительных заболеваний или развивается как остаточное явление при разрешении гнойного перитонита. Гнойники формируются между петлями кишечника, его брыжейкой и сальником.

Клиника и диагностика межкишечных абсцессов
Диагноз обычно труден. Подозревать развитие межкишечного гнойника можно у больного, перенесшего перитонит с неполным выздоровлением, при рецидиве симптомов гнойной интоксикации организма. При осмотре можно выявить напряжение брюшных мышц и выраженную болезненность в области гнойника, в ряде случаев - асимметрию живота (особенно при больших гнойниках и гнойниках, расположенных близко к передней брюшной стенке). При обзорной рентгеноскопии органов брюшной полости — уровень жидкости определяется вне просвета кишечника (абсцесс), наблюдаются явления пареза кишечника, оттеснение петель кишечника при контрастном исследовании. Информативно УЗИ брюшной полости.
 

Хирургическое лечение межкишечных абсцессов
Доступ к гнойнику лапаротомный, локализация и длина разреза брюшной стенки различны в зависимости от расположения определяемого инфильтрата. Для вскрытия абсцесса используют продольный разрез над пальпируемым инфильтратом. После рассечения кожи, клетчатки, апоневроза, мышц обнажают брюшину. Края раны разводят крючками и тщательно пальпируют инфильтрат. Если последний припаян к париетальной брюшине и имеется размягчение стенки, то абсцесс вскрывают внебрюшинно тупым путем, аспирируют гной, санируют полость гнойника и проводят ее ревизию.
В случаях, когда пальпируемый гнойник не спаян с брюшной стенкой, брюшную полость вскрывают, проводят ее ревизию, выявленный абсцесс изолируют салфетками от свободной брюшной полости, вскрывают, полость санируют и дренируют трубкой или вводят сигарообразный дренаж.
При соответствующей клинической картине межкишечного абсцесса без четкой его локализации применяют срединную лапаротомию. Обнаруженный инфильтрат изолируют салфетками от свободной брюшной полости и осторожными движениями, чтобы не перфорировать кишку, разделяют спаявшиеся между собой ее петли. Вначале тупым и острым путем отделяют большой сальник, затем осторожно, пальцем разделяют петли кишки. Если последние интимно спаяны, разделение их не следует форсировать, стараясь вскрыть гнойник тупым путем между спаявшимися участками брыжейки или непосредственно через брыжейку. Гной удаляют электроотсосом, полость гнойника обследуют пальцем, определяя размеры, положение абсцесса, при необходимости расширяют отверстие. Полость гнойника дренируют хлорвиниловой или резиновой дренажной трубкой, которую выводят наружу кратчайшим путем, при необходимости через отдельный дополнительный разрез.
При множественных межкишечных абсцессах приходится прибегать к широкой срединной лапаротомии. При наличии 2-3 четко отграниченных абсцессов возможны вскрытие и санация каждого из них отдельно и изолированное дренирование через отдельные разрезы. Множественные абсцессы, особенно ограниченные рыхлыми перемычками, вскрывают сразу все и проводят тщательную санацию брюшной полости, дренируют ее как при неограниченном перитоните или накладывают лапаростому для повторных санаций в послеоперационном периоде.


Яндекс.Метрика